Suppr超能文献

顺铂吉西他滨、替雷利珠单抗和乐伐替尼序贯全身治疗用于晚期肝内胆管癌转化治疗

Systemic Sequential Therapy of CisGem, Tislelizumab, and Lenvatinib for Advanced Intrahepatic Cholangiocarcinoma Conversion Therapy.

作者信息

Ding Yuan, Han Xin, Sun Zhongquan, Tang Jinlong, Wu Yingsheng, Wang Weilin

机构信息

Department of Hepatobiliary and Pancreatic Surgery, The Second Affiliated Hospital, Zhejiang University School of Medicine, Hangzhou, China.

Key Laboratory of Precision Diagnosis and Treatment for Hepatobiliary and Pancreatic Tumor of Zhejiang Province , Hangzhou, China.

出版信息

Front Oncol. 2021 Aug 30;11:691380. doi: 10.3389/fonc.2021.691380. eCollection 2021.

Abstract

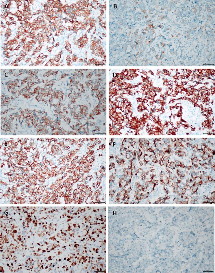
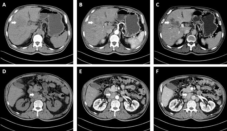
Intrahepatic cholangiocarcinoma (CCA), always diagnosed at an advanced stage in recent years, is of high aggression and poor prognosis. There is no standard treatment beyond first-line chemotherapy and no molecular-targeted agents or immune checkpoint inhibitors approved for advanced intrahepatic CCA. Hence, we firstly report an original therapeutic strategy for a 60-year-old patient diagnosed with intrahepatic CCA categorized as Stage IIIB (T3N1M0) by the American Joint Committee on Cancer staging system. After histopathological examination and next-generation sequencing, the patient was treated with four courses of novel systemic sequential therapy (intravenous gemcitabine 1,000 mg/m and cisplatin 25 mg/m on days 1 and 8; oral lenvatinib 8 mg/day from days 1 to 21; intravenous tislelizumab 200 mg on day 15). Then, the patient achieved partial response and was operated on right hemihepatectomy, cholecystectomy, and abdominal lymph node dissection. Without any perioperative complications, the patient was discharged from our hospital in perfect condition. Thereafter, the patient continued to use this new regimen 1 month after surgery for adjuvant therapy and was confirmed without recurrence when we followed up. In a word, we found an effective therapeutic regimen for preoperative advanced intrahepatic CCA conversion therapy, which may become a new approach in cancer treatment in the future.

摘要

肝内胆管癌(CCA)近年来往往在晚期才被诊断出来,具有高侵袭性和不良预后。除一线化疗外,尚无标准治疗方法,也没有针对晚期肝内CCA获批的分子靶向药物或免疫检查点抑制剂。因此,我们首次报告了一种针对一名60岁患者的原创治疗策略,该患者被美国癌症联合委员会分期系统归类为IIIB期(T3N1M0)的肝内CCA。经过组织病理学检查和二代测序后,该患者接受了四个疗程的新型全身序贯治疗(第1天和第8天静脉注射吉西他滨1000mg/m²和顺铂25mg/m²;第1天至21天口服乐伐替尼8mg/天;第15天静脉注射替雷利珠单抗200mg)。然后,患者达到部分缓解,并接受了右半肝切除术、胆囊切除术和腹部淋巴结清扫术。患者无任何围手术期并发症,康复出院。此后,患者术后1个月继续使用该新方案进行辅助治疗,随访时确认无复发。总之,我们找到了一种有效的术前晚期肝内CCA转化治疗方案,这可能成为未来癌症治疗的一种新方法。

https://cdn.ncbi.nlm.nih.gov/pmc/blobs/3652/8435785/4845814ab54f/fonc-11-691380-g001.jpg

文献AI研究员

20分钟写一篇综述,助力文献阅读效率提升50倍。

立即体验

用中文搜PubMed

大模型驱动的PubMed中文搜索引擎

马上搜索

文档翻译

学术文献翻译模型,支持多种主流文档格式。

立即体验