Suppr超能文献

全髋关节置换术后与机械辅助缝隙腐蚀及钴离子水平升高相关的神经功能障碍

Neurologic Dysfunction Associated With Mechanically Assisted Crevice Corrosion and Elevated Cobalt Ion Levels After Total Hip Arthroplasty.

作者信息

Yan Brandon W, Bini Stefano A

机构信息

School of Medicine, University of California San Francisco (UCSF), San Francisco, CA, USA.

Department of Orthopaedic Surgery, UCSF School of Medicine, San Francisco, CA, USA.

出版信息

Arthroplast Today. 2021 Oct 7;11:217-221. doi: 10.1016/j.artd.2021.09.002. eCollection 2021 Oct.

Abstract

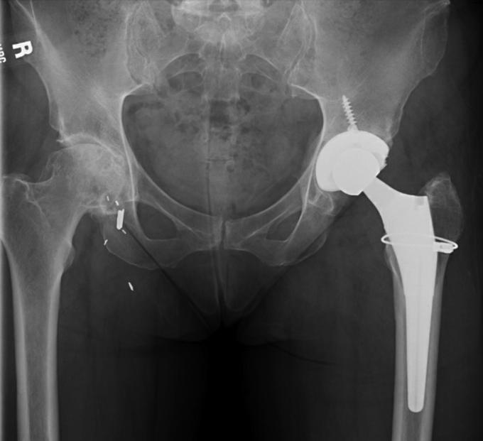
Adverse local tissue reactions secondary to mechanically assisted crevice corrosion (MACC) at the trunnion is a complication of total hip arthroplasty known to cause local soft-tissue damage. However, what is not as well appreciated is that MACC in metal-on-polyethylene (MOP) articulations can lead to cobalt ion serum elevations with associated neurological dysfunction just as in metal-on-metal articulations. We report a compelling case for the association of neurologic dysfunction tied to metal ion elevations secondary to MACC at two distinct MOP tapers in a 58-year-old intensive care unit nurse with two hips implanted 3 years apart. This report further raises awareness about the potential of MACC-generated elevated ion levels to produce neurological symptoms that might otherwise be overlooked in patients with MOP articulations.

摘要

继发于机械辅助缝隙腐蚀(MACC)的局部组织不良反应发生在股骨柄处,是全髋关节置换术的一种并发症,已知会导致局部软组织损伤。然而,人们尚未充分认识到的是,金属对聚乙烯(MOP)关节中的MACC会导致血清钴离子升高,并伴有神经功能障碍,就如同金属对金属关节一样。我们报告了一例令人信服的病例,一名58岁的重症监护病房护士,其双侧髋关节分别在3年前植入,在两个不同的MOP锥度处,继发于MACC的金属离子升高与神经功能障碍有关。本报告进一步提高了人们对MACC导致离子水平升高从而产生神经症状的可能性的认识,否则这些症状在MOP关节患者中可能会被忽视。

https://cdn.ncbi.nlm.nih.gov/pmc/blobs/3f2a/8501461/099af4e15b2a/gr1.jpg

文献AI研究员

20分钟写一篇综述,助力文献阅读效率提升50倍。

立即体验

用中文搜PubMed

大模型驱动的PubMed中文搜索引擎

马上搜索

文档翻译

学术文献翻译模型,支持多种主流文档格式。

立即体验