Suppr超能文献

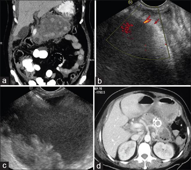
EUS-guided transmural drainage of hemorrhagic pancreatic fluid collections without associated arterial pseudoaneurysms.

作者信息

Rana Surinder Singh, Sharma Ravi, Gupta Rajesh

机构信息

Department of Gastroenterology, Postgraduate Institute of Medical Education and Research, Chandigarh, India.

Department of Surgical Gastroenterology, Postgraduate Institute of Medical Education and Research, Chandigarh, India.

出版信息

Endosc Ultrasound. 2021 Sep-Oct;10(5):396-397. doi: 10.4103/EUS-D-21-00045.

Abstract
摘要
https://cdn.ncbi.nlm.nih.gov/pmc/blobs/22b8/8544005/f48a71378eeb/EUS-10-396-g001.jpg

文献AI研究员

20分钟写一篇综述,助力文献阅读效率提升50倍。

立即体验

用中文搜PubMed

大模型驱动的PubMed中文搜索引擎

马上搜索

文档翻译

学术文献翻译模型,支持多种主流文档格式。

立即体验