Suppr超能文献

胰腺癌伴发的副肿瘤性肌病:一例报告及文献复习

Paraneoplastic myopathy in pancreatic cancer: a case report and literature review.

作者信息

Padniewski Jessica Joanne, Nelson Elizabeth, Mian Istiaq, Laczniak Andrew, Ives Samuel, Nasr Rawad

机构信息

Department of Medicine , Hennepin Healthcare Internal Medicine Residency, Minneapolis, MN, USA.

Department of Medicine, SSM Health, Madison, WI, USA.

出版信息

J Community Hosp Intern Med Perspect. 2021 Nov 15;11(6):847-851. doi: 10.1080/20009666.2021.1982487. eCollection 2021.

Abstract

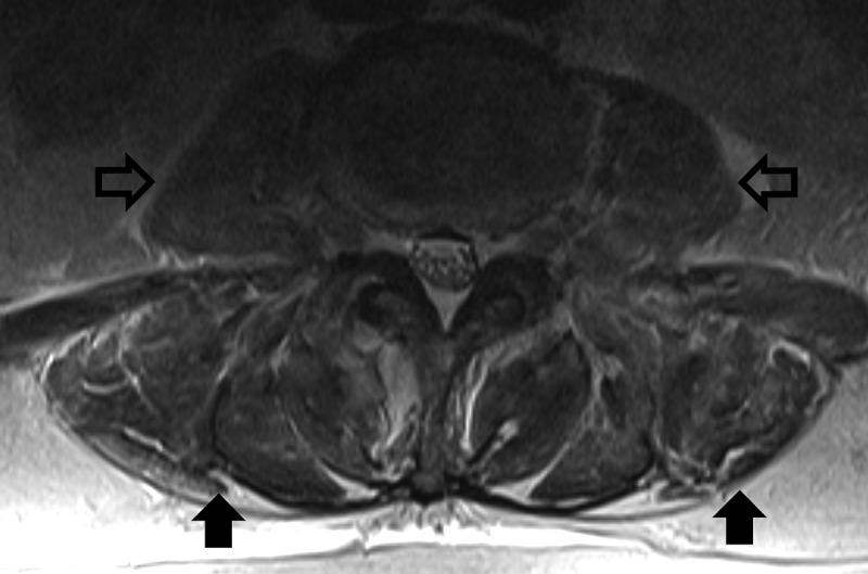
Dermatomyositis (DM) and polymyositis (PM) are both immune-mediated inflammatory myopathies known to occur in paraneoplastic syndromes associated with a new diagnosis of malignancy, most commonly breast, ovarian, lung, pancreatic, stomach, colorectal, and Non-Hodgkin's lymphoma in DM and breast, lung, bladder cancer, and Non-Hodgkin's lymphoma in PM. While inflammatory markers such as creatine kinase (CK) may be elevated with either DM or PM, marked elevation is rare. Herein, we report a case of newly diagnosed pancreatic cancer presenting with inflammatory myopathy and marked CK elevation. We review the frequency of PM as a paraneoplastic syndrome, the association with marked CK elevation, and the association with pancreatic cancer.

摘要

皮肌炎(DM)和多发性肌炎(PM)均为免疫介导的炎性肌病,已知可发生于与新诊断恶性肿瘤相关的副肿瘤综合征中,在皮肌炎中最常见于乳腺癌、卵巢癌、肺癌、胰腺癌、胃癌、结直肠癌和非霍奇金淋巴瘤,在多发性肌炎中最常见于乳腺癌、肺癌、膀胱癌和非霍奇金淋巴瘤。虽然肌酸激酶(CK)等炎症标志物在皮肌炎或多发性肌炎中可能升高,但显著升高较为罕见。在此,我们报告一例新诊断的胰腺癌患者,其表现为炎性肌病且肌酸激酶显著升高。我们回顾了多发性肌炎作为副肿瘤综合征的发生率、与肌酸激酶显著升高的关联以及与胰腺癌的关联。

https://cdn.ncbi.nlm.nih.gov/pmc/blobs/691f/8604545/defb4b6f578e/ZJCH_A_1982487_F0001_B.jpg

相似文献

1
Paraneoplastic myopathy in pancreatic cancer: a case report and literature review.
J Community Hosp Intern Med Perspect. 2021 Nov 15;11(6):847-851. doi: 10.1080/20009666.2021.1982487. eCollection 2021.
2
Carcinoma of gall bladder presenting as dermatomyositis.
Ann Indian Acad Neurol. 2011 Jan;14(1):44-6. doi: 10.4103/0972-2327.78050.
3
Not a Statin-Induced Myopathy: Metastatic Pancreatic Adenocarcinoma Presenting As Paraneoplastic Myositis.
Cureus. 2022 May 15;14(5):e25016. doi: 10.7759/cureus.25016. eCollection 2022 May.
4
Paraneoplastic dermatomyositis associated with urothelial cancer: report of a case and systematic review of the literature.
Front Oncol. 2023 Oct 31;13:1223627. doi: 10.3389/fonc.2023.1223627. eCollection 2023.
6
Idiopathic inflammatory myopathies.
Semin Neurol. 2012 Jul;32(3):227-36. doi: 10.1055/s-0032-1329201. Epub 2012 Nov 1.
7
Laryngeal carcinoma presenting as polymyositis: A paraneoplastic syndrome.
Ann Indian Acad Neurol. 2016 Jan-Mar;19(1):150-1. doi: 10.4103/0972-2327.170571.
8
Idiopathic inflammatory myopathies: a review.
Intern Med J. 2021 Jun;51(6):845-852. doi: 10.1111/imj.15358.
9
Paraneoplastic dermatomyositis and Hodgkin's lymphoma in a 14-year-old girl: a case report and literature review.
Front Oncol. 2024 Aug 7;14:1416083. doi: 10.3389/fonc.2024.1416083. eCollection 2024.

引用本文的文献

1
A case of paraneoplastic myositis induced rhabdomyolysis due to pancreatic adenocarcinoma.
Oxf Med Case Reports. 2025 Aug 20;2025(8):omaf141. doi: 10.1093/omcr/omaf141. eCollection 2025 Aug.
2
Paraneoplastic myopathy-related rhabdomyolysis and pancreatic cancer: A case report and review of the literature.
World J Clin Cases. 2023 Oct 6;11(28):6823-6830. doi: 10.12998/wjcc.v11.i28.6823.
3
Not a Statin-Induced Myopathy: Metastatic Pancreatic Adenocarcinoma Presenting As Paraneoplastic Myositis.
Cureus. 2022 May 15;14(5):e25016. doi: 10.7759/cureus.25016. eCollection 2022 May.

本文引用的文献

1
An efficacy analysis of whole-body magnetic resonance imaging in the diagnosis and follow-up of polymyositis and dermatomyositis.
PLoS One. 2017 Jul 17;12(7):e0181069. doi: 10.1371/journal.pone.0181069. eCollection 2017.
2
Paraneoplastic Necrotizing Autoimmune Myopathy in a Patient Undergoing Laparoscopic Pancreatoduodenectomy for Distal Cholangiocarcinoma.
Case Rep Gastroenterol. 2016 Oct 6;10(3):525-530. doi: 10.1159/000448882. eCollection 2016 Sep-Dec.
3
Paraneoplastic polymyositis presenting as a clinically occult breast cancer.
Ann R Coll Surg Engl. 2017 Feb;99(2):e40-e43. doi: 10.1308/rcsann.2016.0301. Epub 2016 Sep 23.
5
A rare case of severe myositis as paraneoplastic syndrome on breast cancer.
World J Surg Oncol. 2015 Apr 1;13:134. doi: 10.1186/s12957-015-0534-5.
6
Polymyositis/dermatomyositis and malignancy risk: a metaanalysis study.
J Rheumatol. 2015 Feb;42(2):282-91. doi: 10.3899/jrheum.140566. Epub 2014 Dec 1.
7
Incidence and prevalence of inflammatory myopathies: a systematic review.
Rheumatology (Oxford). 2015 Jan;54(1):50-63. doi: 10.1093/rheumatology/keu289. Epub 2014 Jul 26.
8
Gemcitabine-induced myopathy.
Semin Arthritis Rheum. 2014 Jun;43(6):784-91. doi: 10.1016/j.semarthrit.2013.11.009. Epub 2013 Nov 27.
9
Incidence and prevalence of idiopathic inflammatory myopathies in South Australia: a 30-year epidemiologic study of histology-proven cases.
Int J Rheum Dis. 2013 Jun;16(3):331-8. doi: 10.1111/j.1756-185X.2011.01669.x. Epub 2011 Oct 13.

文献AI研究员

20分钟写一篇综述,助力文献阅读效率提升50倍。

立即体验

用中文搜PubMed

大模型驱动的PubMed中文搜索引擎

马上搜索

文档翻译

学术文献翻译模型,支持多种主流文档格式。

立即体验