Suppr超能文献

计算机断层扫描引导下的头颈部肿块经皮活检:技术、结果及并发症

Computed tomography-guided percutaneous biopsy of head and neck masses: techniques, outcomes, and complications.

作者信息

Amoedo Mauricio Kauark, Tyng Chiang Jeng, Barbosa Paula Nicole Vieira Pinto, de Melo Rayssa Araruna Bezerra, Almeida Maria Fernanda Arruda, Chojniak Rubens, Bitencourt Almir Galvão Vieira

机构信息

Department of Imaging, A.C.Camargo Cancer Center, São Paulo, SP, Brazil.

出版信息

Radiol Bras. 2021 Sep-Oct;54(5):295-302. doi: 10.1590/0100-3984.2020.0100.

Abstract

OBJECTIVE

To assess the technique, efficacy, and safety of computed tomography (CT)-guided percutaneous biopsies of head and neck masses.

MATERIALS AND METHODS

This was a retrospective, single-center study of CT-guided percutaneous core-needle biopsies of head and neck masses. For the analysis of diagnostic accuracy, biopsy results were compared with the final diagnosis, which was determined by histological examination and clinical follow-up.

RESULTS

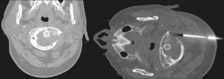
We evaluated 74 biopsies performed in 68 patients. The mean age of the patients was 55.6 years. Most of the lesions (79.7%) were located in the suprahyoid region, and the maximum diameter ranged from 11 mm to 128 mm. The most common approaches were paramaxillary (in 32.4%), retromandibular (in 21.6%), and periorbital (in 14.9%). Five patients (6.8%) developed minor complications. The presence of a complication did not show a statistically significant association with any clinical, radiological, or procedure-related factor. Sufficient material for histological analysis was obtained in all procedures. Thirty-eight biopsies (51.4%) yielded a histological diagnosis of malignancy. There was a false-negative result in three cases (8.3%), and there were no false-positive results. The procedure had a sensitivity of 92.7%, a specificity of 100%, and an accuracy of 96.0%.

CONCLUSION

Our results demonstrate that CT-guided percutaneous core-needle biopsy of head and neck lesions is a safe, effective procedure for obtaining biological material for histological analysis.

摘要

目的

评估计算机断层扫描(CT)引导下经皮穿刺活检头颈部肿块的技术、疗效及安全性。

材料与方法

这是一项关于CT引导下经皮穿刺针吸活检头颈部肿块的回顾性单中心研究。为分析诊断准确性,将活检结果与最终诊断进行比较,最终诊断由组织学检查和临床随访确定。

结果

我们评估了68例患者的74次活检。患者的平均年龄为55.6岁。大多数病变(79.7%)位于舌骨上区,最大直径范围为11毫米至128毫米。最常见的进针途径是上颌旁(32.4%)、下颌后(21.6%)和眶周(14.9%)。5例患者(6.8%)出现轻微并发症。并发症的发生与任何临床、放射学或操作相关因素均无统计学显著关联。所有操作均获得了足够的组织学分析材料。38次活检(51.4%)组织学诊断为恶性肿瘤。3例出现假阴性结果(8.3%),无假阳性结果。该操作的敏感性为92.7%,特异性为100%,准确性为96.0%。

结论

我们的结果表明,CT引导下经皮穿刺针吸活检头颈部病变是获取组织学分析生物材料的一种安全、有效的方法。

https://cdn.ncbi.nlm.nih.gov/pmc/blobs/79fe/8475163/e04dc3721d0f/rb-54-05-0295-g01.jpg

文献AI研究员

20分钟写一篇综述,助力文献阅读效率提升50倍。

立即体验

用中文搜PubMed

大模型驱动的PubMed中文搜索引擎

马上搜索

文档翻译

学术文献翻译模型,支持多种主流文档格式。

立即体验