Suppr超能文献

内侧半月板根部撕裂的自然史:生物力学与临床病例视角

The Natural History of Medial Meniscal Root Tears: A Biomechanical and Clinical Case Perspective.

作者信息

Floyd Edward R, Rodriguez Ariel N, Falaas Kari L, Carlson Gregory B, Chahla Jorge, Geeslin Andrew G, LaPrade Robert F

机构信息

University of North Dakota School of Medicine and Health Sciences/Sanford Orthopedics & Sports Medicine, Fargo, ND, United States.

Twin Cities Orthopedics, Edina-Crosstown Surgery Center, Minneapolis, MN, United States.

出版信息

Front Bioeng Biotechnol. 2021 Sep 23;9:744065. doi: 10.3389/fbioe.2021.744065. eCollection 2021.

Abstract

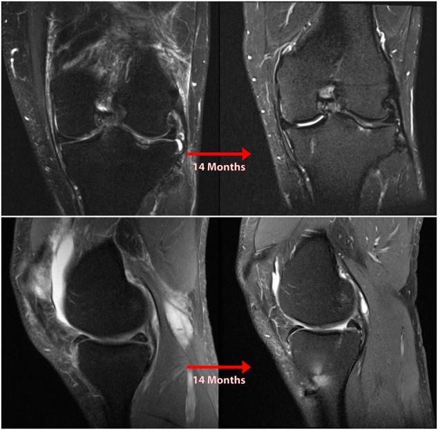
Posterior medial meniscus root tears (PMMRTs) make up a relatively notable proportion of all meniscus pathology and have been definitively linked to the progression of osteoarthritis (OA). While known risk factors for development of OA in the knee include abnormal tibial coronal alignment, obesity and female gender, PMMRTs have emerged in recent years as another significant driver of degenerative disease. These injuries lead to an increase in average contact pressure in the medial compartment, along with increases in peak contact pressure and a decrease in contact area relative to the intact state. Loss of the root attachment impairs the function of the entire meniscus and leads to meniscal extrusion, thus impairing the force-dissipating role of the meniscus. Anatomic meniscus root repairs with a transtibial pullout technique have been shown biomechanically to restore mean and peak contact pressures in the medial compartment. However, nonanatomic root repairs have been reported to be ineffective at restoring joint pressures back to normal. Meniscal extrusion is often a consequence of nonanatomic repair and is correlated with progression of OA. In this study, the authors will describe the biomechanical basis of the natural history of medial meniscal root tears and will support the biomechanical studies with a case series including patients that either underwent non-operative treatment (5 patients) or non-anatomic repair of their medial meniscal root tears (6 patients). Using measurements derived from axial MRI, the authors will detail the distance from native root attachment center of the non-anatomic tunnels and discuss the ongoing symptoms of those patients. Imaging and OA progression among patients who were treated nonoperatively before presentation to the authors will be discussed as well. The case series thus presented will illustrate the natural history of meniscal root tears, the consequences of non-anatomic repair, and the findings of symptomatic meniscal extrusion associated with a non-anatomic repair position of the meniscus.

摘要

后内侧半月板根部撕裂(PMMRTs)在所有半月板病变中占比较显著,并且已明确与骨关节炎(OA)的进展相关。虽然已知膝关节OA发展的风险因素包括胫骨冠状面排列异常、肥胖和女性性别,但近年来PMMRTs已成为退行性疾病的另一个重要驱动因素。这些损伤导致内侧间室平均接触压力增加,同时峰值接触压力增加,且相对于完整状态接触面积减小。根部附着的丧失会损害整个半月板的功能,并导致半月板挤出,从而损害半月板的力消散作用。经胫骨拉出技术进行的解剖学半月板根部修复在生物力学上已显示可恢复内侧间室的平均和峰值接触压力。然而,据报道非解剖学根部修复在将关节压力恢复到正常水平方面无效。半月板挤出通常是非解剖学修复的结果,并且与OA的进展相关。在本研究中,作者将描述内侧半月板根部撕裂自然病程的生物力学基础,并将通过一个病例系列来支持生物力学研究,该病例系列包括接受非手术治疗的患者(5例)或内侧半月板根部撕裂接受非解剖学修复的患者(6例)。作者将使用从轴向MRI得出的测量值,详细说明非解剖学隧道与天然根部附着中心的距离,并讨论这些患者的持续症状。还将讨论在向作者就诊之前接受非手术治疗的患者的影像学和OA进展情况。因此呈现的病例系列将说明半月板根部撕裂的自然病程、非解剖学修复的后果以及与半月板非解剖学修复位置相关的有症状半月板挤出的发现。

https://cdn.ncbi.nlm.nih.gov/pmc/blobs/f900/8495066/8e4e33384ea4/fbioe-09-744065-g001.jpg

文献AI研究员

20分钟写一篇综述,助力文献阅读效率提升50倍。

立即体验

用中文搜PubMed

大模型驱动的PubMed中文搜索引擎

马上搜索

文档翻译

学术文献翻译模型,支持多种主流文档格式。

立即体验