Suppr超能文献

联苯双酯在四种肝损伤动物模型中的抗氧化及保肝活性的比较分析

Comparative Analysis of the Antioxidative and Hepatoprotective Activities of Dimethyl Diphenyl Bicarboxylate in Four Animal Models of Hepatic Injury.

作者信息

Wang Jing-Hua, Hwang Seung-Ju, Son Chang-Gue

机构信息

Institute of Bioscience & Integrative Medicine, Daejeon University, 75, Daedeok-daero 176, Seo-gu, Daejeon 35235, Korea.

Liver and Immunology Research Center, Daejeon Korean Medicine Hospital, 75, Daedeok-daero 176, Seo-gu, Daejeon 35235, Korea.

出版信息

Antioxidants (Basel). 2021 Sep 23;10(10):1508. doi: 10.3390/antiox10101508.

Abstract

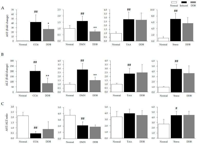
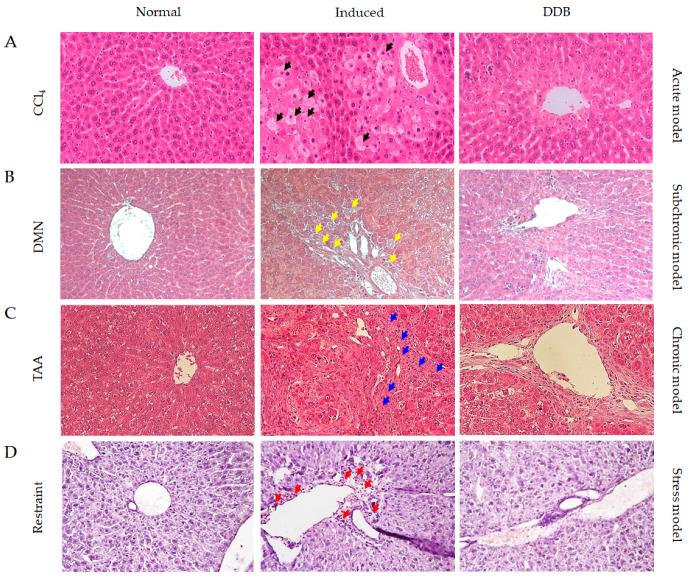
As a well-known hepatoprotective and antioxidant agent, dimethyl diphenyl bicarboxylate (DDB) has frequently been employed to remedy various liver diseases. However, it is still uncertain whether DDB exerts consistent hepatoprotective and antioxidative activities against varying degrees of hepatic damage. Therefore, DDB (100, 25, 5, or 50 mg/kg depending on the model) was administered to animals in four representative models of liver injury (CCl chemical acute model, DMN subchronic model, TAA chronic model, and restraint stress psychological acute model). Horizontal comparative analysis indicated that DDB significantly lowered the excess serum AST and ALT levels in the CCl and DMN models but not in the TAA and restraint stress models. In accordance with this result, DDB markedly reduced oxidative stress indices (hepatic MDA and ROS) but restored five main antioxidant components (GSH content, GSH-peroxidase, GSH-reductase, SOD, and catalase activity) in the CCl and DMN models. DDB failed to normalize oxidative stressors in the restraint stress-induced injury model and restore these five antioxidant components in the TAA model. Overall, our results produced a comprehensive overview of the effects of DDB on oxidative stressors and the main antioxidative components using four animal models. These findings will provide valuable clues to guide therapeutic clinical applications.

摘要

作为一种知名的保肝和抗氧化剂,联苯双酯(DDB)经常被用于治疗各种肝脏疾病。然而,DDB对不同程度的肝损伤是否具有一致的保肝和抗氧化活性仍不确定。因此,在四种代表性肝损伤模型(CCl化学急性模型、DMN亚慢性模型、TAA慢性模型和束缚应激心理急性模型)中,给动物施用DDB(根据模型不同,剂量分别为100、25、5或50mg/kg)。横向比较分析表明,DDB能显著降低CCl和DMN模型中血清AST和ALT的过高水平,但在TAA和束缚应激模型中则不能。与此结果一致,DDB在CCl和DMN模型中显著降低了氧化应激指标(肝脏MDA和ROS),但恢复了五种主要抗氧化成分(GSH含量、GSH-过氧化物酶、GSH-还原酶、SOD和过氧化氢酶活性)。在束缚应激诱导的损伤模型中,DDB未能使氧化应激因子恢复正常,在TAA模型中也未能恢复这五种抗氧化成分。总体而言,我们的研究结果全面概述了DDB在四种动物模型中对氧化应激因子和主要抗氧化成分的影响。这些发现将为指导临床治疗应用提供有价值的线索。

https://cdn.ncbi.nlm.nih.gov/pmc/blobs/c083/8533021/e5ed7b210642/antioxidants-10-01508-g001.jpg

文献检索

告别复杂PubMed语法,用中文像聊天一样搜索,搜遍4000万医学文献。AI智能推荐,让科研检索更轻松。

立即免费搜索

文件翻译

保留排版,准确专业,支持PDF/Word/PPT等文件格式,支持 12+语言互译。

免费翻译文档

深度研究

AI帮你快速写综述,25分钟生成高质量综述,智能提取关键信息,辅助科研写作。

立即免费体验