Suppr超能文献

黑覆盆子可恢复致癌剂苯并[a,l]芘二醇环氧化物处理后的小鼠口腔中肿瘤抑制因子 p120ctn 的表达。

Black raspberry restores the expression of the tumor suppressor p120ctn in the oral cavity of mice treated with the carcinogen dibenzo[a,l]pyrene diol epoxide.

机构信息

Department of Pathology, College of Medicine, The Pennsylvania State University, Hershey, Pennsylvania, United States of America.

Penn State Cancer Institute, College of Medicine, The Pennsylvania State University, Hershey, Pennsylvania, United States of America.

出版信息

PLoS One. 2021 Nov 16;16(11):e0259998. doi: 10.1371/journal.pone.0259998. eCollection 2021.

Abstract

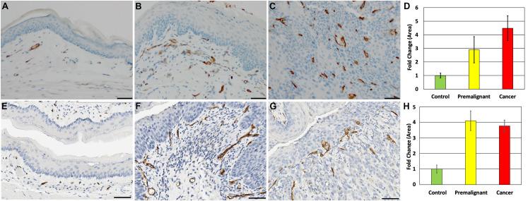
One of the major risk factors for head and neck squamous cell carcinoma (HNSCC) is tobacco smoke exposure, but the mechanisms that can account for disease development remain to be fully defined. Utilizing our HNSCC mouse model, we analyzed oral squamous cell carcinomas (OSCC) induced by the active metabolite of a common smoke constituent, dibenzo[a,l]pyrene diol-epoxide (DBPDE). Analyzing protein expression by either immunofluorescence or immunohistochemistry, we identified biologic processes that are dysregulated in premalignant and invasive cancer lesions induced by DBPDE. Interestingly, p120ctn expression is downregulated in both stages of the disease. In addition to decreased p120ctn expression, there was also increased proliferation (as measured by Ki67), inflammation (as measured by NFkB (p65) expression), neovascularization (as measured by CD31) and recruitment of Ly6G-positive immune cells as well as strong EGFR expression. We also examined the effect of the chemopreventive agent black raspberry (BRB) on p120ctn and EGFR protein expression in DBPDE treated mice. p120ctn, but not EGFR, protein expression increased in mice treated with BRB. Our results suggest that modulation of p120ctn may, in part, account for the mechanism by which BRB inhibits DBPDE induced OSCC in mice.

摘要

头颈部鳞状细胞癌(HNSCC)的一个主要危险因素是烟草烟雾暴露,但仍需充分定义可解释疾病发展的机制。利用我们的 HNSCC 小鼠模型,我们分析了由常见烟雾成分二苯并[a,l]芘二醇-环氧化物(DBPDE)的活性代谢物诱导的口腔鳞状细胞癌(OSCC)。通过免疫荧光或免疫组织化学分析蛋白质表达,我们确定了 DBPDE 诱导的癌前和侵袭性癌症病变中失调的生物学过程。有趣的是,p120ctn 的表达在两个疾病阶段均下调。除了 p120ctn 表达减少外,还观察到增殖增加(通过 Ki67 测量)、炎症(通过 NFkB(p65)表达测量)、新生血管形成(通过 CD31 测量)以及 Ly6G 阳性免疫细胞的募集以及强烈的 EGFR 表达。我们还研究了化学预防剂黑莓(BRB)对 DBPDE 处理的小鼠中 p120ctn 和 EGFR 蛋白表达的影响。用 BRB 处理的小鼠中 p120ctn,但不是 EGFR,蛋白表达增加。我们的结果表明,p120ctn 的调节可能部分解释了 BRB 抑制 DBPDE 诱导的小鼠 OSCC 的机制。

https://cdn.ncbi.nlm.nih.gov/pmc/blobs/9806/8594836/e75b988d59c0/pone.0259998.g001.jpg

文献AI研究员

20分钟写一篇综述,助力文献阅读效率提升50倍。

立即体验

用中文搜PubMed

大模型驱动的PubMed中文搜索引擎

马上搜索

文档翻译

学术文献翻译模型,支持多种主流文档格式。

立即体验