• 文献检索
  • 文档翻译
  • 深度研究
  • 学术资讯
  • Suppr Zotero 插件Zotero 插件
  • 邀请有礼
  • 套餐&价格
  • 历史记录
应用&插件
Suppr Zotero 插件Zotero 插件浏览器插件Mac 客户端Windows 客户端微信小程序
定价
高级版会员购买积分包购买API积分包
服务
文献检索文档翻译深度研究API 文档MCP 服务
关于我们
关于 Suppr公司介绍联系我们用户协议隐私条款
关注我们

Suppr 超能文献

核心技术专利:CN118964589B侵权必究
粤ICP备2023148730 号-1Suppr @ 2026

文献检索

告别复杂PubMed语法,用中文像聊天一样搜索,搜遍4000万医学文献。AI智能推荐,让科研检索更轻松。

立即免费搜索

文件翻译

保留排版,准确专业,支持PDF/Word/PPT等文件格式,支持 12+语言互译。

免费翻译文档

深度研究

AI帮你快速写综述,25分钟生成高质量综述,智能提取关键信息,辅助科研写作。

立即免费体验

miR33a-5p/Ets-1/DKK1 信号通路促进 ox-LDL 诱导的 HUVECs 血管生成作用

The pro-angiogenesis effect of miR33a-5p/Ets-1/DKK1 signaling in ox-LDL induced HUVECs.

机构信息

The Key Laboratory of Cardiovascular Remodeling and Function Research, Chinese Ministry of Education, Chinese National Health Commission and Chinese Academy of Medical Sciences, The State and Shandong Province Joint Key Laboratory of Translational Cardiovascular Medicine, Department of Cardiology, Qilu Hospital of Shandong University, Jinan, China.

Department of Gerontology, The First Affiliated Hospital of Shandong First Medical University & Shandong Provincial Qianfoshan Hospital.

出版信息

Int J Biol Sci. 2021 Oct 3;17(15):4122-4139. doi: 10.7150/ijbs.60302. eCollection 2021.

DOI:10.7150/ijbs.60302
PMID:34803487
原文链接:https://pmc.ncbi.nlm.nih.gov/articles/PMC8579465/
Abstract

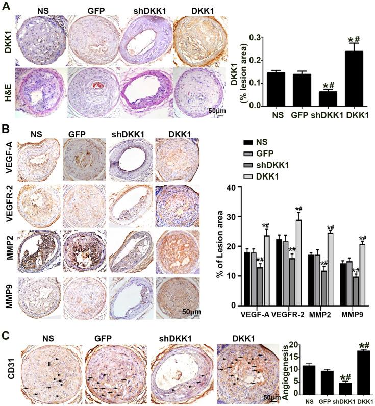
Angiogenesis is involved in multiple biological processes, including atherosclerosis (AS) and cancer. Dickkopf1 (DKK1) plays many roles in both tumors and AS and has emerged as a potential biomarker of cancer progression and prognosis. Targeting DKK1 is a good choice for oncological treatments. Many anticancer therapies are associated with specific cardiovascular toxicity. However, the effects of DKK1 neutralizing therapy on AS are unclear. We focused on how DKK1 affected angiogenesis in AS and ox-LDL-induced human umbilical vein endothelial cells (HUVECs). ApoE-/- mice were fed a high-fat diet and then injected with DKK1i or DKK1 lentivirus to study the effects of DKK1. , promoter assays, protein analysis, database mining, dual-luciferase reporter assay (DLR), electrophoretic mobility shift assay (EMSA), chromatin immunoprecipitation (ChIP), and coimmunoprecipitation (co-IP) were used to study the mechanism of DKK1 biogenesis. Cell migration and angiogenesis assays were performed to investigate the function and regulatory mechanisms of DKK1. DKK1 participated in angiogenesis both in the plaques of ApoE-/- mice by knockdown or overexpression of DKK1 and ox-LDL-induced HUVECs. DKK1 induced angiogenesis (increasing migration and capillary formation, inducing expression of VEGFR-2/VEGF-A/MMP) via the CKAP4/PI3K pathway, independent of Wnt/β-catenin. ox-LDL increased the expression and nuclear transfer of Ets-1 and c-jun, and induced the transcriptional activity of DKK1 in HUVECs. Ets-1, along with c-jun and CBP, could bind to the promoter of DKK1 and enhance DKK1 transcription. MiR33a-5p was downregulated in ox-LDL induced HUVECs and aortic artery of high-fat diet ApoE-/- mice. Ets-1 was a direct target of miR33a-5p. MiR33a-5p/Ets-1/ DKK1 axis contributed to angiogenesis. MiR33a-5p/Ets-1/DKK1 signaling participated in ox-LDL-induced angiogenesis of HUVECs via the CKAP4/PI3K pathway. These new findings provide a rationale and notable method for tumor therapy and cardiovascular protection.

摘要

血管生成参与多种生物学过程,包括动脉粥样硬化(AS)和癌症。Dickkopf1(DKK1)在肿瘤和 AS 中都发挥着多种作用,并且已成为癌症进展和预后的潜在生物标志物。靶向 DKK1 是肿瘤治疗的一个不错选择。许多抗癌疗法都与特定的心血管毒性有关。然而,DKK1 中和治疗对 AS 的影响尚不清楚。我们专注于 DKK1 如何影响 AS 和氧化低密度脂蛋白(ox-LDL)诱导的人脐静脉内皮细胞(HUVEC)中的血管生成。载脂蛋白 E 基因敲除(ApoE-/-)小鼠喂食高脂肪饮食,然后注射 DKK1i 或 DKK1 慢病毒,以研究 DKK1 的作用。进行了启动子分析、蛋白质分析、数据库挖掘、双荧光素酶报告基因检测(DLR)、电泳迁移率变动分析(EMSA)、染色质免疫沉淀(ChIP)和共免疫沉淀(co-IP)实验,以研究 DKK1 生物发生的机制。进行了细胞迁移和血管生成实验,以研究 DKK1 的功能和调控机制。通过 DKK1 的敲低或过表达,DKK1 参与了 ApoE-/- 小鼠斑块中的血管生成,以及 ox-LDL 诱导的 HUVEC 中的血管生成。DKK1 通过 CKAP4/PI3K 通路诱导血管生成(增加迁移和毛细血管形成,诱导 VEGFR-2/VEGF-A/MMP 的表达),而不依赖于 Wnt/β-catenin。ox-LDL 增加了 Ets-1 和 c-jun 的表达和核转移,并在 HUVEC 中诱导 DKK1 的转录活性。Ets-1 与 c-jun 和 CBP 一起可以结合 DKK1 的启动子并增强 DKK1 的转录。miR33a-5p 在 ox-LDL 诱导的 HUVECs 和高脂肪饮食 ApoE-/- 小鼠的主动脉中表达下调。Ets-1 是 miR33a-5p 的直接靶标。miR33a-5p/Ets-1/ DKK1 轴参与了血管生成。miR33a-5p/Ets-1/ DKK1 信号通过 CKAP4/PI3K 通路参与 ox-LDL 诱导的 HUVEC 血管生成。这些新发现为肿瘤治疗和心血管保护提供了合理的依据和显著的方法。

https://cdn.ncbi.nlm.nih.gov/pmc/blobs/bb81/8579465/ab45bd7e02df/ijbsv17p4122g007.jpg
https://cdn.ncbi.nlm.nih.gov/pmc/blobs/bb81/8579465/520b526b3b42/ijbsv17p4122g001.jpg
https://cdn.ncbi.nlm.nih.gov/pmc/blobs/bb81/8579465/3d3e1994de8f/ijbsv17p4122g002.jpg
https://cdn.ncbi.nlm.nih.gov/pmc/blobs/bb81/8579465/44fdfbdee6df/ijbsv17p4122g003.jpg
https://cdn.ncbi.nlm.nih.gov/pmc/blobs/bb81/8579465/3b6f46a85d1c/ijbsv17p4122g004.jpg
https://cdn.ncbi.nlm.nih.gov/pmc/blobs/bb81/8579465/8afdc8b18002/ijbsv17p4122g005.jpg
https://cdn.ncbi.nlm.nih.gov/pmc/blobs/bb81/8579465/80578b3bc1ca/ijbsv17p4122g006.jpg
https://cdn.ncbi.nlm.nih.gov/pmc/blobs/bb81/8579465/ab45bd7e02df/ijbsv17p4122g007.jpg
https://cdn.ncbi.nlm.nih.gov/pmc/blobs/bb81/8579465/520b526b3b42/ijbsv17p4122g001.jpg
https://cdn.ncbi.nlm.nih.gov/pmc/blobs/bb81/8579465/3d3e1994de8f/ijbsv17p4122g002.jpg
https://cdn.ncbi.nlm.nih.gov/pmc/blobs/bb81/8579465/44fdfbdee6df/ijbsv17p4122g003.jpg
https://cdn.ncbi.nlm.nih.gov/pmc/blobs/bb81/8579465/3b6f46a85d1c/ijbsv17p4122g004.jpg
https://cdn.ncbi.nlm.nih.gov/pmc/blobs/bb81/8579465/8afdc8b18002/ijbsv17p4122g005.jpg
https://cdn.ncbi.nlm.nih.gov/pmc/blobs/bb81/8579465/80578b3bc1ca/ijbsv17p4122g006.jpg
https://cdn.ncbi.nlm.nih.gov/pmc/blobs/bb81/8579465/ab45bd7e02df/ijbsv17p4122g007.jpg

相似文献

1
The pro-angiogenesis effect of miR33a-5p/Ets-1/DKK1 signaling in ox-LDL induced HUVECs.miR33a-5p/Ets-1/DKK1 信号通路促进 ox-LDL 诱导的 HUVECs 血管生成作用
Int J Biol Sci. 2021 Oct 3;17(15):4122-4139. doi: 10.7150/ijbs.60302. eCollection 2021.
2
Exosomes-Mediated LncRNA ZEB1-AS1 Facilitates Cell Injuries by miR-590-5p/ETS1 Axis Through the TGF-β/Smad Pathway in Oxidized Low-density Lipoprotein-induced Human Umbilical Vein Endothelial Cells.外泌体介导的长链非编码 RNA ZEB1-AS1 通过 TGF-β/Smad 通路促进氧化型低密度脂蛋白诱导的人脐静脉内皮细胞损伤的 miR-590-5p/ETS1 轴。
J Cardiovasc Pharmacol. 2021 Apr 1;77(4):480-490. doi: 10.1097/FJC.0000000000000974.
3
Dickkopf1 destabilizes atherosclerotic plaques and promotes plaque formation by inducing apoptosis of endothelial cells through activation of ER stress.Dickkopf1 通过激活内质网应激诱导内皮细胞凋亡来破坏动脉粥样硬化斑块并促进斑块形成。
Cell Death Dis. 2017 Jul 13;8(7):e2917. doi: 10.1038/cddis.2017.277.
4
lncRNA ZFAS1 promotes ox-LDL induced EndMT through miR-150-5p/Notch3 signaling axis.长链非编码 RNA ZFAS1 通过 miR-150-5p/Notch3 信号轴促进 ox-LDL 诱导的 EndMT。
Microvasc Res. 2021 Mar;134:104118. doi: 10.1016/j.mvr.2020.104118. Epub 2020 Dec 2.
5
LncRNA SNHG12 regulates ox-LDL-induced endothelial cell injury by the miR-218-5p/IGF2 axis in atherosclerosis.长链非编码 RNA SNHG12 通过 miR-218-5p/IGF2 轴调控 ox-LDL 诱导的动脉粥样硬化内皮细胞损伤。
Cell Cycle. 2021 Aug;20(16):1561-1577. doi: 10.1080/15384101.2021.1953755. Epub 2021 Jul 27.
6
LncRNA MALAT1 modulates ox-LDL induced EndMT through the Wnt/β-catenin signaling pathway.长链非编码 RNA MALAT1 通过 Wnt/β-连环蛋白信号通路调节 ox-LDL 诱导的 EndMT。
Lipids Health Dis. 2019 Mar 14;18(1):62. doi: 10.1186/s12944-019-1006-7.
7
LncRNA MIR4697HG Alleviates Endothelial Cell Injury and Atherosclerosis Progression in Mice via the FUS/ANXA5 Axis.长链非编码 RNA MIR4697HG 通过 FUS/ANXA5 轴减轻小鼠内皮细胞损伤和动脉粥样硬化进展。
Biochem Genet. 2024 Aug;62(4):3155-3173. doi: 10.1007/s10528-023-10542-2. Epub 2023 Dec 11.
8
Knockdown of NEAT1 mitigates ox-LDL-induced injury in human umbilical vein endothelial cells via miR-30c-5p/TCF7 axis.敲低 NEAT1 通过 miR-30c-5p/TCF7 轴减轻 ox-LDL 诱导的人脐静脉内皮细胞损伤。
Eur Rev Med Pharmacol Sci. 2020 Sep;24(18):9633-9644. doi: 10.26355/eurrev_202009_23052.
9
Hsa_circ_0004831 downregulation is partially responsible for atorvastatinalleviated human umbilical vein endothelial cell injuries induced by ox-LDL through targeting the miR-182-5p/CXCL12 axis.Hsa_circ_0004831 的下调部分负责通过靶向 miR-182-5p/CXCL12 轴缓解 ox-LDL 诱导的人脐静脉内皮细胞损伤。
BMC Cardiovasc Disord. 2021 May 1;21(1):221. doi: 10.1186/s12872-021-01998-4.
10
Circ_0004104 knockdown alleviates oxidized low-density lipoprotein-induced dysfunction in vascular endothelial cells through targeting miR-328-3p/TRIM14 axis in atherosclerosis.Circ_0004104 敲低通过靶向 miR-328-3p/TRIM14 轴减轻动脉粥样硬化中氧化型低密度脂蛋白诱导的血管内皮细胞功能障碍。
BMC Cardiovasc Disord. 2021 Apr 23;21(1):207. doi: 10.1186/s12872-021-02012-7.

引用本文的文献

1
Curdione protects vascular endothelial cells and atherosclerosis via the regulation of DNMT1-mediated ERBB4 promoter methylation.莪术二酮通过调控DNA甲基转移酶1介导的ERBB4启动子甲基化来保护血管内皮细胞和预防动脉粥样硬化。
Open Med (Wars). 2025 Jul 14;20(1):20251223. doi: 10.1515/med-2025-1223. eCollection 2025.
2
Zedoarondiol Inhibits Neovascularization in Atherosclerotic Plaques of ApoE Mice by Reducing Platelet Exosomes-Derived MiR-let-7a.莪术二醇通过减少血小板外泌体衍生的miR-let-7a抑制载脂蛋白E基因敲除小鼠动脉粥样硬化斑块中的新生血管形成。
Chin J Integr Med. 2025 Mar;31(3):228-239. doi: 10.1007/s11655-024-4003-2. Epub 2024 Dec 6.
3

本文引用的文献

1
Cardiovascular toxicity of angiogenesis inhibitors and immune checkpoint inhibitors: synergistic anti-tumour effects at the cost of increased cardiovascular risk?血管生成抑制剂和免疫检查点抑制剂的心血管毒性:协同抗肿瘤作用是否以增加心血管风险为代价?
Clin Sci (Lond). 2021 Jul 30;135(14):1649-1668. doi: 10.1042/CS20200300.
2
mDKN-01, a Novel Anti-DKK1 mAb, Enhances Innate Immune Responses in the Tumor Microenvironment.mDKN-01,一种新型的抗 DKK1 mAb,增强了肿瘤微环境中的固有免疫反应。
Mol Cancer Res. 2021 Apr;19(4):717-725. doi: 10.1158/1541-7786.MCR-20-0799. Epub 2020 Dec 22.
3
Phase I and Biomarker Study of the Wnt Pathway Modulator DKN-01 in Combination with Gemcitabine/Cisplatin in Advanced Biliary Tract Cancer.
ETS1 Expression in Diabetic Foot Ulcers: Implications for Fibroblast Phenotype and Wound Healing Through the PP2A/YAP Pathway.
ETS1在糖尿病足溃疡中的表达:通过PP2A/YAP途径对成纤维细胞表型和伤口愈合的影响
J Inflamm Res. 2024 Oct 16;17:7373-7388. doi: 10.2147/JIR.S477470. eCollection 2024.
4
Identification of a novel immune infiltration-related gene signature, , for coronary artery disease.鉴定出一个新的与免疫浸润相关的基因特征 , 用于冠状动脉疾病。
PeerJ. 2024 Sep 25;12:e18135. doi: 10.7717/peerj.18135. eCollection 2024.
5
MicroRNA miR-188-5p enhances SUMO2/3 conjugation by targeting SENP3 and alleviates focal cerebral ischemia/reperfusion injury in rats.微小RNA miR-188-5p通过靶向SENP3增强SUMO2/3缀合,并减轻大鼠局灶性脑缺血/再灌注损伤。
Iran J Basic Med Sci. 2024;27(10):1260-1267. doi: 10.22038/ijbms.2024.76165.16485.
6
METTL3 promotes immature dental pulp stem cells-induced angiogenesis by regulating ETS1 mRNA stability in an mA-HuR-dependent manner.METTL3通过以mA-HuR依赖的方式调节ETS1 mRNA稳定性来促进未成熟牙髓干细胞诱导的血管生成。
Odontology. 2025 Jan;113(1):305-317. doi: 10.1007/s10266-024-00977-3. Epub 2024 Jul 5.
7
Ang-1 and VEGF: central regulators of angiogenesis.血管生成素-1与血管内皮生长因子:血管生成的核心调节因子
Mol Cell Biochem. 2025 Feb;480(2):621-637. doi: 10.1007/s11010-024-05010-3. Epub 2024 Apr 23.
8
Nanomedicine for Diagnosis and Treatment of Atherosclerosis.纳米医学用于动脉粥样硬化的诊断和治疗。
Adv Sci (Weinh). 2023 Dec;10(36):e2304294. doi: 10.1002/advs.202304294. Epub 2023 Oct 28.
9
Noncoding RNAs in atherosclerosis: regulation and therapeutic potential.非编码 RNA 在动脉粥样硬化中的作用:调控与治疗潜能。
Mol Cell Biochem. 2024 May;479(5):1279-1295. doi: 10.1007/s11010-023-04794-0. Epub 2023 Jul 7.
10
Identification of a Novel Angiogenesis Signalling circSCRG1/miR-1268b/NR4A1 Pathway in Atherosclerosis and the Regulatory Effects of TMP-PF In Vitro.一种新型血管生成信号circSCRG1/miR-1268b/NR4A1通路在动脉粥样硬化中的鉴定及TMP-PF的体外调节作用
Molecules. 2023 Jan 28;28(3):1271. doi: 10.3390/molecules28031271.
Wnt信号通路调节剂DKN-01联合吉西他滨/顺铂治疗晚期胆管癌的I期及生物标志物研究
Clin Cancer Res. 2020 Dec 1;26(23):6158-6167. doi: 10.1158/1078-0432.CCR-20-1310. Epub 2020 Sep 2.
4
The anti-DKK1 antibody DKN-01 as an immunomodulatory combination partner for the treatment of cancer.抗 DKK1 抗体 DKN-01 作为一种免疫调节联合治疗伙伴用于癌症治疗。
Expert Opin Investig Drugs. 2020 Jul;29(7):639-644. doi: 10.1080/13543784.2020.1769065. Epub 2020 May 25.
5
Dysregulated Sp1/miR-130b-3p/HOXA5 axis contributes to tumor angiogenesis and progression of hepatocellular carcinoma.失调的 Sp1/miR-130b-3p/HOXA5 轴促进肝癌的肿瘤血管生成和进展。
Theranostics. 2020 Apr 6;10(12):5209-5224. doi: 10.7150/thno.43640. eCollection 2020.
6
Mechanisms of lncRNA/microRNA interactions in angiogenesis.长链非编码 RNA/微小 RNA 相互作用在血管生成中的机制。
Life Sci. 2020 Aug 1;254:116900. doi: 10.1016/j.lfs.2019.116900. Epub 2019 Nov 28.
7
The proatherosclerotic function of indoleamine 2, 3-dioxygenase 1 in the developmental stage of atherosclerosis.吲哚胺 2,3-双加氧酶 1 在动脉粥样硬化发育阶段的促动脉粥样硬化作用。
Signal Transduct Target Ther. 2019 Jul 19;4:23. doi: 10.1038/s41392-019-0058-5. eCollection 2019.
8
Long noncoding RNA enhances the malignant characteristics of osteosarcoma by acting as a competing endogenous RNA on microRNA-376a thereby upregulating dickkopf-1.长链非编码RNA通过作为微小RNA-376a的竞争性内源性RNA发挥作用,从而上调Dickkopf-1,增强骨肉瘤的恶性特征。
Aging (Albany NY). 2019 Sep 16;11(18):7678-7693. doi: 10.18632/aging.102280.
9
FOXP1-induced lncRNA CLRN1-AS1 acts as a tumor suppressor in pituitary prolactinoma by repressing the autophagy via inactivating Wnt/β-catenin signaling pathway.FOXP1 诱导的长链非编码 RNA CLRN1-AS1 通过抑制自噬来抑制 Wnt/β-连环蛋白信号通路,从而在垂体催乳素瘤中发挥肿瘤抑制作用。
Cell Death Dis. 2019 Jun 24;10(7):499. doi: 10.1038/s41419-019-1694-y.
10
Dkk (Dickkopf) Proteins.Dkk(Dickkopf)蛋白。
Arterioscler Thromb Vasc Biol. 2019 Jul;39(7):1330-1342. doi: 10.1161/ATVBAHA.119.312612. Epub 2019 May 16.