ZBS5-Biosafety Level-4 Laboratory, Robert Koch-Institute, Berlin, Germany.
Institute of Neuropathology, University Medical Center Hamburg-Eppendorf, Hamburg, Germany.
Emerg Microbes Infect. 2021 Dec;10(1):2313-2325. doi: 10.1080/22221751.2021.2008773.
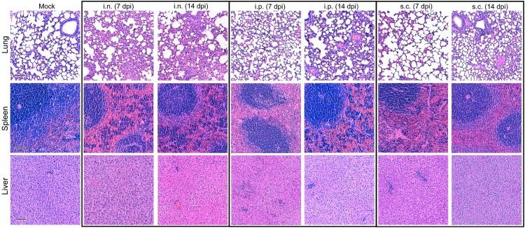
Lassa virus (LASV), a Risk Group-4 zoonotic haemorrhagic fever virus, affects sub-Saharan African countries. Lassa fever, caused by LASV, results in thousands of annual deaths. Although decades have elapsed since the identification of the Natal multimammate mouse () as a natural reservoir of LASV, little effort has been made to characterize LASV infection in its reservoir. The natural route of infection and transmission of LASV within remains unknown, and the clinical impact of LASV in is mostly undescribed. Herein, using an outbred colony of , we investigate the replication and dissemination dynamics of LASV in this reservoir following various inoculation routes. Inoculation with LASV, regardless of route, resulted in a systemic infection and accumulation of abundant LASV-RNA in many tissues. LASV infection in the Natal multimammate mice was subclinical, however, clinical chemistry values were transiently altered and immune infiltrates were observed histologically in lungs, spleens and livers, indicating a minor disease with coordinated immune responses are elicited, controlling infection. Intranasal infection resulted in unique virus tissue dissemination dynamics and heightened LASV shedding, compared to subcutaneous inoculation. Our study provides important insights into LASV infection in its natural reservoir using a contemporary infection system, demonstrating that specific inoculation routes result in disparate dissemination outcomes, suggesting intranasal inoculation is important in the maintenance of LASV in the natural reservoir, and emphasizes that selection of the appropriate inoculation route is necessary to examine aspects of viral replication, transmission and responses to zoonotic viruses in their natural reservoirs.
拉萨病毒(LASV)是一种属于 4 级风险的人畜共患出血热病毒,影响撒哈拉以南的非洲国家。由 LASV 引起的拉沙热每年导致数千人死亡。尽管自确定纳塔尔多齿鼠()为 LASV 的自然宿主以来已经过去了几十年,但几乎没有努力对其宿主中的 LASV 感染进行特征描述。LASV 在中的自然感染途径和传播仍然未知,并且 LASV 在中的临床影响也大多未被描述。在此,我们使用一种杂交的多齿鼠群体,研究了 LASV 在该宿主中的各种接种途径下的复制和传播动态。无论接种途径如何,LASV 的接种都会导致全身性感染,并在许多组织中积累丰富的 LASV-RNA。然而,LASV 感染在纳塔尔多齿鼠中是亚临床的,但是临床化学值会短暂改变,并且在肺部、脾脏和肝脏中观察到免疫浸润,表明存在轻微的疾病,伴随着协调的免疫反应,从而控制感染。与皮下接种相比,鼻腔内感染会导致独特的病毒组织传播动态和 LASV 脱落增加。我们的研究使用当代感染系统为 LASV 在其自然宿主中的感染提供了重要的见解,表明特定的接种途径会导致不同的传播结果,这表明鼻腔内接种对于 LASV 在自然宿主中的维持很重要,并且强调选择适当的接种途径对于研究自然宿主中病毒复制、传播和对人畜共患病毒的反应的各个方面是必要的。