Suppr超能文献

一种基于放射组学的方法,用于预测肝硬化高危患者计算机断层扫描中新发肝细胞癌的出现。

A Radiomics Approach to Predict the Emergence of New Hepatocellular Carcinoma in Computed Tomography for High-Risk Patients with Liver Cirrhosis.

作者信息

Tietz Eric, Truhn Daniel, Müller-Franzes Gustav, Berres Marie-Luise, Hamesch Karim, Lang Sven Arke, Kuhl Christiane Katharina, Bruners Philipp, Schulze-Hagen Maximilian

机构信息

Department of Diagnostic and Interventional Radiology, University Hospital, RWTH Aachen, Pauwelsstrasse 30, 52074 Aachen, Germany.

Department of Internal Medicine III, University Hospital, RWTH Aachen, Pauwelsstrasse 30, 52074 Aachen, Germany.

出版信息

Diagnostics (Basel). 2021 Sep 9;11(9):1650. doi: 10.3390/diagnostics11091650.

Abstract

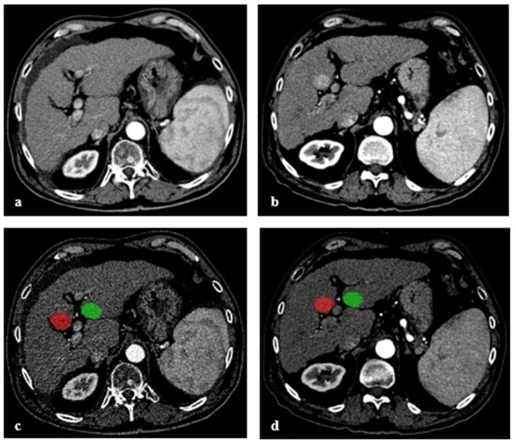
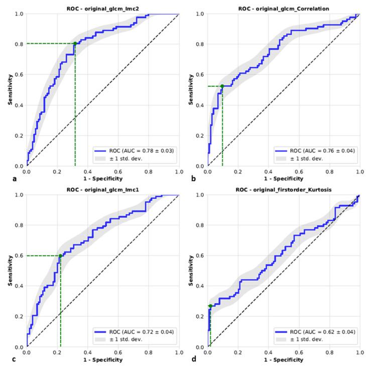
Liver cirrhosis poses a major risk for the development of hepatocellular carcinoma (HCC). This retrospective study investigated to what extent radiomic features allow the prediction of emerging HCC in patients with cirrhosis in contrast-enhanced computed tomography (CECT). A total of 51 patients with liver cirrhosis and newly detected HCC lesions ( = 82) during follow-up (FU-CT) after local tumor therapy were included. These lesions were not to have been detected by the radiologist in the chronologically prior CECT (PRE-CT). For training purposes, segmentations of 22 patients with liver cirrhosis but without HCC-recurrence were added. A total of 186 areas (82 HCCs and 104 cirrhotic liver areas without HCC) were analyzed. Using univariate analysis, four independent features were identified, and a multivariate logistic regression model was trained to classify the outlined regions as "HCC probable" or "HCC improbable". In total, 60/82 (73%) of segmentations with later detected HCC and 84/104 (81%) segmentations without HCC were classified correctly (AUC of 81%, 95% CI 74-87%), yielding a sensitivity of 72% (95% CI 57-83%) and a specificity of 86% (95% CI 76-96%). In conclusion, the model predicted the occurrence of new HCCs within segmented areas with an acceptable sensitivity and specificity in cirrhotic liver tissue in CECT.

摘要

肝硬化是肝细胞癌(HCC)发生的主要危险因素。这项回顾性研究调查了在对比增强计算机断层扫描(CECT)中,放射组学特征在多大程度上能够预测肝硬化患者新发HCC。本研究纳入了51例肝硬化患者,这些患者在局部肿瘤治疗后的随访(FU-CT)期间新发现了HCC病变(n = 82)。这些病变在之前按时间顺序排列的CECT(PRE-CT)中未被放射科医生检测到。为了进行训练,增加了22例无HCC复发的肝硬化患者的分割图像。总共分析了186个区域(82个HCC和104个无HCC的肝硬化肝区)。通过单因素分析,确定了四个独立特征,并训练了一个多因素逻辑回归模型,以将勾勒出的区域分类为“可能为HCC”或“不太可能为HCC”。总体而言,后来检测到HCC的分割图像中有60/82(73%)被正确分类,无HCC的分割图像中有84/104(81%)被正确分类(AUC为81%,95%CI为74-87%),敏感性为72%(95%CI为57-83%),特异性为86%(95%CI为76-96%)。总之,该模型在CECT中对肝硬化肝组织分割区域内新发HCC的发生具有可接受的敏感性和特异性。

https://cdn.ncbi.nlm.nih.gov/pmc/blobs/e8fd/8471809/4b077e9cb16a/diagnostics-11-01650-g001.jpg

文献AI研究员

20分钟写一篇综述,助力文献阅读效率提升50倍。

立即体验

用中文搜PubMed

大模型驱动的PubMed中文搜索引擎

马上搜索

文档翻译

学术文献翻译模型,支持多种主流文档格式。

立即体验