Suppr超能文献

(L.) Merr. 具有抗 SARS-CoV-2 和抗炎活性的生物活性成分:分子对接和动力学、体外和体内研究。

(L.) Merr. Bioactive Constituents Exert Anti-SARS-CoV-2 and Anti-Inflammatory Activities: Molecular Docking and Dynamics, In Vitro, and In Vivo Studies.

机构信息

Department of Pharmacognosy, Faculty of Pharmacy, October 6 University (O6U), October 6 City, Giza 12585, Egypt.

Department of Biochemistry, Faculty of Pharmacy, October 6 University (O6U), October 6 City, Giza 12585, Egypt.

出版信息

Molecules. 2021 Sep 27;26(19):5844. doi: 10.3390/molecules26195844.

Abstract

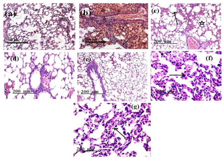
In response to the urgent need to control Coronavirus disease 19 (COVID-19), this study aims to explore potential anti-SARS-CoV-2 agents from natural sources. Moreover, cytokine immunological responses to the viral infection could lead to acute respiratory distress which is considered a critical and life-threatening complication associated with the infection. Therefore, the anti-viral and anti-inflammatory agents can be key to the management of patients with COVID-19. Four bioactive compounds, namely ferulic acid , rutin , gallic acid , and chlorogenic acid were isolated from the leaves of (L.) Merr (ethyl acetate extract) and identified using spectroscopic evidence. Furthermore, molecular docking and dynamics simulations were performed for the isolated and identified compounds (-) against SARS-CoV-2 main protease (Mpro) as a proposed mechanism of action. Furthermore, all compounds were tested for their half-maximal cytotoxicity (CC) and SARS-CoV-2 inhibitory concentrations (IC). Additionally, lung toxicity was induced in rats by mercuric chloride and the effects of treatment with aqueous extract, ferulic acid , rutin , gallic acid , and chlorogenic acid were recorded through measuring TNF-α, IL-1β, IL-2, IL-10, G-CSF, and genetic expression of miRNA 21-3P and miRNA-155 levels to assess their anti-inflammatory effects essential for COVID-19 patients. Interestingly, rutin , gallic acid , and chlorogenic acid showed remarkable anti-SARS-CoV-2 activities with IC values of 31 µg/mL, 108 μg/mL, and 360 µg/mL, respectively. Moreover, the anti-inflammatory effects were found to be better in ferulic acid and rutin treatments. Our results could be promising for more advanced preclinical and clinical studies especially on rutin either alone or in combination with other isolates for COVID-19 management.

摘要

为了应对控制冠状病毒病 19(COVID-19)的迫切需求,本研究旨在从天然来源中探索潜在的抗 SARS-CoV-2 药物。此外,病毒感染引起的细胞因子免疫反应可能导致急性呼吸窘迫,这被认为是与感染相关的严重且危及生命的并发症。因此,抗病毒和抗炎药物可能是 COVID-19 患者管理的关键。从(L.)Merr(乙酸乙酯提取物)的叶子中分离出 4 种生物活性化合物,即阿魏酸、芦丁、没食子酸和绿原酸,并通过光谱证据鉴定。此外,还对分离和鉴定的化合物(-)进行了分子对接和动力学模拟,以对抗 SARS-CoV-2 主要蛋白酶(Mpro)作为作用机制进行了研究。此外,还测试了所有化合物的半最大细胞毒性(CC)和 SARS-CoV-2 抑制浓度(IC)。此外,氯化汞诱导大鼠肺毒性,并记录用 水提物、阿魏酸、芦丁、没食子酸和绿原酸治疗的效果,通过测量 TNF-α、IL-1β、IL-2、IL-10、G-CSF 和 miRNA 21-3P 和 miRNA-155 水平的遗传表达来评估它们对 COVID-19 患者至关重要的抗炎作用。有趣的是,芦丁、没食子酸和绿原酸显示出显著的抗 SARS-CoV-2 活性,IC 值分别为 31µg/mL、108µg/mL 和 360µg/mL。此外,阿魏酸和芦丁处理的抗炎作用更好。我们的研究结果可能对更先进的临床前和临床研究有希望,特别是在 COVID-19 管理方面,芦丁单独或与其他分离物联合使用。

https://cdn.ncbi.nlm.nih.gov/pmc/blobs/eb28/8510437/a0bc8e151669/molecules-26-05844-g001.jpg

文献AI研究员

20分钟写一篇综述,助力文献阅读效率提升50倍。

立即体验

用中文搜PubMed

大模型驱动的PubMed中文搜索引擎

马上搜索

文档翻译

学术文献翻译模型,支持多种主流文档格式。

立即体验