Suppr超能文献

通过半胱天冬酶3表达评估单侧肾缺血对侧肾的影响。

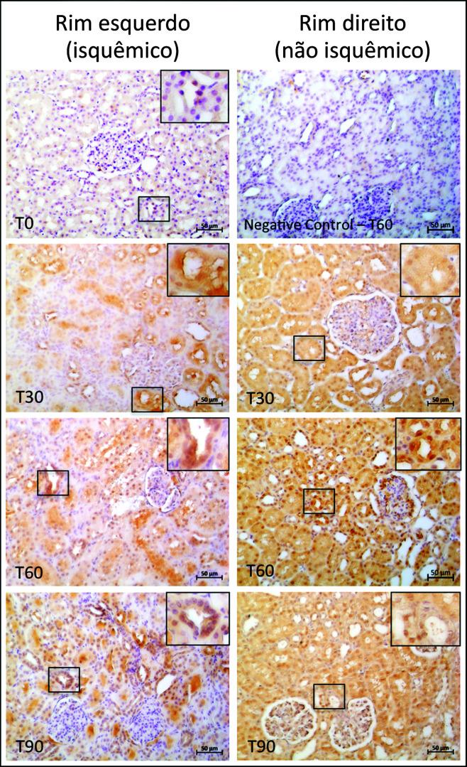
Effect of unilateral renal ischemia on the contralateral kidney assessed by Caspase 3 expression.

作者信息

Bo Carolina Rodrigues Dal, de Paula Vitória Penido, Strazzi Anna Paula Weinhardt Baptista, Wolosker Nelson, Aloia Thiago Pinheiro Arrais, Mazzeo Angela, Kaufmann Oskar Grau

机构信息

Faculdade Israelita de Ciências da Saúde Albert Einstein - FICSAE, São Paulo, SP, Brasil.

Hospital Israelita Albert Einstein - HIAE, São Paulo, SP, Brasil.

出版信息

J Vasc Bras. 2021 Jul 12;20:e20210040. doi: 10.1590/1677-5449.210040. eCollection 2021.

Abstract

BACKGROUND

Studies have demonstrated with histological analysis and Doppler flow measurement analysis that unilateral renal ischemia, which is performed in some surgeries, interfered with the contralateral kidney, identifying the phenomenon of kidney-kidney crosstalk.

OBJECTIVES

To identify the effects on the ischemic and contralateral kidney of renal ischemia induced by two types of clamping technique by analyzing the volume of kidney cells positive for Caspase 3.

METHODS

Sixteen pigs were divided into 2 groups, as follows: A (n = 8) - clamping of left renal artery only and AV (n = 8) - clamping of left renal artery and vein. Immunohistochemical analyses (anti Caspase 3) were conducted with biopsy specimens collected from the ischemic and contralateral kidney at 0, 30, 60, and 90 minutes of ischemia and morphometric analysis was performed, taking the mean to represent the volume of the Caspase 3 positive area (%).

RESULTS

Morphometric analysis of specimens collected at 30, 60, and 90 minutes of ischemia showed that the mean area marked for Caspase 3 was statistically larger in the contralateral kidney than the ischemic kidney in both groups: clamped renal artery (A) and clamped renal artery and vein (AV). Comparing the ischemic and contralateral kidney, there was no statistically significant difference in the area marked for Caspase 3 between the two types of clamping.

CONCLUSIONS

In the experimental model of unilateral renal ischemia, the non-ischemic kidney exhibited cell damage, demonstrated by Caspase 3 expression. The type of hilum clamping does not appear to influence the area marked for Caspase 3.

摘要

背景

研究通过组织学分析和多普勒血流测量分析表明,在某些手术中进行的单侧肾缺血会干扰对侧肾脏,从而发现了肾-肾串扰现象。

目的

通过分析半胱天冬酶3阳性的肾细胞体积,确定两种钳夹技术诱导的肾缺血对缺血肾和对侧肾的影响。

方法

将16头猪分为2组,如下:A组(n = 8)——仅钳夹左肾动脉;AV组(n = 8)——钳夹左肾动脉和静脉。在缺血0、30、60和90分钟时,从缺血肾和对侧肾采集活检标本进行免疫组织化学分析(抗半胱天冬酶3),并进行形态计量分析,以平均值表示半胱天冬酶3阳性区域的体积(%)。

结果

对缺血30、60和90分钟时采集的标本进行形态计量分析表明,在钳夹肾动脉(A)组和钳夹肾动脉和静脉(AV)组中,对侧肾中标记为半胱天冬酶3的平均面积在统计学上均大于缺血肾。比较缺血肾和对侧肾,两种钳夹类型之间标记为半胱天冬酶3的面积在统计学上无显著差异。

结论

在单侧肾缺血的实验模型中,非缺血肾表现出细胞损伤,这通过半胱天冬酶3的表达得以证明。肾门钳夹类型似乎不影响标记为半胱天冬酶3的面积。

https://cdn.ncbi.nlm.nih.gov/pmc/blobs/38d4/8294808/8a9efca6cc0d/jvb-20-e20210040-g01-en.jpg

文献AI研究员

20分钟写一篇综述,助力文献阅读效率提升50倍。

立即体验

用中文搜PubMed

大模型驱动的PubMed中文搜索引擎

马上搜索

文档翻译

学术文献翻译模型,支持多种主流文档格式。

立即体验