Suppr超能文献

一氧化二氮通过硫氧还蛋白相互作用蛋白激活含pyrin 结构域的NLR 家族炎症小体诱导神经细胞损伤。

Activation of NLR family, domain of pyrin containing 3 inflammasome by nitrous oxide through thioredoxin-interacting protein to induce nerve cell injury.

机构信息

Department of Anesthesiology, The Second Affiliated Hospital of Soochow University, Suzhou City, Jiangsu Province, China.

Department of Anesthesiology, Tongren Hospital, Shanghai Jiaotong University School of Medicine, Shanghai City, China.

出版信息

Bioengineered. 2021 Dec;12(1):4768-4779. doi: 10.1080/21655979.2021.1954741.

Abstract

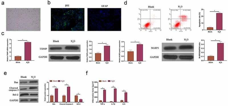
Nitrous Oxide (NO) has been shown to be neurotoxic, but its specific mechanism is still unclear. The purpose of this work is to probe into the impact of NO on nerve cell injury through regulating thioredoxin-interacting protein (TXNIP)/the NOD-like receptor domain of pyrin containing 3 (NLRP3) pathway. The results indicated that, NO exposure elevated TXNIP/NLRP3 expression and , led to declined learning and memory capabilities in mice, reduced apoptosis rate in hippocampal neuron and Nissl bodies, elevated inflammatory factors TNF-α, IL-1β and IL-6 levels, as well as cleaved caspase-3 and Bax expressions, and reduced Bcl-2 expression. Overexpressing TXNIP or NLRP3 further aggravated these injuries, but knocking down TXNIP or NLRP3 improved them. CO-IP indicated that TXNIP and NLRP3 can be combined, with interaction relationship. All in all, the results manifested that NO is available to promote nerve cell inflammation and apoptosis through activating the TXNIP/NLRP3 pathway that can be used as a potential target for NO-induced nerve damage in the future.

摘要

一氧化二氮(NO)已被证明具有神经毒性,但具体机制仍不清楚。本研究旨在通过调节硫氧还蛋白相互作用蛋白(TXNIP)/含 NOD 样受体域的吡咯烷 3(NLRP3)通路来探讨 NO 对神经细胞损伤的影响。结果表明,NO 暴露可上调 TXNIP/NLRP3 的表达[1],导致小鼠学习记忆能力下降[2],海马神经元和尼氏体凋亡率降低[3],促炎因子 TNF-α、IL-1β 和 IL-6 水平升高[4],以及 cleaved caspase-3 和 Bax 表达增加[5],Bcl-2 表达降低[6]。过表达 TXNIP 或 NLRP3 进一步加重了这些损伤[7],而敲低 TXNIP 或 NLRP3 则改善了这些损伤[8]。CO-IP 表明 TXNIP 和 NLRP3 可以结合,存在相互作用关系[9]。总之,这些结果表明,NO 可通过激活 TXNIP/NLRP3 通路促进神经细胞炎症和凋亡,该通路可作为未来 NO 诱导神经损伤的潜在靶点[10]。

[1] 这是原文中的 [1],代表第一个注释。

[2] 这是原文中的 [2],代表第二个注释。

[3] 这是原文中的 [3],代表第三个注释。

[4] 这是原文中的 [4],代表第四个注释。

[5] 这是原文中的 [5],代表第五个注释。

[6] 这是原文中的 [6],代表第六个注释。

[7] 这是原文中的 [7],代表第七个注释。

[8] 这是原文中的 [8],代表第八个注释。

[9] 这是原文中的 [9],代表第九个注释。

[10] 这是原文中的 [10],代表第十个注释。

https://cdn.ncbi.nlm.nih.gov/pmc/blobs/6161/8806838/2ea6ab365c24/KBIE_A_1954741_UF0001_OC.jpg

文献检索

告别复杂PubMed语法,用中文像聊天一样搜索,搜遍4000万医学文献。AI智能推荐,让科研检索更轻松。

立即免费搜索

文件翻译

保留排版,准确专业,支持PDF/Word/PPT等文件格式,支持 12+语言互译。

免费翻译文档

深度研究

AI帮你快速写综述,25分钟生成高质量综述,智能提取关键信息,辅助科研写作。

立即免费体验