Suppr超能文献

脑白质病的不确定性:病例报告。

Uncertainty of leukoencephalopathies: a case report.

机构信息

Department of Neurological Sciences, University of Nebraska Medical Center, Omaha, NE, USA.

出版信息

J Med Case Rep. 2021 Nov 16;15(1):561. doi: 10.1186/s13256-021-03089-6.

Abstract

BACKGROUND

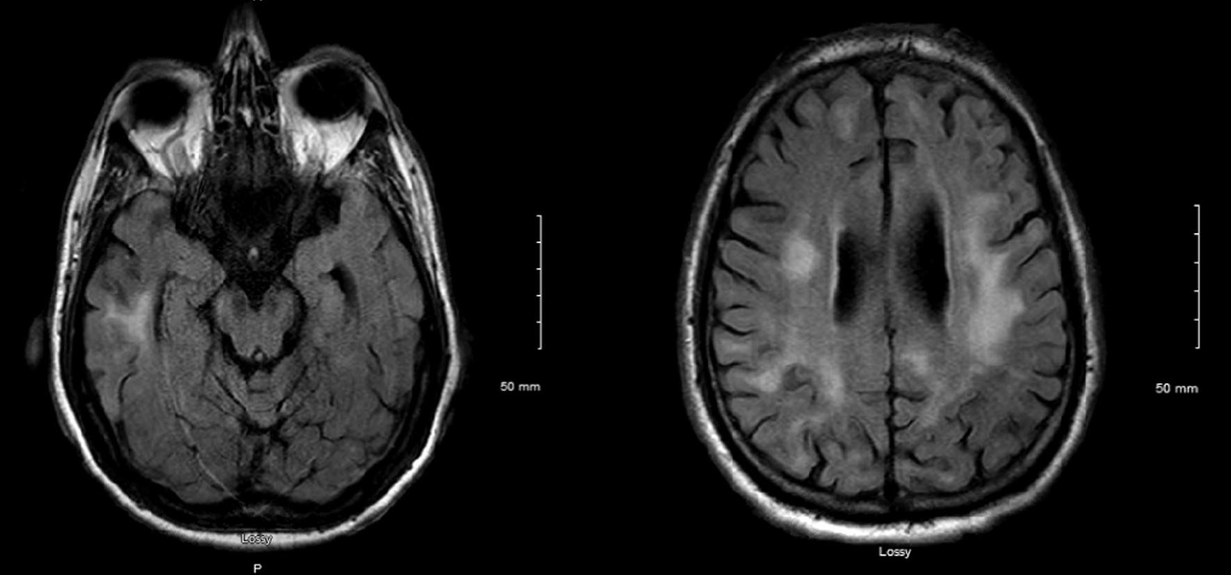
Adult-onset leukoencephalopathies are a group of heterogeneous disorders characterized by white matter abnormalities. Leukoencephalopathy is usually encountered in children, but here we report a case with adult-onset leukoencephalopathy. Also, we explore this concept of uncertainty in medicine by discussing the approach to this case that has multiple possible etiologies.

CASE PRESENTATION

A 70-year-old Caucasian male presented with a subacute onset of cognitive impairment and mood disturbances associated with behavioral changes. Neuroimaging demonstrated high-intensity lesions involving cerebral white matter. Progressive dementia and cognitive decline followed. Multiple possible etiologies are discussed based on the patient presentation and risk factors.

CONCLUSION

Adult-onset leukoencephalopathy can become a diagnostic challenge. Certain approaches need to be developed to explore the uncertainty of such conditions and to improve diagnostic yield.

摘要

背景

成人发病脑白质病是一组以白质异常为特征的异质性疾病。脑白质病通常发生在儿童中,但在这里我们报告了一例成人发病脑白质病。此外,我们通过讨论该病例的多种可能病因,探讨了医学中不确定性这一概念。

病例介绍

一名 70 岁的白人男性亚急性起病,表现为认知障碍和情绪障碍,伴有行为改变。神经影像学显示累及脑白质的高强度病变。随后出现进行性痴呆和认知能力下降。根据患者的表现和危险因素,讨论了多种可能的病因。

结论

成人发病脑白质病可能成为诊断挑战。需要制定某些方法来探索此类疾病的不确定性,并提高诊断效果。

https://cdn.ncbi.nlm.nih.gov/pmc/blobs/a4c2/8594209/03c35019e1bf/13256_2021_3089_Fig1_HTML.jpg

文献AI研究员

20分钟写一篇综述,助力文献阅读效率提升50倍。

立即体验

用中文搜PubMed

大模型驱动的PubMed中文搜索引擎

马上搜索

文档翻译

学术文献翻译模型,支持多种主流文档格式。

立即体验