• 文献检索
  • 文档翻译
  • 深度研究
  • 学术资讯
  • Suppr Zotero 插件Zotero 插件
  • 邀请有礼
  • 套餐&价格
  • 历史记录
应用&插件
Suppr Zotero 插件Zotero 插件浏览器插件Mac 客户端Windows 客户端微信小程序
定价
高级版会员购买积分包购买API积分包
服务
文献检索文档翻译深度研究API 文档MCP 服务
关于我们
关于 Suppr公司介绍联系我们用户协议隐私条款
关注我们

Suppr 超能文献

核心技术专利:CN118964589B侵权必究
粤ICP备2023148730 号-1Suppr @ 2026

文献检索

告别复杂PubMed语法,用中文像聊天一样搜索,搜遍4000万医学文献。AI智能推荐,让科研检索更轻松。

立即免费搜索

文件翻译

保留排版,准确专业,支持PDF/Word/PPT等文件格式,支持 12+语言互译。

免费翻译文档

深度研究

AI帮你快速写综述,25分钟生成高质量综述,智能提取关键信息,辅助科研写作。

立即免费体验

原发性和转移性胰腺癌的微创影像引导治疗。

Minimally invasive image-guided therapy of primary and metastatic pancreatic cancer.

机构信息

Department of Diagnostic Imaging and Interventional Radiology, H. Lee Moffitt Cancer Center, Tampa, FL 33612, United States.

Department of Gastrointestinal Oncology, H. Lee Moffitt Cancer Center, Tampa, FL 33612, United States.

出版信息

World J Gastroenterol. 2021 Jul 21;27(27):4322-4341. doi: 10.3748/wjg.v27.i27.4322.

DOI:10.3748/wjg.v27.i27.4322
PMID:34366607
原文链接:https://pmc.ncbi.nlm.nih.gov/articles/PMC8316906/
Abstract

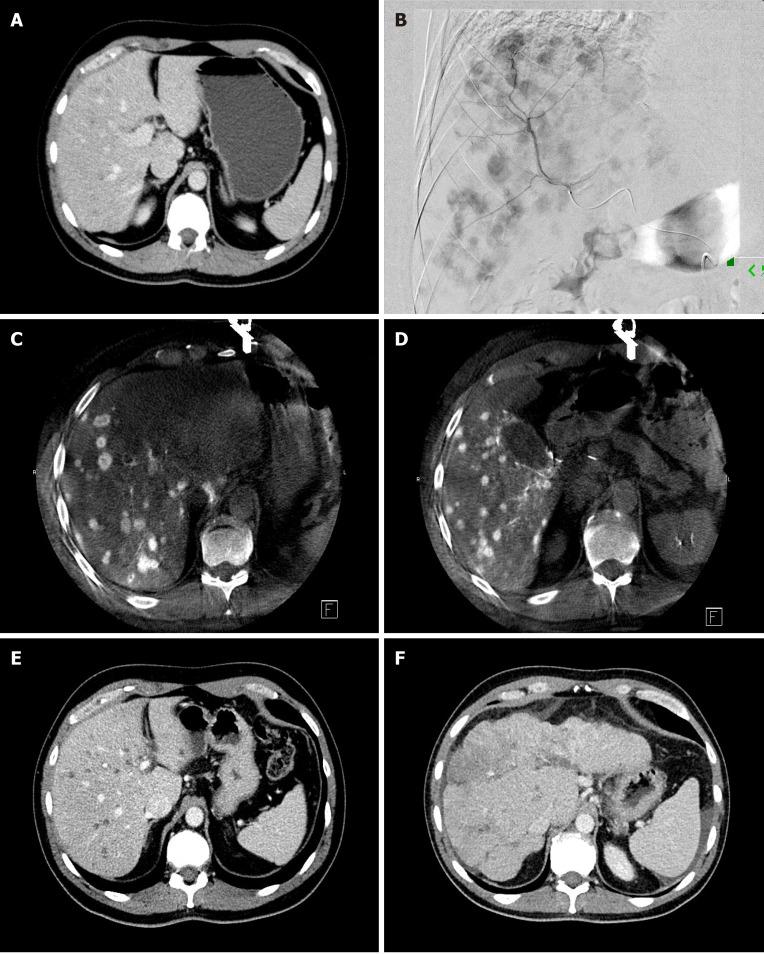
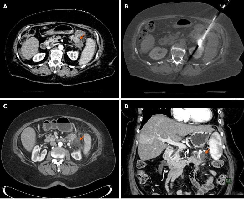
Pancreatic cancer is a challenging malignancy with limited treatment options and poor life expectancy. The only curative option is surgical resection, but only 15%-20% of patients are resectable at presentation because more than 50% of patients has distant metastasis at diagnosis and the rest of them has locally advanced pancreatic cancer (LAPC). The standard of care first line treatment for LAPC patients is chemotherapy with or without radiation therapy. Recent developments in minimally invasive ablative techniques may add to the treatment armamentarium of LAPC. There are increasing number of studies evaluating these novel ablative techniques, including radiofrequency ablation, microwave ablation, cryoablation and irreversible electroporation. Most studies which included pancreatic tumor ablation, demonstrated improved overall survival in LAPC patients. However, the exact protocols are yet to set up to which stage of the treatment algorithm ablative techniques can be added and in what kind of treatment combinations. Patients with metastatic pancreatic cancer has dismal prognosis with 5-year survival is only 3%. The most common metastatic site is the liver as 90% of pancreatic cancer patients develop liver metastasis. Chemotherapy is the primary treatment option for patients with metastatic pancreatic cancer. However, when the tumor is not responding to chemotherapy or severe drug toxicity develops, locoregional liver-directed therapies can provide an opportunity to control intrahepatic disease progression and improve survival in selected patients. During the last decade new therapeutic options arose with the advancement of minimally invasive technologies to treat pancreatic cancer patients. These new therapies have been a topic of increasing interest due to the severe prognostic implications of locally advanced and metastatic pancreatic cancer and the low comorbid risk of these procedures. This review summarizes new ablative options for patients with LAPC and percutaneous liver-directed therapies for patients with liver-dominant metastatic disease.

摘要

胰腺癌是一种具有挑战性的恶性肿瘤,治疗选择有限,预期寿命短。唯一的治愈方法是手术切除,但只有 15%-20%的患者在就诊时可切除,因为超过 50%的患者在诊断时已经发生远处转移,其余患者则患有局部晚期胰腺癌(LAPC)。LAPC 患者的一线治疗标准是化疗联合或不联合放疗。微创消融技术的最新进展可能为 LAPC 的治疗手段增添新方法。越来越多的研究评估了这些新的消融技术,包括射频消融、微波消融、冷冻消融和不可逆电穿孔。大多数包含胰腺肿瘤消融的研究表明,LAPC 患者的总生存期得到改善。然而,确切的方案仍有待确定,消融技术可以添加到治疗算法的哪个阶段,以及哪种治疗组合中。转移性胰腺癌患者预后极差,5 年生存率仅为 3%。最常见的转移部位是肝脏,因为 90%的胰腺癌患者会发生肝转移。化疗是转移性胰腺癌患者的主要治疗选择。然而,当肿瘤对化疗无反应或出现严重的药物毒性时,局部肝脏导向治疗可以为控制肝内疾病进展和改善选定患者的生存提供机会。在过去十年中,随着微创技术的进步,出现了治疗胰腺癌患者的新治疗选择。这些新的治疗方法引起了越来越多的关注,因为局部晚期和转移性胰腺癌的预后严重,这些手术的合并症风险低。本文综述了 LAPC 患者的新消融选择以及肝优势转移性疾病患者的经皮肝脏导向治疗。

https://cdn.ncbi.nlm.nih.gov/pmc/blobs/e57a/8316906/fd310af10120/WJG-27-4322-g004.jpg
https://cdn.ncbi.nlm.nih.gov/pmc/blobs/e57a/8316906/069d18a54299/WJG-27-4322-g001.jpg
https://cdn.ncbi.nlm.nih.gov/pmc/blobs/e57a/8316906/0577d8aa9702/WJG-27-4322-g002.jpg
https://cdn.ncbi.nlm.nih.gov/pmc/blobs/e57a/8316906/ae3e150513ec/WJG-27-4322-g003.jpg
https://cdn.ncbi.nlm.nih.gov/pmc/blobs/e57a/8316906/fd310af10120/WJG-27-4322-g004.jpg
https://cdn.ncbi.nlm.nih.gov/pmc/blobs/e57a/8316906/069d18a54299/WJG-27-4322-g001.jpg
https://cdn.ncbi.nlm.nih.gov/pmc/blobs/e57a/8316906/0577d8aa9702/WJG-27-4322-g002.jpg
https://cdn.ncbi.nlm.nih.gov/pmc/blobs/e57a/8316906/ae3e150513ec/WJG-27-4322-g003.jpg
https://cdn.ncbi.nlm.nih.gov/pmc/blobs/e57a/8316906/fd310af10120/WJG-27-4322-g004.jpg

相似文献

1
Minimally invasive image-guided therapy of primary and metastatic pancreatic cancer.原发性和转移性胰腺癌的微创影像引导治疗。
World J Gastroenterol. 2021 Jul 21;27(27):4322-4341. doi: 10.3748/wjg.v27.i27.4322.
2
Ablation of the locally advanced pancreatic cancer: An introduction and brief summary of techniques.局部晚期胰腺癌的消融治疗:技术介绍与简要概述
J BUON. 2016 May-Jun;21(3):650-8.
3
Percutaneous ablation of pancreatic cancer.胰腺癌的经皮消融治疗
World J Gastroenterol. 2016 Nov 28;22(44):9661-9673. doi: 10.3748/wjg.v22.i44.9661.
4
Systematic review of innovative ablative therapies for the treatment of locally advanced pancreatic cancer.系统评价创新消融疗法治疗局部进展期胰腺癌。
Br J Surg. 2015 Feb;102(3):182-93. doi: 10.1002/bjs.9716. Epub 2014 Dec 18.
5
Needle-guided ablation of locally advanced pancreatic cancer: cytoreduction or immunomodulation by in vivo vaccination?针引导下局部晚期胰腺癌消融:通过体内接种疫苗进行肿瘤细胞减灭还是免疫调节?
Chin Clin Oncol. 2019 Dec;8(6):61. doi: 10.21037/cco.2019.10.05. Epub 2019 Nov 25.
6
Ablation Strategies for Locally Advanced Pancreatic Cancer.局部进展期胰腺癌的消融策略
Dig Surg. 2016;33(4):351-9. doi: 10.1159/000445021. Epub 2016 May 25.
7
Local ablation of pancreatic tumors: State of the art and future perspectives.胰腺肿瘤的局部消融治疗:现状与未来展望。
World J Gastroenterol. 2021 Jun 21;27(23):3413-3428. doi: 10.3748/wjg.v27.i23.3413.
8
Comparison of combination therapies in the management of locally advanced pancreatic cancer: Induction chemotherapy followed by irreversible electroporation vs radiofrequency ablation.局部进展期胰腺癌的联合治疗比较:诱导化疗后行不可逆电穿孔与射频消融术。
Cancer Med. 2020 Jul;9(13):4699-4710. doi: 10.1002/cam4.3119. Epub 2020 May 15.
9
Nonoperative Ablation of Pancreatic Neoplasms.胰腺肿瘤的非手术消融
Surg Clin North Am. 2018 Feb;98(1):127-140. doi: 10.1016/j.suc.2017.09.010.
10
Systematic review of novel ablative methods in locally advanced pancreatic cancer.局部晚期胰腺癌新型消融方法的系统评价
World J Gastroenterol. 2014 Mar 7;20(9):2267-78. doi: 10.3748/wjg.v20.i9.2267.

引用本文的文献

1
Discovery of a potent and highly selective inhibitor of SIRT6 against pancreatic cancer metastasis .发现一种针对胰腺癌转移的强效且高度选择性的SIRT6抑制剂。
Acta Pharm Sin B. 2024 Mar;14(3):1302-1316. doi: 10.1016/j.apsb.2023.11.014. Epub 2023 Nov 10.
2
Exploring the efficacy and safety of drug-eluting beads transarterial chemoembolization in pancreatic cancer liver metastasis.探讨载药微球经肝动脉化疗栓塞术治疗胰腺癌肝转移的疗效及安全性。
Br J Radiol. 2024 May 7;97(1157):1010-1015. doi: 10.1093/bjr/tqae059.
3
A novel nomogram and risk classification system based on inflammatory and immune indicators for predicting prognosis of pancreatic cancer patients with liver metastases.

本文引用的文献

1
Gemcitabine plus concurrent irreversible electroporation gemcitabine alone for locally advanced pancreatic cancer.吉西他滨联合同期不可逆电穿孔与单纯吉西他滨治疗局部晚期胰腺癌。
World J Clin Cases. 2020 Nov 26;8(22):5564-5575. doi: 10.12998/wjcc.v8.i22.5564.
2
Combination of Irreversible Electroporation and STING Agonist for Effective Cancer Immunotherapy.不可逆电穿孔与STING激动剂联合用于有效的癌症免疫治疗
Cancers (Basel). 2020 Oct 26;12(11):3123. doi: 10.3390/cancers12113123.
3
Transarterial Radioembolization Treatment of Pancreatic Cancer Patients with Liver-Dominant Metastatic Disease Using Yttrium-90 Glass Microspheres: A Single-Institution Retrospective Study.
一种基于炎症和免疫指标的新型列线图及风险分类系统,用于预测伴有肝转移的胰腺癌患者的预后。
Cancer Med. 2023 Sep;12(18):18622-18632. doi: 10.1002/cam4.6471. Epub 2023 Aug 27.
4
Locoregional Therapies and Remodeling of Tumor Microenvironment in Pancreatic Cancer.局部治疗与胰腺癌肿瘤微环境重塑
Int J Mol Sci. 2023 Aug 11;24(16):12681. doi: 10.3390/ijms241612681.
5
Interventional Radiology in the Treatment of Pancreatic Adenocarcinoma: Present and Future Perspectives.介入放射学在胰腺癌治疗中的现状与未来展望
Life (Basel). 2023 Mar 20;13(3):835. doi: 10.3390/life13030835.
6
The functional roles of the circRNA/Wnt axis in cancer.环状 RNA/Wnt 轴在癌症中的功能作用。
Mol Cancer. 2022 May 5;21(1):108. doi: 10.1186/s12943-022-01582-0.
使用钇-90玻璃微球经动脉放射性栓塞治疗以肝转移为主的胰腺癌患者:单机构回顾性研究
J Vasc Interv Radiol. 2020 Jul;31(7):1060-1068. doi: 10.1016/j.jvir.2019.11.037. Epub 2020 Jun 10.
4
Comparison of combination therapies in the management of locally advanced pancreatic cancer: Induction chemotherapy followed by irreversible electroporation vs radiofrequency ablation.局部进展期胰腺癌的联合治疗比较:诱导化疗后行不可逆电穿孔与射频消融术。
Cancer Med. 2020 Jul;9(13):4699-4710. doi: 10.1002/cam4.3119. Epub 2020 May 15.
5
Predictors of Survival after Yttrium-90 Radioembolization of Chemotherapy-Refractory Hepatic Metastases from Breast Cancer.乳腺癌化疗耐药性肝转移患者行钇-90 放射性栓塞治疗后的生存预测因素。
J Vasc Interv Radiol. 2020 Jun;31(6):925-933. doi: 10.1016/j.jvir.2019.12.013. Epub 2020 Apr 16.
6
Percutaneous Radiofrequency Ablation for Metachronous Hepatic Metastases after Curative Resection of Pancreatic Adenocarcinoma.经皮射频消融治疗胰腺腺癌根治性切除术后肝转移瘤的疗效观察。
Korean J Radiol. 2020 Mar;21(3):316-324. doi: 10.3348/kjr.2019.0647.
7
Comparison of Survival Between Irreversible Electroporation Followed by Chemotherapy and Chemotherapy Alone for Locally Advanced Pancreatic Cancer.不可逆电穿孔联合化疗与单纯化疗治疗局部晚期胰腺癌的生存比较。
Front Oncol. 2020 Jan 22;10:6. doi: 10.3389/fonc.2020.00006. eCollection 2020.
8
Prognostic factor analysis of irreversible electroporation for locally advanced pancreatic cancer - A multi-institutional clinical study in Asia.局部进展期胰腺癌不可逆电穿孔治疗的预后因素分析 - 亚洲多机构临床研究。
Eur J Surg Oncol. 2020 May;46(5):811-817. doi: 10.1016/j.ejso.2019.12.006. Epub 2019 Dec 10.
9
Percutaneous Irreversible Electroporation in Locally Advanced and Recurrent Pancreatic Cancer (PANFIRE-2): A Multicenter, Prospective, Single-Arm, Phase II Study.经皮不可逆电穿孔治疗局部晚期和复发性胰腺癌(PANFIRE-2):一项多中心、前瞻性、单臂、二期研究。
Radiology. 2020 Jan;294(1):212-220. doi: 10.1148/radiol.2019191109. Epub 2019 Nov 5.
10
Safety and efficacy of locoregional therapy for metastatic pancreatic ductal adenocarcinoma to the liver: a single-center experience.局部区域治疗转移性肝胰管腺癌的安全性和疗效:单中心经验
J Gastrointest Oncol. 2019 Aug;10(4):688-694. doi: 10.21037/jgo.2019.03.13.