Suppr超能文献

原发性肺肠型腺癌的诊断与治疗:6例报告

Diagnosis and treatment of primary pulmonary enteric adenocarcinoma: Report of Six cases.

作者信息

Tu Ling-Fang, Sheng Ling-Yan, Zhou Jian-Ying, Wang Xue-Fen, Wang Yue-Hong, Shen Qian, Shen Yi-Hong

机构信息

Department of Respiratory Medicine, The First Affiliated Hospital, Zhejiang University School of Medicine, Hangzhou 310003, Zhejiang Province, China.

出版信息

World J Clin Cases. 2021 Oct 26;9(30):9236-9243. doi: 10.12998/wjcc.v9.i30.9236.

Abstract

BACKGROUND

Primary pulmonary enteric adenocarcinoma (PEAC) is a very rare subtype of invasive adenocarcinoma, and there have been no large studies on PEAC to date. Therefore, it is necessary to obtain much more information about the clinical and pathological features, diagnosis, differential diagnosis, and treatment of PEAC.

CASE SUMMARY

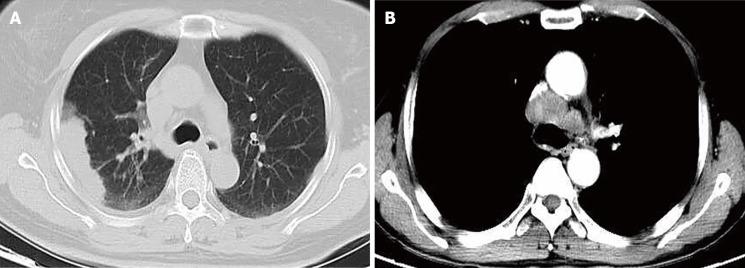
All clinical data of six patients with confirmed PEAC from 2013 to 2018 were collected, and data on diagnosis, differential diagnosis, and treatment of PEAC are discussed combined with all the associated literature. The mean age of six patients was 64.0 ± 5.6 (59-73) years old. Their clinical manifestations were heterogeneous, and during their disease course, there were no gastrointestinal symptoms. There was no evidence from colonoscopy or imaging studies to suggest digestive tract tumors or new metastases. The most commonly mutated gene was (50.0%), and the pathological features of the six cases were similar to those of colorectal cancer. CDX2 (83.3%) and CK7 (66.7%) had the highest positive rates upon immunohistochemical examination. In the associated literature, 252 cases were identified, and the most commonly mutated gene was (42.9%). Additionally, CDX2 (68.3%) and CK7 (85.8%) had the highest positive rates. Patients mainly received surgery, chemotherapy, and radiotherapy, immunotherapy was not included.

CONCLUSION

Positive results for CDX2 and CK7 play an important role in the diagnosis and differential diagnosis of PEAC, and immunotherapy or targeted therapy focused on needs to be further studied for the treatment of PEAC.

摘要

背景

原发性肺肠型腺癌(PEAC)是浸润性腺癌中一种非常罕见的亚型,迄今为止尚无关于PEAC的大型研究。因此,有必要获取更多关于PEAC的临床和病理特征、诊断、鉴别诊断及治疗的信息。

病例总结

收集了2013年至2018年6例确诊为PEAC患者的所有临床资料,并结合所有相关文献讨论了PEAC的诊断、鉴别诊断及治疗情况。6例患者的平均年龄为64.0±5.6(59 - 73)岁。他们的临床表现各异,在病程中均无胃肠道症状。结肠镜检查或影像学检查均未发现消化道肿瘤或新转移灶的证据。最常见的突变基因是 (50.0%),6例病例的病理特征与结直肠癌相似。免疫组化检查中,CDX2(83.3%)和CK7(66.7%)的阳性率最高。在相关文献中,共纳入252例病例,最常见的突变基因是 (42.9%)。此外,CDX2(68.3%)和CK7(85.8%)的阳性率最高。患者主要接受手术、化疗和放疗,未包括免疫治疗。

结论

CDX2和CK7阳性结果在PEAC的诊断和鉴别诊断中起重要作用,针对 的免疫治疗或靶向治疗在PEAC治疗中有待进一步研究。

https://cdn.ncbi.nlm.nih.gov/pmc/blobs/1756/8567515/0a2ef3a40e18/WJCC-9-9236-g001.jpg

文献AI研究员

20分钟写一篇综述,助力文献阅读效率提升50倍。

立即体验

用中文搜PubMed

大模型驱动的PubMed中文搜索引擎

马上搜索

文档翻译

学术文献翻译模型,支持多种主流文档格式。

立即体验