Suppr超能文献

淀粉样变性:严重胆汁淤积和急性肝衰竭的罕见病因。

Amyloidosis: A Rare Cause of Severe Cholestasis and Acute Liver Failure.

作者信息

Kim Hyun Jae, Tomaszewski Marcel, Lam Eric C, Xiong Wei, Moosavi Sarvee

机构信息

Department of Medicine, University of British Columbia, Vancouver, British Columbia, Canada.

Department of Gastroenterology, University of British Columbia, Vancouver, British Columbia, Canada.

出版信息

ACG Case Rep J. 2020 Dec 4;7(12):e00479. doi: 10.14309/crj.0000000000000479. eCollection 2020 Dec.

Abstract

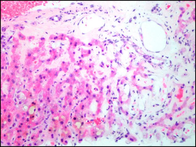
Although hepatic involvement in light chain-associated amyloidosis is common, clinical manifestations of hepatic amyloidosis are rare. In most cases, hepatomegaly serves as a clue to diagnosis. We report a unique case of a 48-year-old man from China with jaundice and noncirrhotic portal hypertension, with rapidly progressive liver failure, in the absence of hepatomegaly, secondary to systemic light chain-associated amyloidosis associated with multiple myeloma.

摘要

尽管轻链相关性淀粉样变性累及肝脏很常见,但肝淀粉样变性的临床表现却很少见。在大多数情况下,肝肿大是诊断的线索。我们报告了一例独特的病例,一名来自中国的48岁男性,患有黄疸和非肝硬化性门静脉高压症,继发于与多发性骨髓瘤相关的系统性轻链相关性淀粉样变性,在没有肝肿大的情况下出现快速进展的肝功能衰竭。

https://cdn.ncbi.nlm.nih.gov/pmc/blobs/fcf5/8483873/b0e7aff6f4bb/ac9-7-e00479-g001.jpg

相似文献

1
Amyloidosis: A Rare Cause of Severe Cholestasis and Acute Liver Failure.
ACG Case Rep J. 2020 Dec 4;7(12):e00479. doi: 10.14309/crj.0000000000000479. eCollection 2020 Dec.
2
A Case of Severe Cholestasis due to Hepatic AL Amyloidosis.
GE Port J Gastroenterol. 2019 Oct;26(6):425-429. doi: 10.1159/000496185. Epub 2019 Feb 7.
4
A case of fatal intrahepatic cholestasis with primary AL amyloidosis: is early diagnosis possible?
Clin J Gastroenterol. 2013 Oct;6(5):386-9. doi: 10.1007/s12328-013-0406-x. Epub 2013 Jul 28.
5
Hepatic Amyloidosis With Multiorgan Involvement.
ACG Case Rep J. 2023 Apr 19;10(4):e00999. doi: 10.14309/crj.0000000000000999. eCollection 2023 Apr.
9
Primary systemic amyloidosis with giant hepatomegaly and a swiftly progressive course.
J Clin Gastroenterol. 1997 Apr;24(3):173-5. doi: 10.1097/00004836-199704000-00011.

引用本文的文献

本文引用的文献

1
Hepatic amyloidosis: a cause of rapidly progressive jaundice.
BMJ Case Rep. 2018 Jan 9;2018:bcr-2017-222942. doi: 10.1136/bcr-2017-222942.
2
Primary Hepatic Amyloidosis Presenting as Acute-on-Chronic Liver Failure.
ACG Case Rep J. 2017 Feb 15;4:e22. doi: 10.14309/crj.2017.22. eCollection 2017.
3
Amyloidosis of the gastrointestinal tract and the liver: clinical context, diagnosis and management.
Eur J Gastroenterol Hepatol. 2016 Oct;28(10):1109-21. doi: 10.1097/MEG.0000000000000695.
5
Acute liver failure due to primary amyloidosis in a nephrotic syndrome: a swiftly progressive course.
BMJ Case Rep. 2016 Mar 10;2016:bcr2016214392. doi: 10.1136/bcr-2016-214392.
6
Liver Failure Secondary to Amyloid Light-Chain Amyloidosis.
Am J Med. 2016 Apr;129(4):e19-20. doi: 10.1016/j.amjmed.2015.11.011. Epub 2015 Dec 2.
7
Al amyloidosis.
Orphanet J Rare Dis. 2012 Aug 21;7:54. doi: 10.1186/1750-1172-7-54.
8
Gastrointestinal manifestations of amyloidosis.
Am J Gastroenterol. 2008 Mar;103(3):776-87. doi: 10.1111/j.1572-0241.2007.01669.x. Epub 2007 Dec 12.
9
Advances in the treatment of amyloidosis.
N Engl J Med. 2007 Jun 7;356(23):2413-5. doi: 10.1056/NEJMe078027.
10
Primary (AL) hepatic amyloidosis: clinical features and natural history in 98 patients.
Medicine (Baltimore). 2003 Sep;82(5):291-8. doi: 10.1097/01.md.0000091183.93122.c7.

文献AI研究员

20分钟写一篇综述,助力文献阅读效率提升50倍。

立即体验

用中文搜PubMed

大模型驱动的PubMed中文搜索引擎

马上搜索

文档翻译

学术文献翻译模型,支持多种主流文档格式。

立即体验