Suppr超能文献

侵袭性鼻窦炎、脑脓肿伴局灶性脑炎三联征合并 COVID-19

A Unique Triad of Invasive Sinusitis, Brain Abscess with Focal Cerebritis, and COVID-19.

机构信息

Department of Hospital Medicine, Rhode Island Hospital, Providence, RI, USA.

Department of Hospital Medicine, Aurora Medical Center Bay Area, Marinette, WI, USA.

出版信息

Am J Case Rep. 2021 Oct 27;22:e933177. doi: 10.12659/AJCR.933177.

Abstract

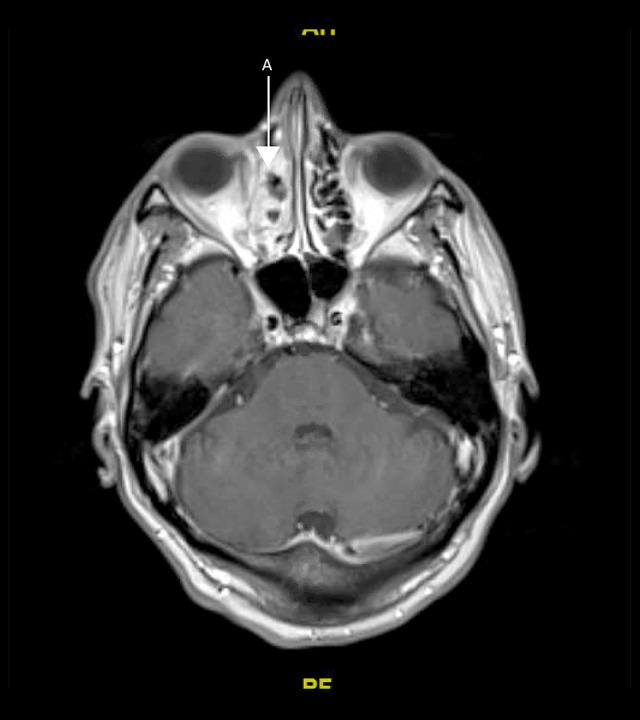
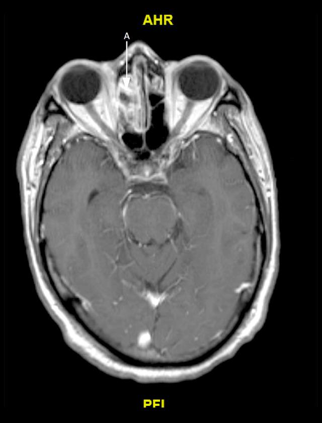
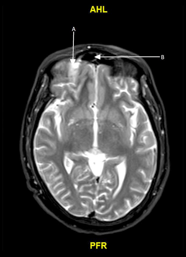
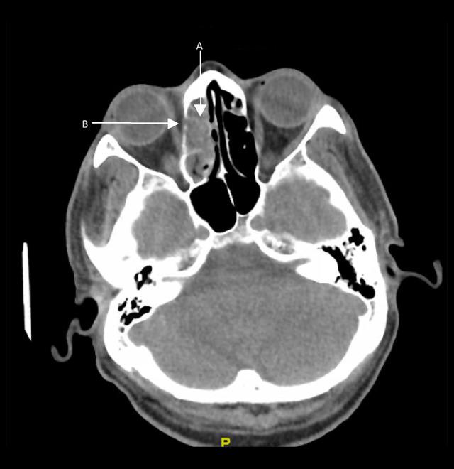
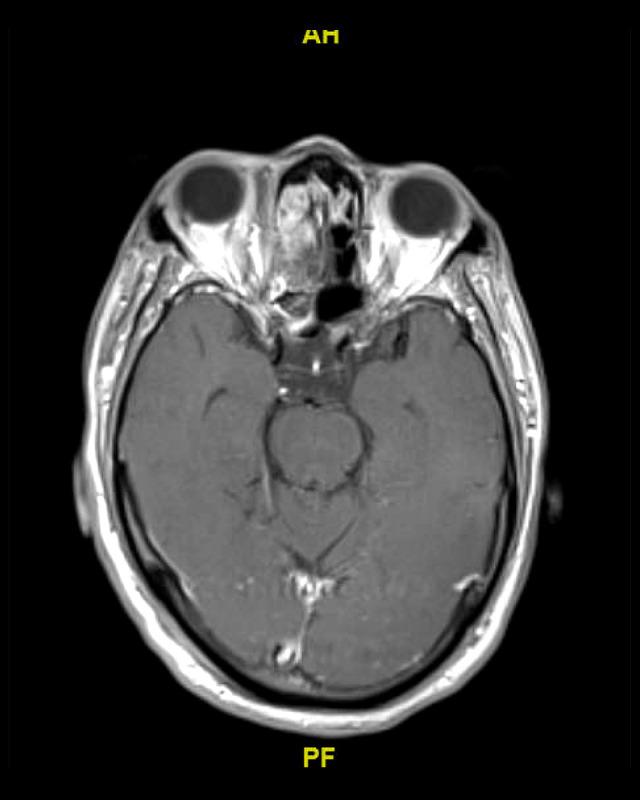
BACKGROUND We present a case of invasive sinusitis with rhinocerebral infection in a patient who had mild symptoms of COVID-19 infection and did not receive any immunosuppressive therapies. CASE REPORT A 49-year-old man with a history of uncontrolled diabetes presented to the hospital with multiple generalized tonic clonic seizures. He had recently been diagnosed with mild COVID-19 and was treated at home with supportive care only. He was found to have cerebritis in the right frontal lobe along with right fronto-ethmoid sinusitis. He underwent extensive testing with nasal endoscopy with gram stain and culture, cryptococcal studies, 1-3-Beta-D glucan, blood cultures, fungal CSF studies, Lyme disease, HIV, Fungitell assay, and galactomannan studies, which were all negative. He was started on i.v. antibacterial therapy with cefepime, vancomycin, and metronidazole along with amphotericin B. After 2 weeks, his repeat imaging revealed progression of cerebritis along with new early abscess. Given these findings, his antibiotics were changed to meropenem and the amphotericin B dose was increased. He was recommended debridement and sinus surgery but refused. During the course of treatment, he developed acute kidney injury and was switched to Posaconazole. Unfortunately, the patient decided to leave against medical advice 6 weeks into admission. He was advised to continue Posaconazole and levofloxacin but he could only afford levofloxacin. He was then recommended long-term levofloxacin. He has since recovered, with resolution of cerebritis noted in follow-up imaging 1 year later. CONCLUSIONS Our patient had mild COVID-19 infection and presented with secondary infective complications, which are usually associated with an immunocompromised state, despite receiving no immunosuppressives. It is imperative that all clinicians treating COVID-19 be watchful for fungal or bacterial co-infections in patients with active SARS-CoV-2 infection, even if the presenting symptoms are mild, particularly if other risk factors are present.

摘要

背景

我们报告了一例 COVID-19 感染轻症患者并发侵袭性鼻窦炎和鼻颅感染,该患者未接受任何免疫抑制治疗。

病例报告

一名 49 岁男性,有未控制的糖尿病病史,因多发性全面强直阵挛发作到医院就诊。他最近被诊断为轻度 COVID-19,仅在家接受支持治疗。他被发现右额叶脑炎症伴有右额窦-筛窦炎。他接受了广泛的检查,包括鼻内镜革兰氏染色和培养、隐球菌研究、1-3-β-D 葡聚糖、血培养、真菌性 CSF 研究、莱姆病、HIV、Fungitell 检测和半乳甘露聚糖研究,结果均为阴性。他开始接受头孢吡肟、万古霉素和甲硝唑联合两性霉素 B 的静脉抗菌治疗。2 周后,他的重复影像学检查显示脑炎症进展,并出现新的早期脓肿。鉴于这些发现,他的抗生素改为美罗培南,并增加两性霉素 B 的剂量。他被建议行清创术和鼻窦手术,但被拒绝。在治疗过程中,他发生急性肾损伤,改为伏立康唑。不幸的是,患者在入院 6 周后决定出院。他被建议继续服用伏立康唑和左氧氟沙星,但他只能负担得起左氧氟沙星。然后建议他长期服用左氧氟沙星。1 年后的随访影像学检查显示脑炎症已消退,他已康复。

结论

我们的患者患有轻度 COVID-19 感染,并出现继发感染并发症,尽管未接受免疫抑制治疗,但这些并发症通常与免疫功能低下有关。所有治疗 COVID-19 的临床医生都必须警惕活动性 SARS-CoV-2 感染患者的真菌感染或细菌合并感染,即使症状轻微,尤其是存在其他危险因素时。

https://cdn.ncbi.nlm.nih.gov/pmc/blobs/c7fd/8557857/5fcaeb18f28e/amjcaserep-22-e933177-g001.jpg

文献AI研究员

20分钟写一篇综述,助力文献阅读效率提升50倍。

立即体验

用中文搜PubMed

大模型驱动的PubMed中文搜索引擎

马上搜索

文档翻译

学术文献翻译模型,支持多种主流文档格式。

立即体验