Suppr超能文献

儿童腰大肌包虫囊肿:关于一例罕见部位的病例报告

Psoas Hydatid Cyst in Children: A Rare Localization about a Case.

作者信息

El Khassoui Amine, Aghoutane El Mouhtadi, Salama Tarik, El Fezzazi Redouane

机构信息

Traumatology and Orthopedic Pediatric Surgery Department, University Hospital of Marrakech, Marrakech, Morocco.

出版信息

Case Rep Pediatr. 2021 Nov 6;2021:1961509. doi: 10.1155/2021/1961509. eCollection 2021.

Abstract

INTRODUCTION

The development of hydatid cysts in the muscle is rare, and it is even rarer in children. We report the case of a 9-year-old child treated in pediatric orthopedics department at the University Hospital of Marrakech for a hydatid cyst psoas muscle revealed by lameness.

RESULT

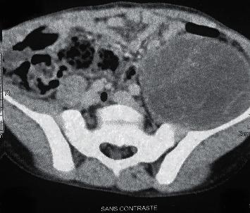
The child was consulted for painless and afebrile lameness of the left hip evolving since 3 months. The clinical examination finds a mass of the left flank. Investigations based on the abdominal ultrasound in first intention showed a hydatid cyst depending on the left psoas muscle. Pelvic CT and abdominal MRI were able to confirm the diagnosis and allowed a better study of the cyst neighboring elements. The drainage of the cyst followed by pericystectomy after evacuation of the vesicles contained in the cyst was done as radical treatment.

CONCLUSION

The hydatid cyst of the psoas is a rare entity in the child requiring a good radiological study of the cyst as well as its neighboring elements to propose the most adapted surgery.

摘要

引言

肌肉中包虫囊肿的发生较为罕见,在儿童中更为少见。我们报告一例9岁儿童的病例,该患儿因跛行在马拉喀什大学医院小儿骨科接受治疗,被诊断为腰大肌包虫囊肿。

结果

该患儿因左侧髋关节无痛性、无发热性跛行3个月前来就诊。临床检查发现左侧腰腹部有一肿块。初步的腹部超声检查显示一个依附于左侧腰大肌的包虫囊肿。盆腔CT和腹部MRI能够确诊,并有助于更好地研究囊肿周围的组织。在排空囊肿内的囊泡后,进行囊肿引流及囊肿切除术作为根治性治疗。

结论

儿童腰大肌包虫囊肿是一种罕见的疾病,需要对囊肿及其周围组织进行良好的影像学检查,以提出最适合的手术方案。

https://cdn.ncbi.nlm.nih.gov/pmc/blobs/b54f/8590589/2281399c32fc/CRIPE2021-1961509.001.jpg

相似文献

1
Psoas Hydatid Cyst in Children: A Rare Localization about a Case.
Case Rep Pediatr. 2021 Nov 6;2021:1961509. doi: 10.1155/2021/1961509. eCollection 2021.
3
Bilateral pulmonary hydatidosis associated with uncommon muscular localization.
Int J Surg Case Rep. 2020;76:130-133. doi: 10.1016/j.ijscr.2020.09.070. Epub 2020 Sep 16.
4
A case report of primary multiple hydatid cysts of psoas muscle: An exceptional location.
IDCases. 2022 Nov 1;30:e01637. doi: 10.1016/j.idcr.2022.e01637. eCollection 2022.
5
A rare primary hydatid cyst of the psoas muscle in a rural setting: A case presentation.
Ann Med Surg (Lond). 2020 Sep 9;59:86-88. doi: 10.1016/j.amsu.2020.09.002. eCollection 2020 Nov.
6
Two hydatid cysts in the psoas muscle of a 40-year-old female: A rare case report.
Int J Surg Case Rep. 2024 Aug;121:109985. doi: 10.1016/j.ijscr.2024.109985. Epub 2024 Jul 2.
7
Hydatid cyst of the psoas: case report and review of literature.
Ann Med Surg (Lond). 2023 Mar 9;85(3):424-426. doi: 10.1097/MS9.0000000000000087. eCollection 2023 Mar.
8
[Hydatid cyst of the psoas muscle].
Sante. 2007 Jul-Sep;17(3):177-9. doi: 10.1684/san.2007.0064.
10
[Hydatid cyst of the psoas muscle: about a case].
Pan Afr Med J. 2016 Aug 9;24:302. doi: 10.11604/pamj.2016.24.302.10098. eCollection 2016.

引用本文的文献

1
Primary Psoas Muscle Hydatid Cyst: A Case Report of a Rare Pathology.
Cureus. 2025 Jan 2;17(1):e76826. doi: 10.7759/cureus.76826. eCollection 2025 Jan.
2
Hydatid cyst of the psoas: case report and review of literature.
Ann Med Surg (Lond). 2023 Mar 9;85(3):424-426. doi: 10.1097/MS9.0000000000000087. eCollection 2023 Mar.
3
Primary Echinococcosis of ilio-psoas muscle.
IDCases. 2022 Mar 7;28:e01470. doi: 10.1016/j.idcr.2022.e01470. eCollection 2022.

本文引用的文献

1
[Enucleation of a hydatid cyst of the psoas muscle in a child].
Pan Afr Med J. 2019 Jan 3;32:3. doi: 10.11604/pamj.2019.32.3.14369. eCollection 2019.
3
Expert consensus for the diagnosis and treatment of cystic and alveolar echinococcosis in humans.
Acta Trop. 2010 Apr;114(1):1-16. doi: 10.1016/j.actatropica.2009.11.001. Epub 2009 Nov 30.
5
[Hydatid cysts in muscles: eleven cases].
Rev Chir Orthop Reparatrice Appar Mot. 2005 May;91(3):267-71. doi: 10.1016/s0035-1040(05)84313-2.
6
Primary hydatid cysts of psoas muscle.
ANZ J Surg. 2002 Jun;72(6):443-5. doi: 10.1046/j.1445-2197.2002.02420.x.
7
[Hydatid cyst of the psoas].
Ann Chir. 2001 Oct;126(8):820-1. doi: 10.1016/s0003-3944(01)00613-7.
8
Retroperitoneal localization of hydatid cyst disease.
Hepatogastroenterology. 2001 Jul-Aug;48(40):1037-9.
9
[Hydatid cyst of the psoas. Report of a case].
Ann Urol (Paris). 2001 Mar;35(2):108-10. doi: 10.1016/s0003-4401(01)00012-2.
10
[Muscle hydatidosis. 15 cases].
Presse Med. 2000 Jun 17;29(21):1166-9.

文献AI研究员

20分钟写一篇综述,助力文献阅读效率提升50倍。

立即体验

用中文搜PubMed

大模型驱动的PubMed中文搜索引擎

马上搜索

文档翻译

学术文献翻译模型,支持多种主流文档格式。

立即体验