Suppr超能文献

神经周围浸润的诊断:传统与保留神经的根治性子宫切除术共存新算法中的关键因素

The Diagnosis of Perineural Invasion: A Crucial Factor in Novel Algorithm of Coexistence of Conventional and Nerve-Sparing Radical Hysterectomy.

作者信息

Skręt Andrzej, Skręt-Magierło Joanna Ewa, Książek Mariusz, Gawlik Bogusław, Bielatowicz Joanna, Barnaś Edyta

机构信息

Health Care Center, Department of Obstetrics and Gynecology with Oncological Gynecology, Krakowska 91, 39-200 Dębica, Poland.

College of Medical Sciences, University of Rzeszow, Rejtana 16c, 35-959 Rzeszów, Poland.

出版信息

Diagnostics (Basel). 2021 Jul 21;11(8):1308. doi: 10.3390/diagnostics11081308.

Abstract

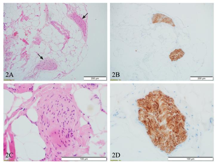
Nerve-sparing radical hysterectomy (NSRH) was introduced to mitigate adverse effects associated with conventional radical hysterectomy (CRH) in cervical cancer. However, the introduction of NSRH was compromised by possible existence of perineural invasion (PNI). Additionally, the coexistence of NSRH and CRH is currently the fact. The aim of the study was to review the literature and attempt to construct a novel and preliminary PNI diagnostic algorithm that would establish the coexistence of NSRH and CRH in one system of early-stage cervical cancer (ESCC) surgical treatment. This algorithm takes into account the PNI risk factors and current and future diagnostic methods such as imaging and biopsy.

摘要

保留神经的根治性子宫切除术(NSRH)被引入以减轻与宫颈癌传统根治性子宫切除术(CRH)相关的不良反应。然而,NSRH的引入因可能存在神经周围浸润(PNI)而受到影响。此外,NSRH和CRH并存是目前的事实。本研究的目的是回顾文献,并尝试构建一种新颖的初步PNI诊断算法,该算法将在早期宫颈癌(ESCC)手术治疗的一个系统中确立NSRH和CRH的并存。该算法考虑了PNI风险因素以及当前和未来的诊断方法,如图像检查和活检。

https://cdn.ncbi.nlm.nih.gov/pmc/blobs/beac/8391994/0b31aca217fd/diagnostics-11-01308-g001.jpg

文献AI研究员

20分钟写一篇综述,助力文献阅读效率提升50倍。

立即体验

用中文搜PubMed

大模型驱动的PubMed中文搜索引擎

马上搜索

文档翻译

学术文献翻译模型,支持多种主流文档格式。

立即体验