• 文献检索
  • 文档翻译
  • 深度研究
  • 学术资讯
  • Suppr Zotero 插件Zotero 插件
  • 邀请有礼
  • 套餐&价格
  • 历史记录
应用&插件
Suppr Zotero 插件Zotero 插件浏览器插件Mac 客户端Windows 客户端微信小程序
定价
高级版会员购买积分包购买API积分包
服务
文献检索文档翻译深度研究API 文档MCP 服务
关于我们
关于 Suppr公司介绍联系我们用户协议隐私条款
关注我们

Suppr 超能文献

核心技术专利:CN118964589B侵权必究
粤ICP备2023148730 号-1Suppr @ 2026

文献检索

告别复杂PubMed语法,用中文像聊天一样搜索,搜遍4000万医学文献。AI智能推荐,让科研检索更轻松。

立即免费搜索

文件翻译

保留排版,准确专业,支持PDF/Word/PPT等文件格式,支持 12+语言互译。

免费翻译文档

深度研究

AI帮你快速写综述,25分钟生成高质量综述,智能提取关键信息,辅助科研写作。

立即免费体验

青少年外阴克罗恩病,经手术治疗失败后确诊。

Vulvar Crohn's disease in an adolescent diagnosed after unsuccessful surgical treatment.

机构信息

Department of Obstetrics and Gynecology, Severance Hospital, Yonsei University College of Medicine, 50 Yonsei-ro, Seodaemun-gu, Seoul, 03722, Republic of Korea.

Institute of Women's Life Science, Yonsei University College of Medicine, Seoul, Korea.

出版信息

BMC Womens Health. 2021 Aug 28;21(1):316. doi: 10.1186/s12905-021-01449-4.

DOI:10.1186/s12905-021-01449-4
PMID:34454474
原文链接:https://pmc.ncbi.nlm.nih.gov/articles/PMC8399794/
Abstract

BACKGROUND

This case report presents a case of Vulvar Crohn's disease (VCD) in an adolescent, that is an uncommon manifestation of Crohn's disease (CD) without gastrointestinal symptoms. Before treating CD itself with proper medication, vulvar abscess continued to recur without improvement.

CASE PRESENTATION

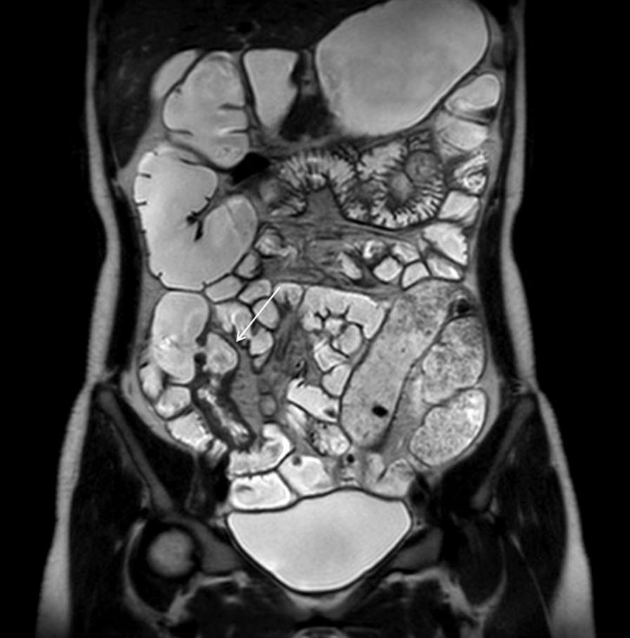
We report the case of an 18-year-old woman with VCD. After treatment with azathioprine 50 mg daily and mesalazine 1 g three times daily, vulvar lesions resolved after 6 weeks. We collected electronic medical data on patient characteristics, and evaluated findings of physical examinations, pelvic MRI, and biopsy specimen obtained from gastroduodenoscopy/colonoscopy.

CONCLUSIONS

VCD is a rare manifestation of CD that may be misdiagnosed in the absence of gastrointestinal symptoms leading to delayed treatment. If a patient has an unexplained vulvar inflammatory lesion and with repeated failed surgical treatment, gynecologists should consider the possibility of a VCD.

摘要

背景

本病例报告介绍了一例青少年外阴克罗恩病(VCD),这是一种无胃肠道症状的克罗恩病(CD)的罕见表现。在使用适当药物治疗 CD 本身之前,外阴脓肿持续复发,没有改善。

病例介绍

我们报告了一例 18 岁女性 VCD 病例。在每天使用 50mg 硫唑嘌呤和每天三次 1g 美沙拉嗪治疗后,外阴病变在 6 周后消退。我们收集了患者特征的电子医疗数据,并评估了体格检查、盆腔 MRI 和经胃肠镜/结肠镜获取的活检标本的结果。

结论

VCD 是 CD 的一种罕见表现,如果没有胃肠道症状,可能会导致误诊,从而导致治疗延误。如果患者有不明原因的外阴炎症性病变且反复手术治疗失败,妇科医生应考虑 VCD 的可能性。

https://cdn.ncbi.nlm.nih.gov/pmc/blobs/b699/8399794/f9f3b3333768/12905_2021_1449_Fig4_HTML.jpg
https://cdn.ncbi.nlm.nih.gov/pmc/blobs/b699/8399794/f3428785b644/12905_2021_1449_Fig1_HTML.jpg
https://cdn.ncbi.nlm.nih.gov/pmc/blobs/b699/8399794/c98f2c9ee8b5/12905_2021_1449_Fig2_HTML.jpg
https://cdn.ncbi.nlm.nih.gov/pmc/blobs/b699/8399794/19c14a8d34f9/12905_2021_1449_Fig3_HTML.jpg
https://cdn.ncbi.nlm.nih.gov/pmc/blobs/b699/8399794/f9f3b3333768/12905_2021_1449_Fig4_HTML.jpg
https://cdn.ncbi.nlm.nih.gov/pmc/blobs/b699/8399794/f3428785b644/12905_2021_1449_Fig1_HTML.jpg
https://cdn.ncbi.nlm.nih.gov/pmc/blobs/b699/8399794/c98f2c9ee8b5/12905_2021_1449_Fig2_HTML.jpg
https://cdn.ncbi.nlm.nih.gov/pmc/blobs/b699/8399794/19c14a8d34f9/12905_2021_1449_Fig3_HTML.jpg
https://cdn.ncbi.nlm.nih.gov/pmc/blobs/b699/8399794/f9f3b3333768/12905_2021_1449_Fig4_HTML.jpg

相似文献

1
Vulvar Crohn's disease in an adolescent diagnosed after unsuccessful surgical treatment.青少年外阴克罗恩病,经手术治疗失败后确诊。
BMC Womens Health. 2021 Aug 28;21(1):316. doi: 10.1186/s12905-021-01449-4.
2
Can vulvar edema be the presenting sign of Crohn's disease? A case series.外阴水肿可否为克罗恩病的首发表现?一组病例系列。
J Pediatr Gastroenterol Nutr. 2024 Feb;78(2):289-294. doi: 10.1002/jpn3.12059. Epub 2023 Dec 10.
3
Crohn's Disease of the Vulva: a Case Report.外阴克罗恩病:一例报告。
Folia Med (Plovdiv). 2021 Dec 31;63(6):990-993. doi: 10.3897/folmed.63.e58002.
4
Vulvar swelling as the first presentation of Crohn's disease in children-A report of three cases.儿童克罗恩病以阴囊肿胀为首发表现——三例报告
Pediatr Dermatol. 2018 Jan;35(1):e1-e4. doi: 10.1111/pde.13272. Epub 2017 Nov 21.
5
A 14-year-old girl with recurrent vulvar abscess.
J Pediatr Adolesc Gynecol. 2014 Aug;27(4):e83-6. doi: 10.1016/j.jpag.2013.07.010. Epub 2013 Nov 20.
6
Crohn's disease of the vulva.外阴克罗恩病
J Crohns Colitis. 2014 Jul;8(7):563-70. doi: 10.1016/j.crohns.2013.10.009. Epub 2013 Nov 16.
7
[Crohn's disease affecting only vulvoperineal area].
Presse Med. 2007 Dec;36(12 Pt 1):1762-5. doi: 10.1016/j.lpm.2007.02.037. Epub 2007 Jun 22.
8
Crohn's disease of the vulva: A prospective study.外阴克罗恩病:一项前瞻性研究。
J Gastroenterol Hepatol. 2018 Dec;33(12):1969-1974. doi: 10.1111/jgh.14291. Epub 2018 Jun 27.
9
Vulval Crohn's disease: a clinical study of 22 patients.外阴克罗恩病:22例患者的临床研究
J Crohns Colitis. 2015 Apr;9(4):318-25. doi: 10.1093/ecco-jcc/jjv037. Epub 2015 Feb 16.
10
Vulvar involvement in pediatric Crohn's disease: a systematic review.小儿克罗恩病的外阴受累:一项系统评价
Arch Gynecol Obstet. 2018 Jan;297(1):3-11. doi: 10.1007/s00404-017-4539-x. Epub 2017 Sep 25.

引用本文的文献

1
Pediatric cutaneous Crohn disease: A case series of 89 patients and review.小儿皮肤克罗恩病:89 例病例系列及综述
Pediatr Dermatol. 2024 Sep-Oct;41(5):807-813. doi: 10.1111/pde.15689. Epub 2024 Jul 16.
2
Fistulising skin metastases in Crohn's disease: a case report and review of the literature.克罗恩病的瘘管性皮肤转移:病例报告及文献复习。
J Med Case Rep. 2024 May 19;18(1):252. doi: 10.1186/s13256-024-04569-1.
3
Chronic Vulval Ulcer as Crohn's Disease.慢性外阴溃疡作为克罗恩病

本文引用的文献

1
Prognostic factors and surgical treatment in vulvar carcinoma: Single center experience.外阴癌的预后因素及手术治疗:单中心经验
J Obstet Gynaecol Res. 2020 Sep;46(9):1871-1878. doi: 10.1111/jog.14368. Epub 2020 Jul 22.
2
Delayed Diagnosis of Vulvar Crohn's Disease in a Patient with No Gastrointestinal Symptoms.一名无胃肠道症状患者的外阴克罗恩病延迟诊断
Case Rep Dermatol. 2018 Nov 28;10(3):263-267. doi: 10.1159/000495000. eCollection 2018 Sep-Dec.
3
Crohn's disease of the vulva: A prospective study.外阴克罗恩病:一项前瞻性研究。
J Obstet Gynaecol India. 2024 Feb;74(1):91-93. doi: 10.1007/s13224-023-01764-w. Epub 2023 Aug 9.
4
A Decade of Waiting: Experiences of Women Living With Vulvar Crohn's Disease and Interactions With Healthcare Professionals Related to Their Sexual Well-Being: A Qualitative Study.十年等待:外阴克罗恩病女性的经历及其与医疗保健专业人员在性健康方面的互动:一项定性研究
Crohns Colitis 360. 2023 May 12;5(3):otad025. doi: 10.1093/crocol/otad025. eCollection 2023 Jul.
5
On a Knife's Edge: Management of Vulvar Cutaneous Crohn's Disease.处于刀刃之上:外阴皮肤克罗恩病的管理
Dig Dis Sci. 2023 Apr;68(4):1113-1117. doi: 10.1007/s10620-022-07818-9. Epub 2023 Feb 18.
J Gastroenterol Hepatol. 2018 Dec;33(12):1969-1974. doi: 10.1111/jgh.14291. Epub 2018 Jun 27.
4
Vulvar metastatic Crohn disease: clinical, histopathological and ultrasonographic findings.外阴转移性克罗恩病:临床、组织病理学及超声检查结果
Dermatol Online J. 2017 Nov 15;23(11):13030/qt6rd9b8zf.
5
Vulvar swelling as the first presentation of Crohn's disease in children-A report of three cases.儿童克罗恩病以阴囊肿胀为首发表现——三例报告
Pediatr Dermatol. 2018 Jan;35(1):e1-e4. doi: 10.1111/pde.13272. Epub 2017 Nov 21.
6
Vulvar inflammation as a manifestation of Crohn's disease.外阴炎症作为克罗恩病的一种表现形式。
World J Emerg Med. 2017;8(4):305-307. doi: 10.5847/wjem.j.1920-8642.2017.04.011.
7
Clinical experience and diagnostic algorithm of vulval Crohn's disease.外阴克罗恩病的临床经验与诊断算法
Eur J Gastroenterol Hepatol. 2017 Jul;29(7):838-843. doi: 10.1097/MEG.0000000000000879.
8
Implementation of the simple endoscopic activity score in crohn's disease.克罗恩病简易内镜活动评分的实施
Saudi J Gastroenterol. 2016 May-Jun;22(3):183-91. doi: 10.4103/1319-3767.182455.
9
Crohn Disease of the Vulva without Gastrointestinal Manifestations in a 16-Year-Old Girl.
J Cutan Med Surg. 2015 Jan-Feb;19(1):81-3. doi: 10.2310/7750.2014.14005. Epub 2015 Jan 1.
10
Vulval Crohn's disease: a clinical study of 22 patients.外阴克罗恩病:22例患者的临床研究
J Crohns Colitis. 2015 Apr;9(4):318-25. doi: 10.1093/ecco-jcc/jjv037. Epub 2015 Feb 16.