Suppr超能文献

使用SWI序列对晚期帕金森病患者的丘脑底核和红核进行容积分析。

Volumetric analysis of subthalamic nucleus and red nucleus in patients of advanced Parkinson's disease using SWI sequences.

作者信息

Kolpakwar Swapnil, Arora Abhishek J, Pavan S, Kandadai Rukmini M, Alugolu Rajesh, Saradhi M Vijaya, Borgohain Rupam

机构信息

Department of Neurosurgery, All India Institute of Medical Sciences, Bibinagar, Hyderabad, Telangana, India.

Department of Radiology, Additional Professor, Department of Radio-Diagnosis, All India Institute of Medical Sciences, Bibinagar, Hyderabad, Telangana, India.

出版信息

Surg Neurol Int. 2021 Jul 27;12:377. doi: 10.25259/SNI_584_2021. eCollection 2021.

Abstract

BACKGROUND

Parkinson's disease is associated with significant changes in morphometry of subthalamic nucleus (STN); however, not much is known as the disease progresses. The aim of present study was to investigate the volume of STN and Red nucleus (RN) on 3T-magnetic resonance imaging (MRI) and its possible correlation with disease progression in advanced Parkinson's disease patients.

METHODS

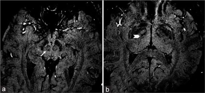
Patients of advanced Parkinson's disease were prospectively followed for clinical details, motor severity scores, and radiological evaluation. Volumes of the STN and RN were measured on susceptibility weighted imaging, coronal sections in 3T MRI and were correlated with demographic and clinical features.

RESULTS

A total of 52 patients were included in our study. There were 42 (80.77%) males and 10 (19.23%) females. Mean age of onset of Parkinson's disease was 49.48 + 10.90 years. Average duration of disease in the present cohort was 7.65 + 4.31 years. Average STN and RN volume were 103.46 + 21.17 mm and 321.73 + 67.66 mm. Age of onset, disease duration and Unified Parkinson's Disease Rating Scale Part III scores were not found to be associated with changes in STN Volumes. Weak positive trend was noted between RN volume and disease duration (Pearson cor. 0.204, = 0.14). Patients in early-onset Parkinson's disease group had significantly more volume of RN than patients in late-onset Parkinson's disease group ( = 0.014).

CONCLUSION

Disease duration and early age of onset in Parkinson's disease can be associated with increased RN volume. Volume of STN shows relatively no change even with disease progression.

摘要

背景

帕金森病与丘脑底核(STN)形态计量学的显著变化相关;然而,随着疾病进展,相关情况却知之甚少。本研究的目的是在3T磁共振成像(MRI)上研究晚期帕金森病患者的STN和红核(RN)体积及其与疾病进展的可能相关性。

方法

对晚期帕金森病患者进行前瞻性随访,记录临床细节、运动严重程度评分及影像学评估。在3T MRI的冠状位上,通过磁敏感加权成像测量STN和RN的体积,并将其与人口统计学和临床特征相关联。

结果

本研究共纳入52例患者。其中男性42例(80.77%),女性10例(19.23%)。帕金森病的平均发病年龄为49.48±10.90岁。本队列患者的平均病程为7.65±4.31年。STN和RN的平均体积分别为103.46±21.17mm³和321.73±67.66mm³。未发现发病年龄、病程和统一帕金森病评定量表第三部分评分与STN体积变化相关。RN体积与病程之间存在微弱的正相关趋势(Pearson相关系数0.204,P=0.14)。早发型帕金森病组患者的RN体积显著大于晚发型帕金森病组患者(P=0.014)。

结论

帕金森病的病程和早发年龄可能与RN体积增加有关。即使疾病进展,STN体积相对无变化。

https://cdn.ncbi.nlm.nih.gov/pmc/blobs/fb00/8422532/3aad0483509c/SNI-12-377-g001.jpg

文献AI研究员

20分钟写一篇综述,助力文献阅读效率提升50倍。

立即体验

用中文搜PubMed

大模型驱动的PubMed中文搜索引擎

马上搜索

文档翻译

学术文献翻译模型,支持多种主流文档格式。

立即体验