• 文献检索
  • 文档翻译
  • 深度研究
  • 学术资讯
  • Suppr Zotero 插件Zotero 插件
  • 邀请有礼
  • 套餐&价格
  • 历史记录
应用&插件
Suppr Zotero 插件Zotero 插件浏览器插件Mac 客户端Windows 客户端微信小程序
定价
高级版会员购买积分包购买API积分包
服务
文献检索文档翻译深度研究API 文档MCP 服务
关于我们
关于 Suppr公司介绍联系我们用户协议隐私条款
关注我们

Suppr 超能文献

核心技术专利:CN118964589B侵权必究
粤ICP备2023148730 号-1Suppr @ 2026

文献检索

告别复杂PubMed语法,用中文像聊天一样搜索,搜遍4000万医学文献。AI智能推荐,让科研检索更轻松。

立即免费搜索

文件翻译

保留排版,准确专业,支持PDF/Word/PPT等文件格式,支持 12+语言互译。

免费翻译文档

深度研究

AI帮你快速写综述,25分钟生成高质量综述,智能提取关键信息,辅助科研写作。

立即免费体验

阴性阑尾切除术中与黏膜炎症相关的可变组织形态学表现的临床意义

Clinical Significance of Variable Histomorphologic Findings Related to Mucosal Inflammation in Negative Appendectomy.

作者信息

Choi Euno, Yoo Youngeun, Kim Ji Min, Sung Sun Hee, Lee Dakeun, Park Sanghui

机构信息

Department of Pathology, Ewha Womans University College of Medicine, Seoul 07985, Korea.

Department of Pathology, Asan Medical Center, University of Ulsan College of Medicine, Seoul 05505, Korea.

出版信息

J Clin Med. 2021 Sep 6;10(17):4030. doi: 10.3390/jcm10174030.

DOI:10.3390/jcm10174030
PMID:34501478
原文链接:https://pmc.ncbi.nlm.nih.gov/articles/PMC8432450/
Abstract

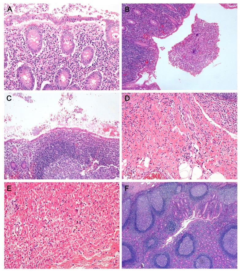
The aim of the study was to investigate the clinical significance of various histomorphologic findings related to mucosal inflammation in negative appendectomy. We reviewed histopathologic findings of 118 negative appendectomies and correlated them with the appendicitis inflammatory response (AIR) score and appendiceal diameter. Among 118 patients with negative appendectomy, 94 (80%), 73 (78%) and 89 (75%) patients displayed mucosal inflammation, high neutrophil score (neutrophil count ≥10/5 high power field and surface epithelial flattening, respectively. Out of 118 patients with negative appendectomy, mucosal inflammation, high neutrophil score and surface epithelial flattening were associated with higher risk group according to the appendicitis inflammatory response (AIR) score ( < 0.05, respectively). In addition, mucosal inflammation, high neutrophil score and surface epithelial flattening were frequently detected in 118 negative appendectomies, compared with 24 incidental appendectomies ( < 0.05, respectively). In an analysis of 77 negative appendectomy patients with appendiceal diameter data available, increased appendiceal diameter was positively correlated with luminal inflammation, high neutrophil score and surface epithelial flattening ( < 0.05, respectively). In conclusion, mucosal inflammation, high neutrophil score and surface epithelial flattening in negative appendectomy may be relevant to patients' signs and symptoms, especially in cases with no other cause of the abdominal pain.

摘要

本研究的目的是探讨阴性阑尾切除术中与黏膜炎症相关的各种组织形态学表现的临床意义。我们回顾了118例阴性阑尾切除术的组织病理学结果,并将其与阑尾炎炎症反应(AIR)评分及阑尾直径进行关联分析。在118例阴性阑尾切除术患者中,分别有94例(80%)、73例(78%)和89例(75%)患者出现黏膜炎症、高中性粒细胞评分(中性粒细胞计数≥10/5高倍视野)及表面上皮扁平。在118例阴性阑尾切除术患者中,根据阑尾炎炎症反应(AIR)评分,黏膜炎症、高中性粒细胞评分及表面上皮扁平与较高风险组相关(P均<0.05)。此外,与24例偶然阑尾切除术相比,黏膜炎症、高中性粒细胞评分及表面上皮扁平在118例阴性阑尾切除术中更常被检测到(P均<0.05)。在对77例有阑尾直径数据的阴性阑尾切除术患者的分析中,阑尾直径增加与管腔炎症、高中性粒细胞评分及表面上皮扁平呈正相关(P均<0.05)。总之,阴性阑尾切除术中的黏膜炎症、高中性粒细胞评分及表面上皮扁平可能与患者的体征和症状相关,尤其是在无其他腹痛原因的病例中。

https://cdn.ncbi.nlm.nih.gov/pmc/blobs/92f4/8432450/72306e8b2c4e/jcm-10-04030-g002.jpg
https://cdn.ncbi.nlm.nih.gov/pmc/blobs/92f4/8432450/dca985e883eb/jcm-10-04030-g001.jpg
https://cdn.ncbi.nlm.nih.gov/pmc/blobs/92f4/8432450/72306e8b2c4e/jcm-10-04030-g002.jpg
https://cdn.ncbi.nlm.nih.gov/pmc/blobs/92f4/8432450/dca985e883eb/jcm-10-04030-g001.jpg
https://cdn.ncbi.nlm.nih.gov/pmc/blobs/92f4/8432450/72306e8b2c4e/jcm-10-04030-g002.jpg

相似文献

1
Clinical Significance of Variable Histomorphologic Findings Related to Mucosal Inflammation in Negative Appendectomy.阴性阑尾切除术中与黏膜炎症相关的可变组织形态学表现的临床意义
J Clin Med. 2021 Sep 6;10(17):4030. doi: 10.3390/jcm10174030.
2
The role of the neutrophil-to-lymphocyte ratio in avoiding negative appendectomies.中性粒细胞与淋巴细胞比值在避免阴性阑尾切除术中的作用。
An Pediatr (Engl Ed). 2023 Jan;98(1):12-18. doi: 10.1016/j.anpede.2022.08.005. Epub 2022 Sep 7.
3
Mucosal appendicitis: How can it be differentiated from nonappendicitis?黏膜性阑尾炎:如何与非阑尾炎相鉴别?
Am J Clin Pathol. 2023 Nov 2;160(5):500-506. doi: 10.1093/ajcp/aqad079.
4
Trends and Predictors of Pediatric Negative Appendectomy Rates: A Single-Centre Retrospective Study.小儿阴性阑尾切除术发生率的趋势及预测因素:一项单中心回顾性研究
Children (Basel). 2023 May 15;10(5):887. doi: 10.3390/children10050887.
5
Clinical and Imaging Correlates of Pediatric Mucosal Appendicitis.儿科黏膜阑尾炎的临床和影像学相关性。
J Surg Res. 2019 Oct;242:111-117. doi: 10.1016/j.jss.2019.04.039. Epub 2019 May 7.
6
Occult Appendiceal Neoplasms in Acute and Chronic Appendicitis: A Single-Institution Experience of 1793 Appendectomies.急慢性阑尾炎中的隐匿性阑尾肿瘤:一家机构1793例阑尾切除术的经验
Am Surg. 2017 Dec 1;83(12):1381-1385.
7
If not appendicitis, then what else can it be? A retrospective review of 1492 appendectomies.如果不是阑尾炎,那还能是什么呢?对 1492 例阑尾切除术的回顾性分析。
Hong Kong Med J. 2010 Feb;16(1):12-7.
8
Enterobius vermicularis: A Cause of Abdominal Pain Mimicking Acute Appendicitis in Children. A Retrospective Cohort Study.蛲虫:儿童腹痛酷似急性阑尾炎的病因。一项回顾性队列研究。
Arch Iran Med. 2018 Feb 1;21(2):67-72.
9
Stump Appendicitis: Clinical and CT Findings.残株性阑尾炎:临床和 CT 表现。
AJR Am J Roentgenol. 2020 Dec;215(6):1363-1369. doi: 10.2214/AJR.20.22911. Epub 2020 Oct 6.
10
[Negative appendectomies can be decreased by improved clinical assessment alone].仅通过改进临床评估就可以减少阴性阑尾切除术的发生。
Helv Chir Acta. 1992 May;58(6):837-40.

引用本文的文献

1
Incidental Neoplasm and Histopathological Spectrum of Suspected Acute Appendicitis in Appendectomy Specimen: An Observational Study.阑尾切除术标本中疑似急性阑尾炎的偶然肿瘤及组织病理学谱:一项观察性研究
JNMA J Nepal Med Assoc. 2025 Mar;63(283):165-169. doi: 10.31729/jnma.8914. Epub 2025 Mar 31.
2
Comparison of Appendicitis Inflammatory Response (AIR) and Lintula scoring systems in diagnosing acute appendicitis among children.比较阑尾炎症反应(AIR)和林图拉评分系统在儿童急性阑尾炎诊断中的应用。
J Med Life. 2022 Apr;15(4):443-447. doi: 10.25122/jml-2021-0049.

本文引用的文献

1
Dilemma of mucosal appendicitis: a clinico-pathological entity? A retrospective cohort study.黏膜性阑尾炎的困境:一种临床病理实体?一项回顾性队列研究。
ANZ J Surg. 2018 Apr;88(4):E284-E288. doi: 10.1111/ans.13820. Epub 2016 Nov 2.
2
Negative Appendectomy: an Audit of Resident-Performed Surgery. How Can Its Incidence Be Minimized?阴性阑尾切除术:住院医师手术的一项审计。如何将其发生率降至最低?
Indian J Surg. 2015 Dec;77(Suppl 3):913-7. doi: 10.1007/s12262-014-1063-0. Epub 2014 Apr 9.
3
Role of Eosinophils in Acute Appendicitis.嗜酸性粒细胞在急性阑尾炎中的作用。
JNMA J Nepal Med Assoc. 2015 Jan-Mar;53(197):12-7.
4
Lymphoid Hyperplasia of the Appendix: A Potential Pitfall in the Sonographic Diagnosis of Appendicitis.阑尾淋巴样增生:超声诊断阑尾炎时的一个潜在陷阱。
AJR Am J Roentgenol. 2016 Jan;206(1):189-94. doi: 10.2214/AJR.15.14846.
5
Appendiceal diameter: CT versus sonographic measurements.阑尾直径:CT与超声测量对比
Pediatr Radiol. 2016 Mar;46(3):316-21. doi: 10.1007/s00247-015-3491-9. Epub 2015 Nov 16.
6
Acute appendicitis: modern understanding of pathogenesis, diagnosis, and management.急性阑尾炎:发病机制、诊断和治疗的现代认识。
Lancet. 2015 Sep 26;386(10000):1278-1287. doi: 10.1016/S0140-6736(15)00275-5.
7
Value of Focused Appendicitis Ultrasound and Alvarado Score in Predicting Appendicitis in Children: Can We Reduce the Use of CT?聚焦性阑尾炎超声和 Alvarado 评分在预测儿童阑尾炎中的价值:我们能否减少 CT 的使用?
AJR Am J Roentgenol. 2015 Jun;204(6):W707-12. doi: 10.2214/AJR.14.13212.
8
Risk stratification by the Appendicitis Inflammatory Response score to guide decision-making in patients with suspected appendicitis.基于阑尾炎炎症反应评分的风险分层,指导疑似阑尾炎患者的决策制定。
Br J Surg. 2015 Apr;102(5):563-72. doi: 10.1002/bjs.9773. Epub 2015 Mar 2.
9
Predictors of appendicitis on computed tomography among cases with borderline appendix size.阑尾大小临界的病例中,计算机断层扫描诊断阑尾炎的预测因素
Emerg Radiol. 2015 Aug;22(4):385-94. doi: 10.1007/s10140-015-1297-6. Epub 2015 Feb 17.
10
What are the most clinically useful cutoffs for the Alvarado and Pediatric Appendicitis Scores? A systematic review.阿尔瓦拉多评分和小儿阑尾炎评分最具临床实用性的临界值是多少?一项系统评价。
Ann Emerg Med. 2014 Oct;64(4):365-372.e2. doi: 10.1016/j.annemergmed.2014.02.025. Epub 2014 Apr 14.