• 文献检索
  • 文档翻译
  • 深度研究
  • 学术资讯
  • Suppr Zotero 插件Zotero 插件
  • 邀请有礼
  • 套餐&价格
  • 历史记录
应用&插件
Suppr Zotero 插件Zotero 插件浏览器插件Mac 客户端Windows 客户端微信小程序
定价
高级版会员购买积分包购买API积分包
服务
文献检索文档翻译深度研究API 文档MCP 服务
关于我们
关于 Suppr公司介绍联系我们用户协议隐私条款
关注我们

Suppr 超能文献

核心技术专利:CN118964589B侵权必究
粤ICP备2023148730 号-1Suppr @ 2026

文献检索

告别复杂PubMed语法,用中文像聊天一样搜索,搜遍4000万医学文献。AI智能推荐,让科研检索更轻松。

立即免费搜索

文件翻译

保留排版,准确专业,支持PDF/Word/PPT等文件格式,支持 12+语言互译。

免费翻译文档

深度研究

AI帮你快速写综述,25分钟生成高质量综述,智能提取关键信息,辅助科研写作。

立即免费体验

一名男孩的异位神经垂体:病例报告及文献复习

Ectopic neurohypophisis in a boy: A case report and review.

作者信息

Joković Zorica, Radmanović Sanja

机构信息

Department of Radiology, University Children's Hospital, Belgrade, School of Medicine, University of Belgrade, Tiršova 10, 11000 Belgrade, Republic of Serbia.

Department of Radiology, The institute of Occupational Health, Serbian Railways, Trg Carice Milice 10, Novi Sad, 22000 Novi Sad, Republic of Serbia.

出版信息

Radiol Case Rep. 2021 Jul 22;16(9):2780-2782. doi: 10.1016/j.radcr.2021.06.073. eCollection 2021 Sep.

DOI:10.1016/j.radcr.2021.06.073
PMID:34367394
原文链接:https://pmc.ncbi.nlm.nih.gov/articles/PMC8326597/
Abstract

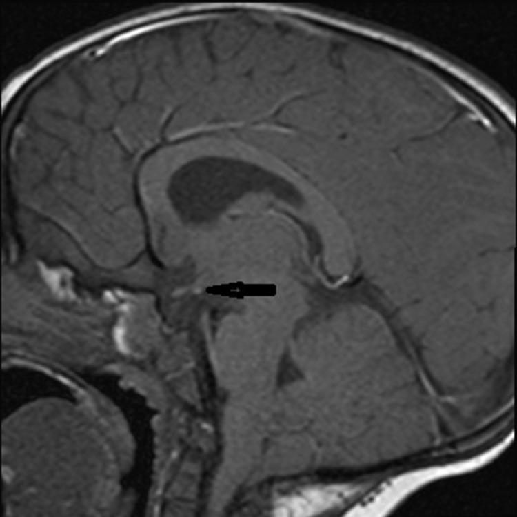
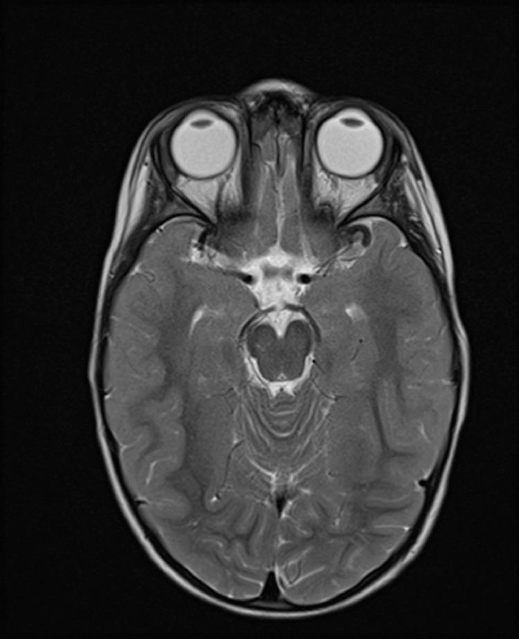
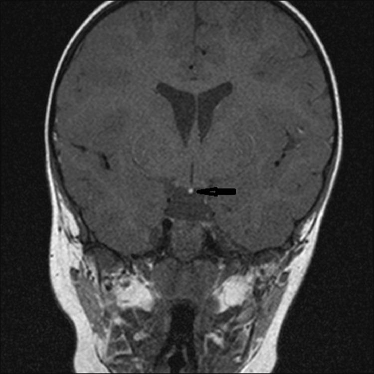
Ectopic neurohypophysis is rare anomaly which is characterized by ectopic location of posterior pituitary lobe (neurohypophysis), pituitary stalk abnormalities and association with dysfunction of anterior lobe related with growth hormone or with multiple dysfunction of the same.We present a rare case of posterior ectopic pituitary and pituitary stalk hypoplasia isolated in 2 year-old male patient.

摘要

异位神经垂体是一种罕见的异常情况,其特征为垂体后叶(神经垂体)异位、垂体柄异常,并伴有与生长激素相关的前叶功能障碍或多种功能障碍。我们报告了一例罕见的2岁男性患者孤立性垂体后叶异位和垂体柄发育不全的病例。

https://cdn.ncbi.nlm.nih.gov/pmc/blobs/4176/8326597/0d598ba605ab/gr4.jpg
https://cdn.ncbi.nlm.nih.gov/pmc/blobs/4176/8326597/29ee736c6782/gr1.jpg
https://cdn.ncbi.nlm.nih.gov/pmc/blobs/4176/8326597/a6ac9ce2621c/gr2.jpg
https://cdn.ncbi.nlm.nih.gov/pmc/blobs/4176/8326597/7ad2b83aa8d6/gr3.jpg
https://cdn.ncbi.nlm.nih.gov/pmc/blobs/4176/8326597/0d598ba605ab/gr4.jpg
https://cdn.ncbi.nlm.nih.gov/pmc/blobs/4176/8326597/29ee736c6782/gr1.jpg
https://cdn.ncbi.nlm.nih.gov/pmc/blobs/4176/8326597/a6ac9ce2621c/gr2.jpg
https://cdn.ncbi.nlm.nih.gov/pmc/blobs/4176/8326597/7ad2b83aa8d6/gr3.jpg
https://cdn.ncbi.nlm.nih.gov/pmc/blobs/4176/8326597/0d598ba605ab/gr4.jpg

相似文献

1
Ectopic neurohypophisis in a boy: A case report and review.一名男孩的异位神经垂体:病例报告及文献复习
Radiol Case Rep. 2021 Jul 22;16(9):2780-2782. doi: 10.1016/j.radcr.2021.06.073. eCollection 2021 Sep.
2
MRI of ectopic posterior pituitary gland with dysgenesis of pituitary stalk in a patient with hypogonadotropic hypogonadism.一名低促性腺激素性性腺功能减退患者的异位垂体后叶伴垂体柄发育不全的磁共振成像。
Radiol Case Rep. 2018 Jun 7;13(4):764-766. doi: 10.1016/j.radcr.2018.05.004. eCollection 2018 Aug.
3
Partial ectopic posterior pituitary: A rare imaging entity with literature review.部分性异位后垂体:一种罕见的影像学实体,附文献复习。
Neuroradiol J. 2024 Oct;37(5):636-639. doi: 10.1177/19714009231212369. Epub 2023 Nov 3.
4
[Late onset hypopituitarism due to hypoplasia of the adenohypophysis with invisible stalk and ectopic neurohypophysis in a 67-year-old patient].[一名67岁患者因腺垂体发育不全伴垂体柄不可见及异位神经垂体导致的迟发性垂体功能减退]
Endocrinol Nutr. 2009 May;56(5):270-2. doi: 10.1016/S1575-0922(09)71411-1. Epub 2009 Jul 1.
5
Do all patients with childhood-onset growth hormone deficiency (GHD) and ectopic neurohypophysis have persistent GHD in adulthood?所有患有儿童期起病的生长激素缺乏症(GHD)和异位神经垂体的患者在成年后都会持续存在生长激素缺乏症吗?
J Clin Endocrinol Metab. 2005 Feb;90(2):650-6. doi: 10.1210/jc.2004-1274. Epub 2004 Nov 16.
6
Dorsoventral splitting of the infundibulum in a child with pituitary hypoplasia.一名垂体发育不全儿童漏斗部的背腹侧分裂。
Radiol Case Rep. 2023 Jun 3;18(8):2754-2757. doi: 10.1016/j.radcr.2023.05.038. eCollection 2023 Aug.
7
Pituitary stalk interruption syndrome: a case report and literature review.垂体柄阻断综合征:一例病例报告及文献复习
Ann Med Surg (Lond). 2024 Apr 17;86(9):5486-5488. doi: 10.1097/MS9.0000000000002067. eCollection 2024 Sep.
8
Growth hormone deficiency with ectopic neurohypophysis: anatomical variations and relationship between the visibility of the pituitary stalk asserted by magnetic resonance imaging and anterior pituitary function.生长激素缺乏伴异位神经垂体:解剖变异以及磁共振成像显示的垂体柄可视性与垂体前叶功能之间的关系
J Clin Endocrinol Metab. 1999 Jul;84(7):2408-13. doi: 10.1210/jcem.84.7.5849.
9
[Langerhans cell histiocytosis associated with pituitary stalk transection].[与垂体柄横断相关的朗格汉斯细胞组织细胞增多症]
Arch Pediatr. 2005 May;12(5):564-7. doi: 10.1016/j.arcped.2005.01.020.
10
A Novel Missense Mutation in Human Receptor Roundabout-1 Gene Associated with Pituitary Stalk Interruption Syndrome.一种新型人类受体圆头蛋白 1 基因突变与垂体柄中断综合征相关。
J Clin Res Pediatr Endocrinol. 2020 Jun 3;12(2):212-217. doi: 10.4274/jcrpe.galenos.2019.2018.0309. Epub 2019 Aug 26.

引用本文的文献

1
Two Cases of Late Diagnosis Pituitary Stalk Interruption Syndrome and Literature Review.两例垂体柄阻断综合征的迟发性诊断及文献复习
Int Med Case Rep J. 2025 Mar 20;18:345-354. doi: 10.2147/IMCRJ.S507989. eCollection 2025.

本文引用的文献

1
Ectopic posterior pituitary and stalk abnormality predicts severity and coexisting hormone deficiencies in patients with congenital growth hormone deficiency.异位性垂体后叶和柄异常可预测先天性生长激素缺乏症患者的严重程度和并存的激素缺乏症。
Pituitary. 2012 Jun;15(2):243-50. doi: 10.1007/s11102-011-0321-4.
2
Normal pituitary stalk: high-resolution MR imaging at 3T.正常垂体柄:3T 高分辨率磁共振成像。
AJNR Am J Neuroradiol. 2010 Feb;31(2):355-9. doi: 10.3174/ajnr.A1836. Epub 2009 Oct 1.
3
Ectopic posterior pituitary lobe and periventricular heterotopia: cerebral malformations with the same underlying mechanism?
异位垂体后叶与脑室周围异位:具有相同潜在机制的脑畸形?
AJNR Am J Neuroradiol. 2002 Oct;23(9):1475-81.
4
Molecular effects of novel mutations in Hesx1/HESX1 associated with human pituitary disorders.与人类垂体疾病相关的Hesx1/HESX1新突变的分子效应
Development. 2001 Dec;128(24):5189-99. doi: 10.1242/dev.128.24.5189.
5
MR imaging in children with ectopic pituitary gland and anterior hypopituitarism.异位垂体和垂体前叶功能减退患儿的磁共振成像
J Postgrad Med. 1999 Jul-Sep;45(3):81-3.
6
Pituitary stalk and ectopic hyperintense T1 signal on magnetic resonance imaging. Implications for anterior pituitary dysfunction.垂体柄与磁共振成像上的异位高T1信号。对垂体前叶功能障碍的影响。
Am J Dis Child. 1993 Jun;147(6):647-52. doi: 10.1001/archpedi.1993.02160300053022.
7
Frequency and variation of the posterior pituitary bright signal on MR images.垂体后叶在磁共振成像上高信号的频率及变化
AJR Am J Roentgenol. 1989 Nov;153(5):1033-8. doi: 10.2214/ajr.153.5.1033.
8
Histochemical characterization and functional significance of the hyperintense signal on MR images of the posterior pituitary.垂体后叶磁共振图像上高信号的组织化学特征及功能意义
AJR Am J Roentgenol. 1989 Jan;152(1):153-7. doi: 10.2214/ajr.152.1.153.