Suppr超能文献

弹性髓内钉治疗多发伤患者多节段肱骨骨折

Elastic Intramedullary Nails in the Treatment of Multi-Segmental Humeral Fracture in a Polytrauma Patient.

作者信息

Sidiropoulos Konstantinos, Athanaselis Efstratios D, Saridis Alexandros, Agapidis Alexios, Saridis Alkis

机构信息

Orthopaedics, General Hospital of Serres, Serres, GRC.

Orthopaedics, University of Patras, Patras, GRC.

出版信息

Cureus. 2021 Jul 4;13(7):e16161. doi: 10.7759/cureus.16161. eCollection 2021 Jul.

Abstract

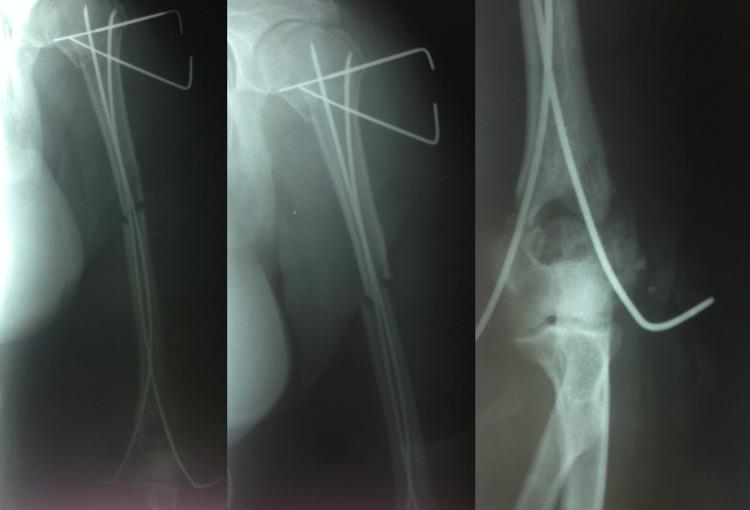
A polytrauma patient with a life-threatening condition is a quite demanding situation due to special considerations regarding the time, the way, and the sequence of the necessary procedures. Elastic intramedullary nails (EIN) could be used under these conditions for adult patients with humeral fractures requiring fixation. Here we present a case of a multi-segmental closed humerus fracture in a polytrauma patient treated by EIN. The general condition of the patient and the need for multiple surgical procedures required the selection of a minimally invasive and time-saving fixation technique. The patient's follow-up was uneventful with complete healing of the humeral fracture; the functional scores results are excellent at five years post operatively. A review of the literature revealed limited published cases of humeral fractures (128 patients) treated by EIN, despite the fact that the results are quite encouraging. Based on our results and the current literature, we believe that EIN could become an effective treatment choice for multi-level humerus fractures, especially in damage control surgery.

摘要

对于一名有生命危险的多发伤患者而言,由于在时间、方式以及必要手术步骤顺序方面存在特殊考量,这是一种要求颇高的情况。在这些条件下,弹性髓内钉(EIN)可用于需要固定的成年肱骨骨折多发伤患者。在此,我们呈现一例多发伤患者的多节段闭合性肱骨骨折,采用EIN进行治疗。患者的总体状况以及需要进行多项外科手术,这就要求选择一种微创且节省时间的固定技术。患者的随访过程顺利,肱骨骨折完全愈合;术后五年的功能评分结果极佳。文献综述显示,尽管结果颇为令人鼓舞,但已发表的采用EIN治疗肱骨骨折的病例有限(128例患者)。基于我们的结果以及当前文献,我们认为EIN可能成为多级肱骨骨折,尤其是在损伤控制手术中的一种有效治疗选择。

https://cdn.ncbi.nlm.nih.gov/pmc/blobs/dca1/8330390/d6851bb4c345/cureus-0013-00000016161-i01.jpg

文献检索

告别复杂PubMed语法,用中文像聊天一样搜索,搜遍4000万医学文献。AI智能推荐,让科研检索更轻松。

立即免费搜索

文件翻译

保留排版,准确专业,支持PDF/Word/PPT等文件格式,支持 12+语言互译。

免费翻译文档

深度研究

AI帮你快速写综述,25分钟生成高质量综述,智能提取关键信息,辅助科研写作。

立即免费体验