Suppr超能文献

新冠病毒感染或阿尔茨海默病引发的“脑雾”?一例病例报告。

"Brain Fog" by COVID-19 or Alzheimer's Disease? A Case Report.

作者信息

Matias-Guiu Jordi A, Delgado-Alonso Cristina, Yus Miguel, Polidura Carmen, Gómez-Ruiz Natividad, Valles-Salgado María, Ortega-Madueño Isabel, Cabrera-Martín María Nieves, Matias-Guiu Jorge

机构信息

Department of Neurology, Institute of Neuroscience, Hospital Clinico San Carlos, Instituto de Investigación Sanitaria San Carlos (IdISSC), Universidad Complutense, Madrid, Spain.

Department of Radiology, Hospital Clinico San Carlos, Instituto de Investigación Sanitaria San Carlos (IdISSC), Universidad Complutense, Madrid, Spain.

出版信息

Front Psychol. 2021 Nov 4;12:724022. doi: 10.3389/fpsyg.2021.724022. eCollection 2021.

Abstract

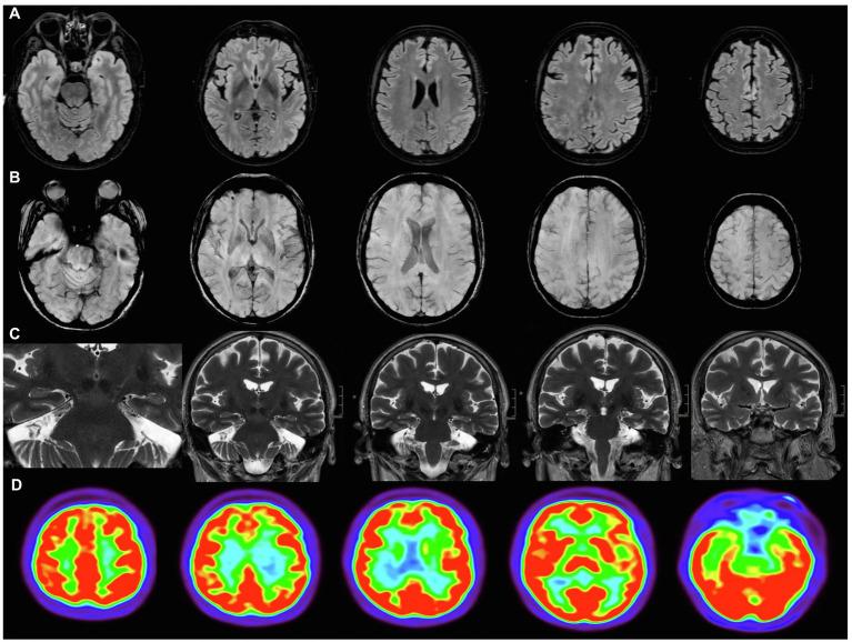
Cognitive symptoms after COVID-19 have been increasingly recognized several months after the acute infection and have been designated as "brain fog." We report a patient with cognitive symptoms that started immediately after COVID-19, in which cerebrospinal fluid biomarkers were highly suggestive of Alzheimer's disease. Our case highlights the need to examine patients with cognitive symptoms following COVID-19 comprehensively. A detailed assessment combining clinical, cognitive, and biomarker studies may help disentangle the underlying mechanisms associated with cognitive dysfunction in each case. The investigation of neurodegenerative processes in an early stage, especially in older patients, is probably warranted.

摘要

新冠病毒感染后数月,认知症状日益受到关注,并被称为“脑雾”。我们报告了一名患者,其认知症状在新冠病毒感染后即刻出现,脑脊液生物标志物高度提示阿尔茨海默病。我们的病例强调了对新冠病毒感染后出现认知症状的患者进行全面检查的必要性。结合临床、认知和生物标志物研究的详细评估可能有助于厘清每个病例中与认知功能障碍相关的潜在机制。在早期阶段,尤其是对老年患者,对神经退行性过程进行调查可能是必要的。

https://cdn.ncbi.nlm.nih.gov/pmc/blobs/4c4d/8599288/148138ccc6fe/fpsyg-12-724022-g001.jpg

文献AI研究员

20分钟写一篇综述,助力文献阅读效率提升50倍。

立即体验

用中文搜PubMed

大模型驱动的PubMed中文搜索引擎

马上搜索

文档翻译

学术文献翻译模型,支持多种主流文档格式。

立即体验