Suppr超能文献

影响非小细胞肺癌活检与细胞学标本中PD-L1表达一致性的因素

Factors Influencing Concordance of PD-L1 Expression between Biopsies and Cytological Specimens in Non-Small Cell Lung Cancer.

作者信息

Mansour Mohammed S I, Hejny Kim, Johansson Felicia, Mufti Joudy, Vidis Ante, Mager Ulrich, Dejmek Annika, Seidal Tomas, Brunnström Hans

机构信息

Department of Pathology and Cytology, Halland Hospital Halmstad, SE-301 85 Halmstad, Sweden.

Division of Pathology, Department of Clinical Sciences Lund, Lund University, SE-221 00 Lund, Sweden.

出版信息

Diagnostics (Basel). 2021 Oct 18;11(10):1927. doi: 10.3390/diagnostics11101927.

Abstract

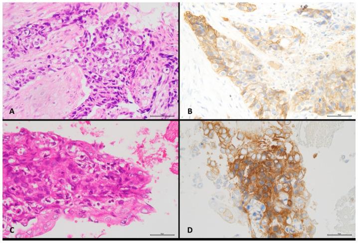
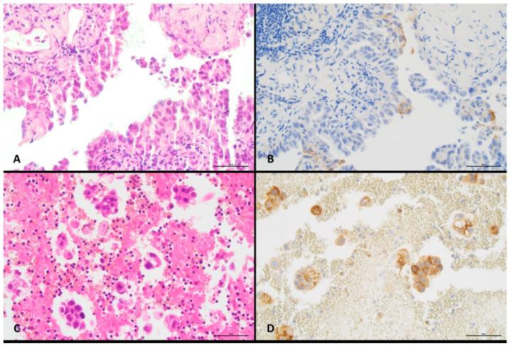
PD-L1 expression assessed by immunohistochemical staining is used for the selection of immunotherapy in non-small cell lung cancer (NSCLC). Appropriate validation of PD-L1 expression in cytology specimens is important as cytology is often the only diagnostic material in NSCLC. In a previous study comprising two different cohorts of paired biopsies and cytological specimens, we found a fairly good cyto-histological correlation of PD-L1 expression in one, whereas only a moderate correlation was found in the other cohort. Therefore, that cohort with additional new cases was now further investigated for the impact of preanalytical factors on PD-L1 concordance in paired biopsies and cytological specimens. A total of 100 formalin-fixed paraffin-embedded cell blocks from 19 pleural effusions (PE), 17 bronchial brushes (BB), and 64 bronchoalveolar lavage (BAL) and concurrent matched biopsies from 80 bronchial biopsies and 20 transthoracic core biopsies from NSCLC patients were stained using the PD-L1 28-8 assay. Using the cutoffs ≥1%, ≥5%, ≥10%, and ≥50% positive tumour cells, the overall agreement between histology and cytology was 77-85% ( 0.51-0.70) depending on the applied cutoff value. The concordance was better for BALs ( 0.53-0.81) and BBs ( 0.55-0.85) than for PEs ( -0.16-0.48), while no difference was seen for different types of biopsies or histological tumour type. A high number of tumour cells (>500) in biopsies was associated with better concordance at the ≥50% cutoff. In conclusion, the study results suggest that PEs may be less suitable for evaluation of PD-L1 due to limited cyto-histological concordance, while a high amount of tumour cells in biopsies may be favourable when regarding cyto-histological PD-L1 concordance.

摘要

通过免疫组织化学染色评估的PD-L1表达用于非小细胞肺癌(NSCLC)免疫治疗的选择。对细胞学标本中PD-L1表达进行适当验证很重要,因为细胞学检查往往是NSCLC唯一的诊断材料。在之前一项包含两个不同队列的配对活检和细胞学标本的研究中,我们发现其中一个队列中PD-L1表达具有相当好的细胞-组织学相关性,而在另一个队列中仅发现中等程度的相关性。因此,现在对该包含更多新病例的队列进一步研究分析前因素对配对活检和细胞学标本中PD-L1一致性的影响。使用PD-L1 28-8检测法对来自19例胸腔积液(PE)、17例支气管刷检(BB)和64例支气管肺泡灌洗(BAL)的100个福尔马林固定石蜡包埋细胞块以及来自NSCLC患者的80例支气管活检和20例经胸芯针活检的同期配对活检标本进行染色。使用阳性肿瘤细胞≥1%、≥5%、≥10%和≥50%的临界值,根据所应用的临界值,组织学和细胞学之间的总体一致性为77%-85%(κ值为0.51-0.70)。BAL(κ值为0.53-0.81)和BB(κ值为0.55-0.85)的一致性优于PE(κ值为-0.16-0.48),而不同类型的活检或组织学肿瘤类型之间未观察到差异。活检中大量肿瘤细胞(>500个)与≥50%临界值时更好的一致性相关。总之,研究结果表明,由于细胞-组织学一致性有限,PE可能不太适合评估PD-L1,而从细胞-组织学PD-L1一致性来看,活检中大量肿瘤细胞可能是有利的。

https://cdn.ncbi.nlm.nih.gov/pmc/blobs/662b/8534501/8665ddbd7c7c/diagnostics-11-01927-g001.jpg

文献AI研究员

20分钟写一篇综述,助力文献阅读效率提升50倍。

立即体验

用中文搜PubMed

大模型驱动的PubMed中文搜索引擎

马上搜索

文档翻译

学术文献翻译模型,支持多种主流文档格式。

立即体验