• 文献检索
  • 文档翻译
  • 深度研究
  • 学术资讯
  • Suppr Zotero 插件Zotero 插件
  • 邀请有礼
  • 套餐&价格
  • 历史记录
应用&插件
Suppr Zotero 插件Zotero 插件浏览器插件Mac 客户端Windows 客户端微信小程序
定价
高级版会员购买积分包购买API积分包
服务
文献检索文档翻译深度研究API 文档MCP 服务
关于我们
关于 Suppr公司介绍联系我们用户协议隐私条款
关注我们

Suppr 超能文献

核心技术专利:CN118964589B侵权必究
粤ICP备2023148730 号-1Suppr @ 2026

文献检索

告别复杂PubMed语法,用中文像聊天一样搜索,搜遍4000万医学文献。AI智能推荐,让科研检索更轻松。

立即免费搜索

文件翻译

保留排版,准确专业,支持PDF/Word/PPT等文件格式,支持 12+语言互译。

免费翻译文档

深度研究

AI帮你快速写综述,25分钟生成高质量综述,智能提取关键信息,辅助科研写作。

立即免费体验

氰基丙烯酸酯对诱导跟腱断裂兔的影响。

Effects of Cyanoacrylate in Rabbits with Induced Achilles Tendon Rupture.

机构信息

Department of Orthopaedics and Traumatology, Trabzon Kanuni Training and Research Hospital, University of Health Sciences, Trabzon, Turkey.

Department of Orthopaedics and Traumatology, Faculty of Medicine, University of Ordu, Ordu, Turkey.

出版信息

Med Sci Monit. 2021 Sep 6;27:e929709. doi: 10.12659/MSM.929709.

DOI:10.12659/MSM.929709
PMID:34483334
原文链接:https://pmc.ncbi.nlm.nih.gov/articles/PMC8434771/
Abstract

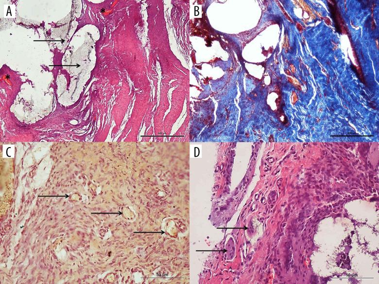
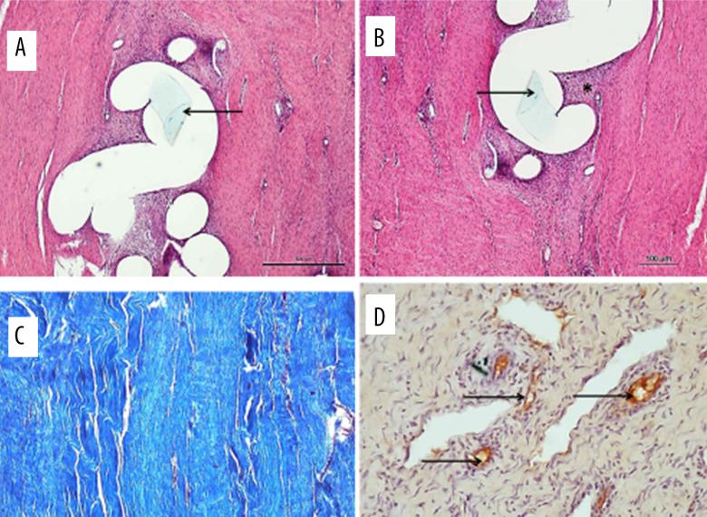
BACKGROUND In this study, we aimed to investigate the effects of N-butyl-2-cyanoacrylate (cyanoacrylate) on the biomechanical and histopathological aspects of tendon healing in a rabbit model of Achilles tendon injury. MATERIAL AND METHODS In total, 36 rabbits were randomized to experimental (cyanoacrylate) and control groups (n=36 tendons in each group). A simple suture was used in the control group and a simple suture plus cyanoacrylate was used in the experimental group. Nine rabbits from each group were euthanized at week 4 and week 6 after surgery for histopathological and biomechanical testing. RESULTS Granulation tissue formation was significantly greater in the experimental group in week 4 and week 6 than in the control group. Foreign body giant cell formation was significantly higher in the experimental group in week 4 and week 6. The maximum rupture force was significantly higher in the experimental group in week 4 and week 6 than in the control group. Elasticity and stiffness were comparable between groups in week 4; however, stiffness, but not elasticity, was significantly higher in the experimental group in week 6. CONCLUSIONS In the short term, cyanoacrylate enhanced tendon endurance in both a histopathological and biomechanical manner. We conclude that the early initiation of rehabilitation in patients may be safe in cases of cyanoacrylate use for surgical repair of tendon injury.

摘要

背景

在这项研究中,我们旨在研究 N-丁基-2-氰基丙烯酸酯(氰基丙烯酸酯)对兔跟腱损伤模型中肌腱愈合的生物力学和组织病理学方面的影响。

材料和方法

共有 36 只兔子随机分为实验组(氰基丙烯酸酯)和对照组(每组 36 根肌腱)。对照组采用单纯缝合,实验组采用单纯缝合加氰基丙烯酸酯。每组各有 9 只兔子在术后第 4 周和第 6 周处死进行组织病理学和生物力学测试。

结果

实验组在第 4 周和第 6 周时肉芽组织形成明显多于对照组。实验组在第 4 周和第 6 周时异物巨细胞形成明显高于对照组。实验组在第 4 周和第 6 周时最大断裂力明显高于对照组。实验组在第 4 周时的弹性和刚度与对照组相当;然而,实验组在第 6 周时的刚度明显高于对照组,但弹性没有差异。

结论

短期内,氰基丙烯酸酯在组织病理学和生物力学方面均增强了肌腱的耐久性。我们的结论是,在使用氰基丙烯酸酯修复肌腱损伤的情况下,早期开始康复治疗对患者来说可能是安全的。

https://cdn.ncbi.nlm.nih.gov/pmc/blobs/0d8c/8434771/b823a637af8b/medscimonit-27-e929709-g008.jpg
https://cdn.ncbi.nlm.nih.gov/pmc/blobs/0d8c/8434771/77cdcf8fed7a/medscimonit-27-e929709-g001.jpg
https://cdn.ncbi.nlm.nih.gov/pmc/blobs/0d8c/8434771/e634f41e8c1c/medscimonit-27-e929709-g002.jpg
https://cdn.ncbi.nlm.nih.gov/pmc/blobs/0d8c/8434771/b528f620faf2/medscimonit-27-e929709-g003.jpg
https://cdn.ncbi.nlm.nih.gov/pmc/blobs/0d8c/8434771/b7ccae147129/medscimonit-27-e929709-g004.jpg
https://cdn.ncbi.nlm.nih.gov/pmc/blobs/0d8c/8434771/427e1ed69c35/medscimonit-27-e929709-g005.jpg
https://cdn.ncbi.nlm.nih.gov/pmc/blobs/0d8c/8434771/3a504d754f54/medscimonit-27-e929709-g006.jpg
https://cdn.ncbi.nlm.nih.gov/pmc/blobs/0d8c/8434771/532481761c23/medscimonit-27-e929709-g007.jpg
https://cdn.ncbi.nlm.nih.gov/pmc/blobs/0d8c/8434771/b823a637af8b/medscimonit-27-e929709-g008.jpg
https://cdn.ncbi.nlm.nih.gov/pmc/blobs/0d8c/8434771/77cdcf8fed7a/medscimonit-27-e929709-g001.jpg
https://cdn.ncbi.nlm.nih.gov/pmc/blobs/0d8c/8434771/e634f41e8c1c/medscimonit-27-e929709-g002.jpg
https://cdn.ncbi.nlm.nih.gov/pmc/blobs/0d8c/8434771/b528f620faf2/medscimonit-27-e929709-g003.jpg
https://cdn.ncbi.nlm.nih.gov/pmc/blobs/0d8c/8434771/b7ccae147129/medscimonit-27-e929709-g004.jpg
https://cdn.ncbi.nlm.nih.gov/pmc/blobs/0d8c/8434771/427e1ed69c35/medscimonit-27-e929709-g005.jpg
https://cdn.ncbi.nlm.nih.gov/pmc/blobs/0d8c/8434771/3a504d754f54/medscimonit-27-e929709-g006.jpg
https://cdn.ncbi.nlm.nih.gov/pmc/blobs/0d8c/8434771/532481761c23/medscimonit-27-e929709-g007.jpg
https://cdn.ncbi.nlm.nih.gov/pmc/blobs/0d8c/8434771/b823a637af8b/medscimonit-27-e929709-g008.jpg

相似文献

1
Effects of Cyanoacrylate in Rabbits with Induced Achilles Tendon Rupture.氰基丙烯酸酯对诱导跟腱断裂兔的影响。
Med Sci Monit. 2021 Sep 6;27:e929709. doi: 10.12659/MSM.929709.
2
A comparison of three methods of skin closure following repair of Achilles tendon rupture.跟腱断裂修复术后三种皮肤缝合方法的比较。
Injury. 2018 Oct;49(10):1942-1946. doi: 10.1016/j.injury.2018.08.011. Epub 2018 Aug 17.
3
The effect of pentoxifylline on Achilles tendon healing in tenotomized rabbits.己酮可可碱对切断跟腱的家兔跟腱愈合的影响。
Eklem Hastalik Cerrahisi. 2019 Dec;30(3):259-66. doi: 10.5606/ehc.2019.66859.
4
[Biomechanical study of different suture methods in repairing tendon rupture].不同缝合方法修复肌腱断裂的生物力学研究
Zhongguo Xiu Fu Chong Jian Wai Ke Za Zhi. 2017 Oct 15;31(10):1208-1213. doi: 10.7507/1002-1892.201705007.
5
Initial stability of two different adhesives compared to suture repair for acute Achilles tendon rupture--a biomechanical evaluation.两种不同黏合剂与缝线修复治疗急性跟腱断裂的初始稳定性比较:一项生物力学评估。
Int Orthop. 2012 Mar;36(3):627-32. doi: 10.1007/s00264-011-1357-9. Epub 2011 Sep 21.
6
Healing of the Achilles tendon: an experimental study.跟腱愈合:一项实验研究。
Foot Ankle Int. 2001 Jun;22(6):478-83. doi: 10.1177/107110070102200604.
7
Repair within the first 48 h in the treatment of acute Achilles tendon ruptures achieves the best biomechanical and histological outcomes.在急性跟腱断裂的治疗中,48 小时内进行修复可获得最佳的生物力学和组织学结果。
Knee Surg Sports Traumatol Arthrosc. 2020 Sep;28(9):2788-2797. doi: 10.1007/s00167-019-05536-w. Epub 2019 May 22.
8
Does elasticity of Achilles tendon change after suture applications? Evaluation of repair area by acoustic radiation force impulse elastography.跟腱缝合后其弹性会发生变化吗?通过声辐射力脉冲弹性成像评估修复区域。
J Orthop Surg Res. 2018 Mar 2;13(1):45. doi: 10.1186/s13018-018-0751-z.
9
[Functional treatment of acute rupture of the Achilles tendon. An experimental biomechanical study].[跟腱急性断裂的功能治疗。一项实验性生物力学研究]
Unfallchirurg. 1995 Oct;98(10):507-13.
10
Unfavorable effect of knee immobilization on Achilles tendon healing in rabbits.膝关节固定对兔跟腱愈合的不利影响。
Acta Orthop Scand. 2000 Feb;71(1):69-73. doi: 10.1080/00016470052943937.

引用本文的文献

1
2-Octyl cyanoacrylate adjuvant use in calcaneal tendon repair: A comparative experimental study in rabbits.2-氰基丙烯酸辛酯辅助用于跟腱修复:在兔身上的一项对比实验研究。
J Exp Orthop. 2025 Apr 1;12(2):e70222. doi: 10.1002/jeo2.70222. eCollection 2025 Apr.

本文引用的文献

1
In Vivo Evaluation of the Mechanical Strength of a Slide Lengthening Technique With a Locking Mechanism Using a Rabbit Model.使用兔模型对具有锁定机制的滑动延长技术的机械强度进行体内评估。
Cureus. 2020 Dec 30;12(12):e12387. doi: 10.7759/cureus.12387.
2
Microsurgical reconstruction affects the outcome in a translational mouse model for Achilles tendon healing.在跟腱愈合的转化小鼠模型中,显微外科重建影响结果。
J Orthop Translat. 2020 May 11;24:1-11. doi: 10.1016/j.jot.2020.04.003. eCollection 2020 Sep.
3
Cyanoacrylate Dermal Closure in Spine Surgery: Systematic Review and Pooled Analysis.
脊柱手术中氰基丙烯酸酯皮肤闭合术:系统评价与汇总分析
Global Spine J. 2020 Jun;10(4):493-498. doi: 10.1177/2192568219861619. Epub 2019 Jul 10.
4
Fabrication and Mechanical Properties of Engineered Protein-Based Adhesives and Fibers.工程蛋白基胶粘剂和纤维的制造及力学性能
Adv Mater. 2020 Feb;32(6):e1906360. doi: 10.1002/adma.201906360. Epub 2019 Dec 5.
5
The effect of pentoxifylline on Achilles tendon healing in tenotomized rabbits.己酮可可碱对切断跟腱的家兔跟腱愈合的影响。
Eklem Hastalik Cerrahisi. 2019 Dec;30(3):259-66. doi: 10.5606/ehc.2019.66859.
6
A comparison of three methods of skin closure following repair of Achilles tendon rupture.跟腱断裂修复术后三种皮肤缝合方法的比较。
Injury. 2018 Oct;49(10):1942-1946. doi: 10.1016/j.injury.2018.08.011. Epub 2018 Aug 17.
7
The Role of the Paratenon in Achilles Tendon Healing: A Study in Rats.腱旁组织在跟腱愈合中的作用:大鼠研究。
Am J Sports Med. 2018 Apr;46(5):1214-1219. doi: 10.1177/0363546518756093. Epub 2018 Mar 5.
8
Degradable Adhesives for Surgery and Tissue Engineering.可降解手术和组织工程粘合剂。
Biomacromolecules. 2017 Oct 9;18(10):3009-3039. doi: 10.1021/acs.biomac.7b00969. Epub 2017 Sep 1.
9
Superselective transcatheter arterial embolization in patients with acute peripancreatic bleeding complications: review of 44 cases.经导管超选择性动脉栓塞治疗急性胰周出血并发症 44 例分析。
Abdom Radiol (NY). 2016 Sep;41(9):1782-92. doi: 10.1007/s00261-016-0772-1.
10
The Effect of Autologous Platelet Rich Plasma in the Treatment of Achilles Tendon Ruptures: An Experimental Study on Rabbits.自体富血小板血浆治疗跟腱断裂的效果:一项关于兔子的实验研究。
Balkan Med J. 2016 Jan;33(1):94-101. doi: 10.5152/balkanmedj.2015.15549. Epub 2016 Jan 1.