Suppr超能文献

肺癌患者接受 PD-(L)1 抑制剂治疗后进行胸部放疗的安全性。

Safety of thoracic radiotherapy after PD-(L)1 inhibitor treatment in patients with lung cancer.

机构信息

Cheeloo College of Medicine, Shandong University, Jinan, Shandong, China.

Department of Radiation Oncology, Shandong Cancer Hospital and Institute, Shandong First Medical University and Shandong Academy of Medical Sciences, Jinan, Shandong, China.

出版信息

Cancer Med. 2021 Dec;10(23):8518-8529. doi: 10.1002/cam4.4363. Epub 2021 Oct 19.

Abstract

BACKGROUND

The safety of thoracic radiotherapy (TRT) after programmed death 1/programmed death ligand 1 (PD-(L)1) inhibitor treatment in patients with lung cancer was scarcely reported. This retrospective study was conducted to evaluate the incidence, severity, and risk factors of symptomatic treatment-related pneumonitis in patients with lung cancer who received this sequential combination.

METHODS

We conducted a retrospective study of a cohort of patients with lung cancer who received TRT after at least two cycles of PD-(L)1 inhibitor treatment between January 2018 and August 2020. Treatment-related pneumonitis was evaluated and analyzed to illustrate the safety profile of this sequential combination. Potential risk factors were explored by univariate and multivariate logistic regression analyses.

RESULTS

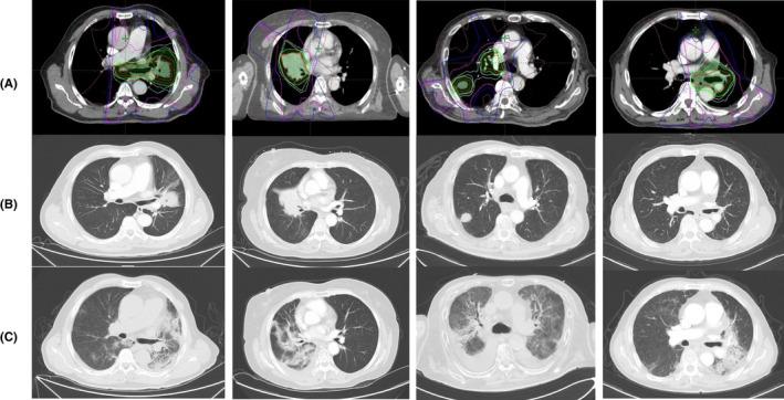
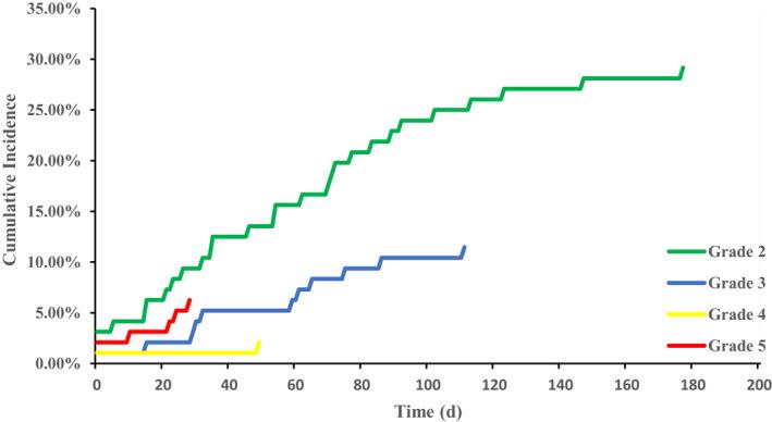
Among the 828 patients with prior PD-(L)1 inhibitor treatment, 96 patients receiving subsequent TRT were included in the analysis. Of these, 49 patients (51%) received radical TRT while 47 patients (49%) received palliative TRT. The median total dose was 52 Gy (IQR 50-60 Gy). The median time from the initiation of PD-(L)1 inhibitor treatment to TRT was 4.8 months (1.6-14.1 months) with most of the patients (74%) administering no less than four cycles of PD-(L)1 inhibitor. During follow-up, 47 patients (48.96%) developed symptomatic treatment-related pneumonitis (grade 2 n = 28, grade ≥3 n = 19) while six patients (6.25%) suffered from fatal toxicity. The median time of pneumonitis onset after completion of TRT was 35 days (0-177 days) with six patients developing during TRT. Pulmonary emphysema and lung V20 were demonstrated to be independent risk factors of symptomatic pneumonitis (OR: 5.67, 95% CI: 1.66-19.37, p = 0.006; OR: 3.49, 95% CI: 1.41-8.66, p = 0.007, respectively).

CONCLUSION

TRT after PD-(L)1 inhibitor treatment resulted in significantly increased incidence and severity of treatment-related pneumonitis in patients with lung cancer. Intensive attention should be emphasized to the safety of this sequential combination in clinical practice.

摘要

背景

肺癌患者接受程序性死亡受体 1/程序性死亡配体 1(PD-(L)1)抑制剂治疗后进行胸部放疗(TRT)的安全性鲜有报道。本回顾性研究旨在评估接受序贯联合治疗的肺癌患者发生症状性治疗相关肺炎的发生率、严重程度和危险因素。

方法

我们对 2018 年 1 月至 2020 年 8 月期间至少接受过两周期 PD-(L)1 抑制剂治疗后接受 TRT 的肺癌患者队列进行了回顾性研究。评估并分析治疗相关肺炎以说明这种序贯联合的安全性概况。通过单变量和多变量逻辑回归分析探讨潜在的危险因素。

结果

在 828 例先前接受 PD-(L)1 抑制剂治疗的患者中,纳入了 96 例接受后续 TRT 的患者进行分析。其中,49 例(51%)接受根治性 TRT,47 例(49%)接受姑息性 TRT。中位总剂量为 52Gy(IQR 50-60Gy)。从开始 PD-(L)1 抑制剂治疗到 TRT 的中位时间为 4.8 个月(1.6-14.1 个月),大多数患者(74%)接受了至少 4 个周期的 PD-(L)1 抑制剂治疗。在随访期间,47 例(48.96%)发生症状性治疗相关肺炎(2 级 n=28,3 级及以上 n=19),6 例(6.25%)发生致命毒性。TRT 完成后肺炎发病的中位时间为 35 天(0-177 天),其中 6 例在 TRT 期间发生。肺肺气肿和肺 V20 被证明是症状性肺炎的独立危险因素(OR:5.67,95%CI:1.66-19.37,p=0.006;OR:3.49,95%CI:1.41-8.66,p=0.007)。

结论

肺癌患者接受 PD-(L)1 抑制剂治疗后进行 TRT 会显著增加治疗相关肺炎的发生率和严重程度。在临床实践中应高度重视这种序贯联合的安全性。

https://cdn.ncbi.nlm.nih.gov/pmc/blobs/c25d/8633221/5627048dab13/CAM4-10-8518-g003.jpg

文献AI研究员

20分钟写一篇综述,助力文献阅读效率提升50倍。

立即体验

用中文搜PubMed

大模型驱动的PubMed中文搜索引擎

马上搜索

文档翻译

学术文献翻译模型,支持多种主流文档格式。

立即体验