Silva Erick Ricardo, Balan Vitor Ferreira, Botticelli Daniele, Soldini Claudio, Okamoto Roberta, Xavier Samuel Porfirio
Department of Oral and Maxillofacial Surgery and Periodontology, Faculty of Dentistry of Ribeirão Preto, University of São Paulo, Ribeirão Preto 14040-904, Brazil.
Ariminum Research & Dental Education Center, 47923 Rimini, Italy.
Materials (Basel). 2021 Oct 13;14(20):6049. doi: 10.3390/ma14206049.
The volumetric and biological behaviors of equine block grafts compared with autogenous block grafts have not yet been assessed. Hence, the aim of the present study was to compare-by means of histomorphometry, immunohistochemistry and microtomography-the graft incorporation and remodeling processes of autogenous and equine xenogenous bone blocks used for mandibular lateral augmentation in rabbits.
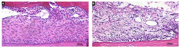
Autogenous bone grafts harvested from the iliac bony crest and equine block grafts were secured to the lateral aspect of the mandible angle of eighteen rabbits. The healing after 7, 20 and 60 days was assessed in six animals each period.
After 60 days, new bone was present 24.2 ± 11.2% and 31.6 ± 13.3% in the autograft and xenograft groups, respectively. A better integration to the recipient sites was observed in the autogenous compared with the xenogenous blocks.
Both xenogenous and autogenous bone blocks presented similar percentages of newly formed bone over time. However, bone volume, the quality of the grafted area and graft incorporation to the recipient sites were superior in the autogenous compared with the equine xenogenous graft sites.
与自体块状移植物相比,马源块状移植物的体积和生物学行为尚未得到评估。因此,本研究的目的是通过组织形态计量学、免疫组织化学和显微断层扫描,比较用于兔下颌骨外侧增高的自体和马源异种骨块的移植物整合和重塑过程。
从18只兔的髂嵴采集自体骨移植物,并将马源块状移植物固定于下颌角外侧。每个时间段对6只动物进行评估,分别观察术后7天、20天和60天的愈合情况。
60天后,自体移植物组和异种移植物组新骨分别占24.2±11.2%和31.6±13.3%。与异种骨块相比,自体骨块与受体部位的整合更好。
随着时间的推移,异种和自体骨块新形成骨的百分比相似。然而,与马源异种移植物部位相比,自体移植物部位的骨体积、移植区域质量和移植物与受体部位的整合情况更好。