Suppr超能文献

病例报告:妊娠相关肺肠型腺癌对放化疗的病理完全缓解

Case report: Pathological complete response of pregnancy associated pulmonary enteric adenocarcinoma to chemoradiotherapy.

作者信息

Nemoto Yukiko, Kuroda Koji, Oyama Rintaro, Mori Masataka, Shimajiri Shohei, Tanaka Fumihiro

机构信息

Second Department of Surgery (Chest Surgery), School of Medicine, University of Occupational and Environmental Health, Kitakyushu, Fukuoka, Japan.

Department of Pathology and Cell Biology, School of Medicine, University of Occupational and Environmental Health, Kitakyushu, Fukuoka, Japan.

出版信息

Front Oncol. 2024 Feb 23;14:1290757. doi: 10.3389/fonc.2024.1290757. eCollection 2024.

Abstract

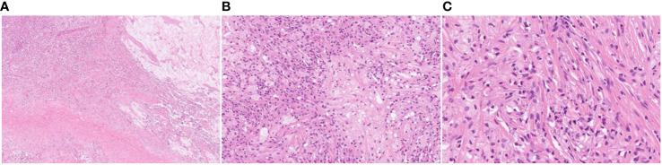
Pulmonary enteric adenocarcinoma (PEAC) is a rare lung adenocarcinoma with morphological features similar to those of primary and metastatic colorectal adenocarcinoma. To date, only a few studies have reported the therapeutic effects of chemoradiotherapy on PEAC. This report describes the case of a 28-year-old woman with pregnancy-related PEAC who presented with left shoulder pain. A superior sulcus tumor was identified in the left thoracic cavity, and the biopsy indicated more than 50% intestinal differentiation components. Moreover, immunohistochemical staining revealed positive CDX2 and CK7 expression. Positron emission tomography-computed tomography, upper endoscopy, colonoscopy, and small intestinal capsule endoscopy revealed no gastrointestinal malignancies. The patient was diagnosed with locally advanced PEAC (clinical stage T4N0M0; stage IIIA). Therefore, the patient was treated with preoperative chemoradiotherapy and underwent gross total resection during surgery. Pathological evaluation of the specimen revealed no residual tumor, indicating that the chemoradiotherapy for PEAC was highly effective. One subsequent brain metastasis was also resected, and the patient has not experienced recurrence in 28 months since this resection and continues to be monitored regularly. This is the first pathologically confirmed report of the use of chemoradiotherapy (carboplatin [CBDCA] and paclitaxel [PTX]) for PEAC and its clinical efficacy. Unlike previous reports, the efficacy of this treatment is attributed to the use of PTX in preoperative chemotherapy and the p21- status of the patient, which may have increased sensitivity to chemoradiation therapy. Therefore, chemoradiotherapy (CBDCA + PTX) may be a viable treatment option for advanced intestinal lung adenocarcinoma.

摘要

肺肠型腺癌(PEAC)是一种罕见的肺腺癌,其形态学特征与原发性和转移性结直肠癌相似。迄今为止,仅有少数研究报道了放化疗对PEAC的治疗效果。本报告描述了一名28岁患有妊娠相关PEAC并伴有左肩疼痛的女性病例。在左胸腔发现了一个肺上沟瘤,活检显示肠化生成分超过50%。此外,免疫组化染色显示CDX2和CK7表达阳性。正电子发射断层扫描-计算机断层扫描、上消化道内镜检查、结肠镜检查和小肠胶囊内镜检查均未发现胃肠道恶性肿瘤。该患者被诊断为局部晚期PEAC(临床分期T4N0M0;ⅢA期)。因此,患者接受了术前放化疗,并在手术中进行了根治性切除。标本的病理评估显示无残留肿瘤,表明PEAC的放化疗非常有效。随后还切除了一处脑转移瘤,自切除后28个月患者未出现复发,目前仍在定期监测中。这是首例经病理证实的关于放化疗(卡铂[CBDCA]和紫杉醇[PTX])治疗PEAC及其临床疗效的报告。与以往报告不同的是,该治疗的疗效归因于术前化疗中使用了PTX以及患者的p21状态,这可能增加了对放化疗的敏感性。因此,放化疗(CBDCA + PTX)可能是晚期肠型肺腺癌的一种可行治疗选择。

https://cdn.ncbi.nlm.nih.gov/pmc/blobs/5faf/10924307/c5993e4d822c/fonc-14-1290757-g001.jpg

文献AI研究员

20分钟写一篇综述,助力文献阅读效率提升50倍。

立即体验

用中文搜PubMed

大模型驱动的PubMed中文搜索引擎

马上搜索

文档翻译

学术文献翻译模型,支持多种主流文档格式。

立即体验