Suppr超能文献

绝经前和绝经后患者的高雄激素卵巢肿瘤的临床和超声特征:单中心经验。

Clinical and ultrasound characteristics of virilizing ovarian tumors in pre- and postmenopausal patients: a single tertiary center experience.

机构信息

Department of Ultrasound, State Key Laboratory of Complex Severe and Rare Diseases, Peking Union Medical College Hospital, Chinese Academy of Medical Science and Peking Union Medical College, 1 Shuaifuyuan, Dongcheng District, Beijing, 100730, China.

Department of Obstetrics and Gynecology, Peking Union Medical College Hospital, Beijing, China.

出版信息

Orphanet J Rare Dis. 2021 Oct 12;16(1):426. doi: 10.1186/s13023-021-02057-z.

Abstract

BACKGROUND

A virilizing ovarian tumor (VOT) is a rare cause of hyperandrogenism in pre- and postmenopausal women. Although transvaginal ultrasound is considered as the first-line imaging method for ovarian tumors, it is examiner-dependent. We aimed to summarize the clinical and ultrasound manifestations of VOTs to help establish the diagnosis with emphasis on those causing diagnostic difficulty.

METHOD

We retrospectively identified 31 patients with VOTs who underwent surgery at Peking Union Medical College Hospital.

RESULTS

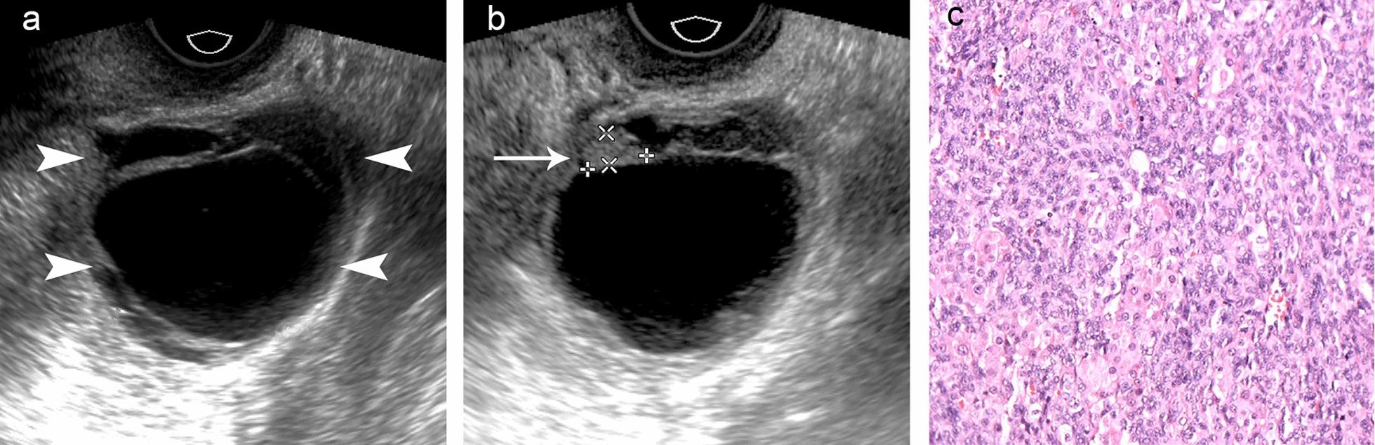
Patients with VOTs were predominantly premenopausal. All patients showed androgenic manifestations with serum testosterone levels elevated to varying degrees. The tumor size of VOTs was significantly correlated with age (P < 0.001). The VOTs in the postmenopausal group were significantly smaller than those in the premenopausal group (median 1.8 cm [range, 1.3-4.8 cm] vs 4.5 cm [range, 0.7-11.9 cm]; P = 0.018). Twenty-seven out of 31 VOTs were successfully identified by ultrasound. On ultrasound, VOTs are mostly solid and hypoechoic masses with enhanced vascularity. Four VOTs (0.7-1.5 cm) were radiologically negative, and they were the smallest among all patients.

CONCLUSION

Patients with VOTs showed androgenic manifestations with varying degrees of hyperandrogenemia. Older patients tend to have smaller VOTs. Ultrasound is an effective method for the detection of VOTs. Some VOTs can be very small and difficult to visualize radiologically, especially in postmenopausal patients. Examiners must remain vigilant about very small VOTs on the basis of endocrine symptoms.

摘要

背景

卵巢雄性化肿瘤(VOT)是导致绝经前和绝经后妇女雄激素过多的罕见原因。尽管经阴道超声被认为是卵巢肿瘤的首选影像学检查方法,但它依赖于检查者。我们旨在总结 VOT 的临床和超声表现,以帮助建立诊断,重点是那些导致诊断困难的 VOT。

方法

我们回顾性地确定了在北京协和医院接受手术的 31 例 VOT 患者。

结果

VOT 患者主要为绝经前。所有患者均表现出雄激素过多的表现,血清睾酮水平不同程度升高。VOT 的肿瘤大小与年龄显著相关(P<0.001)。绝经后组的 VOT 明显小于绝经前组(中位数 1.8cm[范围 1.3-4.8cm]比 4.5cm[范围 0.7-11.9cm];P=0.018)。31 例 VOT 中有 27 例经超声成功识别。在超声上,VOT 主要是实性和低回声肿块,伴增强的血管。4 例 VOT(0.7-1.5cm)影像学阴性,是所有患者中最小的。

结论

VOT 患者表现出不同程度的雄激素过多的雄激素过多表现。年龄较大的患者倾向于有较小的 VOT。超声是检测 VOT 的有效方法。一些 VOT 可能非常小,难以在影像学上观察到,尤其是在绝经后患者中。检查者必须根据内分泌症状警惕非常小的 VOT。

https://cdn.ncbi.nlm.nih.gov/pmc/blobs/f38e/8513290/5084bc40ce35/13023_2021_2057_Fig1_HTML.jpg

文献AI研究员

20分钟写一篇综述,助力文献阅读效率提升50倍。

立即体验

用中文搜PubMed

大模型驱动的PubMed中文搜索引擎

马上搜索

文档翻译

学术文献翻译模型,支持多种主流文档格式。

立即体验