• 文献检索
  • 文档翻译
  • 深度研究
  • 学术资讯
  • Suppr Zotero 插件Zotero 插件
  • 邀请有礼
  • 套餐&价格
  • 历史记录
应用&插件
Suppr Zotero 插件Zotero 插件浏览器插件Mac 客户端Windows 客户端微信小程序
定价
高级版会员购买积分包购买API积分包
服务
文献检索文档翻译深度研究API 文档MCP 服务
关于我们
关于 Suppr公司介绍联系我们用户协议隐私条款
关注我们

Suppr 超能文献

核心技术专利:CN118964589B侵权必究
粤ICP备2023148730 号-1Suppr @ 2026

文献检索

告别复杂PubMed语法,用中文像聊天一样搜索,搜遍4000万医学文献。AI智能推荐,让科研检索更轻松。

立即免费搜索

文件翻译

保留排版,准确专业,支持PDF/Word/PPT等文件格式,支持 12+语言互译。

免费翻译文档

深度研究

AI帮你快速写综述,25分钟生成高质量综述,智能提取关键信息,辅助科研写作。

立即免费体验

右心室霰弹枪子弹栓塞:病例报告及影像学表现

Right ventricular shotgun pellet embolism: Case report and radiological aspect.

作者信息

Abdo Alain, Zamoun Mylene, Vasile Teodor, Bailly Minh Tam, El Hatimi Safwane, Bellin Marie-France, Meyrignac Olivier

机构信息

Radiology department, Bicetre Hospital APHP, 78 Rue du Général Leclerc, Le Kremlin Bicetre 94270, France.

Cardiology department, Bicetre Hospital APHP, Le Kremlin Bicetre, France.

出版信息

Radiol Case Rep. 2021 Aug 25;16(11):3172-3175. doi: 10.1016/j.radcr.2021.07.060. eCollection 2021 Nov.

DOI:10.1016/j.radcr.2021.07.060
PMID:34484513
原文链接:https://pmc.ncbi.nlm.nih.gov/articles/PMC8405947/
Abstract

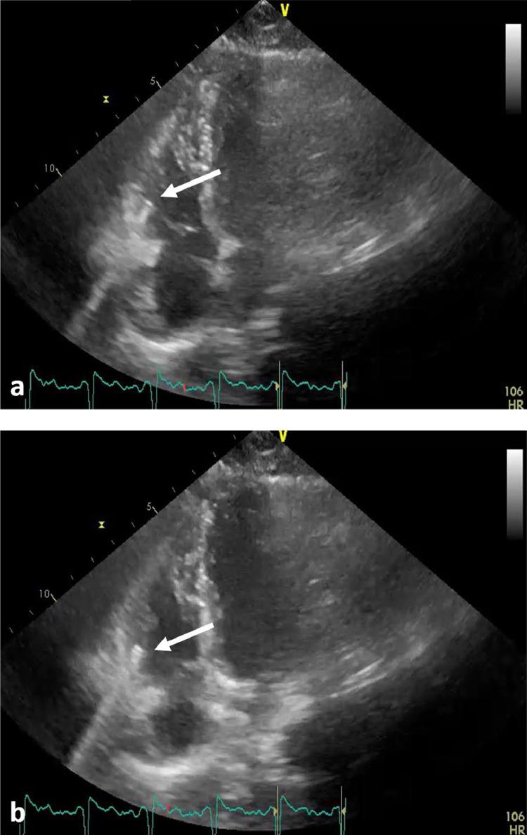
Pellet embolism to the heart following gunshot injuries is an unusual event that requires a fast diagnosis. Imaging assessment is necessary to locate the projectiles and look for associated injuries. We present a case of a 41-year-old woman admitted after sustaining 2 gunshot wounds in the abdomen and left thigh, with the initial computed tomography (CT) scan showing a metallic object next to the right ventricle. Further radiological evaluation included transthoracic echocardiography and electrocardiogram-gated cardiac CT scan which confirmed the diagnosis of a migrating pellet to the right ventricle, entrapped within the trabeculations. Electrocardiogram-gated cardiac CT has a major role in detailed evaluation of bullet embolism to the heart cavities and guides the management.

摘要

枪伤后心脏出现弹丸栓塞是一种罕见事件,需要快速诊断。进行影像学评估对于定位投射物并查找相关损伤很有必要。我们报告一例41岁女性,其腹部和左大腿遭受两处枪伤后入院,初始计算机断层扫描(CT)显示右心室旁有一金属物体。进一步的放射学评估包括经胸超声心动图和心电图门控心脏CT扫描,这些检查确诊了一枚弹丸迁移至右心室并被困于小梁内。心电图门控心脏CT在详细评估心脏腔室的子弹栓塞中起主要作用,并指导治疗。

https://cdn.ncbi.nlm.nih.gov/pmc/blobs/650f/8405947/7a0d6fc7beb9/gr3.jpg
https://cdn.ncbi.nlm.nih.gov/pmc/blobs/650f/8405947/b06110039768/gr1.jpg
https://cdn.ncbi.nlm.nih.gov/pmc/blobs/650f/8405947/12938ff23a37/gr2.jpg
https://cdn.ncbi.nlm.nih.gov/pmc/blobs/650f/8405947/7a0d6fc7beb9/gr3.jpg
https://cdn.ncbi.nlm.nih.gov/pmc/blobs/650f/8405947/b06110039768/gr1.jpg
https://cdn.ncbi.nlm.nih.gov/pmc/blobs/650f/8405947/12938ff23a37/gr2.jpg
https://cdn.ncbi.nlm.nih.gov/pmc/blobs/650f/8405947/7a0d6fc7beb9/gr3.jpg

相似文献

1
Right ventricular shotgun pellet embolism: Case report and radiological aspect.右心室霰弹枪子弹栓塞:病例报告及影像学表现
Radiol Case Rep. 2021 Aug 25;16(11):3172-3175. doi: 10.1016/j.radcr.2021.07.060. eCollection 2021 Nov.
2
Gunshot bullet embolus with pellet migration from the left brachiocephalic vein to the right ventricle: a case report.枪击子弹栓子伴弹丸从左头臂静脉移行至右心室:一例报告
Scand J Trauma Resusc Emerg Med. 2010 Jun 20;18:36. doi: 10.1186/1757-7241-18-36.
3
Embolism of a pellet after shotgun injury: From liver to right ventricle.猎枪伤后弹丸栓塞:从肝脏至右心室。
Ulus Travma Acil Cerrahi Derg. 2016 Jul;22(4):395-8. doi: 10.5505/tjtes.2015.32470.
4
Craniocerebral gunshot injury bullet migration to the cardiac right ventricle.颅脑枪伤子弹移行至心脏右心室。
Surg Neurol Int. 2021 Sep 30;12:491. doi: 10.25259/SNI_221_2021. eCollection 2021.
5
Bullet embolus to the right ventricle following shotgun wound to the leg.腿部猎枪伤后右心室子弹栓子形成
BMJ Case Rep. 2012 Dec 14;2012:bcr2012007471. doi: 10.1136/bcr-2012-007471.
6
Simultaneous retrograde venous and anterograde arterial bullet embolism: a case report.逆行静脉和顺行动脉枪弹栓塞的同时发生:一例报告。
J Med Case Rep. 2022 May 22;16(1):198. doi: 10.1186/s13256-022-03414-7.
7
Bullet embolus to the heart after gunshot wound to the neck: a case report.颈部枪伤后心脏出现子弹栓子:一例病例报告。
Am Surg. 2007 Dec;73(12):1245-6.
8
Delayed presentation of right ventricular bullet embolus.右心室子弹栓子延迟出现
Ann Thorac Surg. 2001 Aug;72(2):619-20. doi: 10.1016/s0003-4975(00)02580-7.
9
Surgical management of late bullet embolization from the abdomen to the right ventricle: Case report.晚期子弹从腹部栓塞至右心室的外科治疗:病例报告
Int J Surg Case Rep. 2017;39:317-320. doi: 10.1016/j.ijscr.2017.08.049. Epub 2017 Sep 4.
10
Case Report of a Migrating Bullet: An Unusual Cause of Postmortem Confusion.一枚游走子弹的病例报告:死后混淆的罕见原因
J Forensic Sci. 2017 Sep;62(5):1386-1388. doi: 10.1111/1556-4029.13428. Epub 2017 Feb 20.

本文引用的文献

1
Migration of a Varicocele Coil to the Right Heart.精索静脉曲张线圈迁移至右心。
JACC Case Rep. 2020 Sep 30;2(15):2312-2317. doi: 10.1016/j.jaccas.2020.07.035. eCollection 2020 Dec.
2
Systematic review of civilian intravascular ballistic embolism reports during the last 30 years.近 30 年来民用血管内弹道栓塞报告的系统回顾。
J Vasc Surg. 2019 Jul;70(1):298-306.e6. doi: 10.1016/j.jvs.2019.02.004. Epub 2019 Mar 25.
3
Management of Bullet Emboli to the Heart and Great Vessels.心脏和大血管子弹栓子的处理
Mil Med. 2018 Sep 1;183(9-10):e307-e313. doi: 10.1093/milmed/usx191.
4
High pitch third generation dual-source CT: Coronary and cardiac visualization on routine chest CT.高分辨率第三代双源CT:常规胸部CT上的冠状动脉和心脏成像
J Cardiovasc Comput Tomogr. 2016 Jul-Aug;10(4):282-8. doi: 10.1016/j.jcct.2016.03.007. Epub 2016 Apr 20.
5
Imaging assessment of gunshot wounds.枪伤的影像学评估
Semin Ultrasound CT MR. 2015 Feb;36(1):57-67. doi: 10.1053/j.sult.2014.10.005. Epub 2014 Oct 31.
6
Bilateral shotgun pellet pulmonary emboli.双侧散弹枪子弹样肺栓塞
J Radiol Case Rep. 2012 Apr;6(4):1-10. doi: 10.3941/jrcr.v6i4.940. Epub 2012 Apr 1.
7
Left ventricular bullet embolus: a case report and review of the literature.
J Emerg Med. 2010 Jul;39(1):25-31. doi: 10.1016/j.jemermed.2007.09.057. Epub 2008 Jul 9.
8
Venous bullet embolism to the right ventricle.右心室静脉子弹栓塞。
Br J Radiol. 2007 Dec;80(960):e296-8. doi: 10.1259/bjr/64277826.
9
Patient safety issues in magnetic resonance imaging: state of the art.磁共振成像中的患者安全问题:最新进展
Radiol Med. 2007 Jun;112(4):491-508. doi: 10.1007/s11547-007-0154-4. Epub 2007 Jun 11.
10
Gunshot injuries: what does a radiologist need to know?
Radiographics. 1999 Sep-Oct;19(5):1358-68. doi: 10.1148/radiographics.19.5.g99se171358.