Suppr超能文献

在 7T 下人脑 3D-FID-MRSI 的跨被试稳定性和区域浓度估计。

Inter-subject stability and regional concentration estimates of 3D-FID-MRSI in the human brain at 7 T.

机构信息

High-field MR Center, Department of Biomedical Imaging and Image-guided Therapy, Medical University of Vienna, Vienna, Austria.

Department of Neurosurgery, Medical University of Vienna, Vienna, Austria.

出版信息

NMR Biomed. 2021 Dec;34(12):e4596. doi: 10.1002/nbm.4596. Epub 2021 Aug 11.

Abstract

PURPOSE

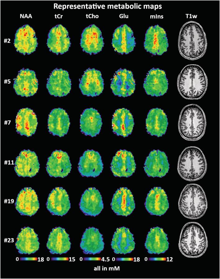
Recently, a 3D-concentric ring trajectory (CRT)-based free induction decay (FID)-MRSI sequence was introduced for fast high-resolution metabolic imaging at 7 T. This technique provides metabolic ratio maps of almost the entire brain within clinically feasible scan times, but its robustness has not yet been thoroughly investigated. Therefore, we have assessed quantitative concentration estimates and their variability in healthy volunteers using this approach.

METHODS

We acquired whole-brain 3D-CRT-FID-MRSI at 7 T in 15 min with 3.4 mm nominal isometric resolution in 24 volunteers (12 male, 12 female, mean age 27 ± 6 years). Concentration estimate maps were calculated for 15 metabolites using internal water referencing and evaluated in 55 different regions of interest (ROIs) in the brain. Data quality, mean metabolite concentrations, and their inter-subject coefficients of variation (CVs) were compared for all ROIs.

RESULTS

Of 24 datasets, one was excluded due to motion artifacts. The concentrations of total choline, total creatine, glutamate, myo-inositol, and N-acetylaspartate in 44 regions were estimated within quality thresholds. Inter-subject CVs (mean over 44 ROIs/minimum/maximum) were 9%/5%/19% for total choline, 10%/6%/20% for total creatine, 11%/7%/24% for glutamate, 10%/6%/19% for myo-inositol, and 9%/6%/19% for N-acetylaspartate.

DISCUSSION

We defined the performance of 3D-CRT-based FID-MRSI for metabolite concentration estimate mapping, showing which metabolites could be robustly quantified in which ROIs with which inter-subject CVs expected. However, the basal brain regions and lesser-signal metabolites in particular remain as a challenge due susceptibility effects from the proximity to nasal and auditory cavities. Further improvement in quantification and the mitigation of B /B -field inhomogeneities will be necessary to achieve reliable whole-brain coverage.

摘要

目的

最近,引入了一种基于 3D 同心环轨迹(CRT)的自由感应衰减(FID)-MRSI 序列,用于在 7T 下进行快速高分辨率代谢成像。该技术在临床可行的扫描时间内提供了几乎整个大脑的代谢比率图,但尚未对其稳健性进行彻底研究。因此,我们使用该方法评估了健康志愿者的定量浓度估计值及其变异性。

方法

我们在 15 名志愿者(12 名男性,12 名女性,平均年龄 27±6 岁)中使用 7T 采集了全脑 3D-CRT-FID-MRSI,具有 3.4mm 的名义等距分辨率,采集时间为 15 分钟。使用内部水参考计算了 15 种代谢物的浓度估计值,并在大脑的 55 个不同感兴趣区(ROI)中进行了评估。比较了所有 ROI 的数据质量、平均代谢物浓度及其个体间变异系数(CV)。

结果

24 个数据集之一因运动伪影而被排除。在质量阈值内,共检测到 44 个 ROI 中的总胆碱、总肌酸、谷氨酸、肌醇和 N-乙酰天冬氨酸的浓度。44 个 ROI 的个体间 CV(平均值/最小值/最大值)分别为总胆碱 9%/5%/19%,总肌酸 10%/6%/20%,谷氨酸 11%/7%/24%,肌醇 10%/6%/19%,N-乙酰天冬氨酸 9%/6%/19%。

讨论

我们定义了基于 3D-CRT 的 FID-MRSI 用于代谢物浓度估计映射的性能,展示了哪些代谢物可以在哪些 ROI 中以何种个体间 CV 进行稳健地定量。然而,由于靠近鼻腔和听觉腔的敏感性效应,基底脑区和信号较弱的代谢物仍然是一个挑战。需要进一步提高定量精度并减轻 B /B 场不均匀性,以实现可靠的全脑覆盖。

https://cdn.ncbi.nlm.nih.gov/pmc/blobs/9ecb/11475238/64dc2191224d/NBM-34-e4596-g001.jpg

文献AI研究员

20分钟写一篇综述,助力文献阅读效率提升50倍。

立即体验

用中文搜PubMed

大模型驱动的PubMed中文搜索引擎

马上搜索

文档翻译

学术文献翻译模型,支持多种主流文档格式。

立即体验