• 文献检索
  • 文档翻译
  • 深度研究
  • 学术资讯
  • Suppr Zotero 插件Zotero 插件
  • 邀请有礼
  • 套餐&价格
  • 历史记录
应用&插件
Suppr Zotero 插件Zotero 插件浏览器插件Mac 客户端Windows 客户端微信小程序
定价
高级版会员购买积分包购买API积分包
服务
文献检索文档翻译深度研究API 文档MCP 服务
关于我们
关于 Suppr公司介绍联系我们用户协议隐私条款
关注我们

Suppr 超能文献

核心技术专利:CN118964589B侵权必究
粤ICP备2023148730 号-1Suppr @ 2026

文献检索

告别复杂PubMed语法,用中文像聊天一样搜索,搜遍4000万医学文献。AI智能推荐,让科研检索更轻松。

立即免费搜索

文件翻译

保留排版,准确专业,支持PDF/Word/PPT等文件格式,支持 12+语言互译。

免费翻译文档

深度研究

AI帮你快速写综述,25分钟生成高质量综述,智能提取关键信息,辅助科研写作。

立即免费体验

乳腺癌肝转移的大分割质子束治疗的临床疗效

Clinical Effectiveness of Hypofractionated Proton Beam Therapy for Liver Metastasis From Breast Cancer.

作者信息

Kim Tae Hyun, Lee Keun Seok, Sim Sung Hoon, Kim Yeon-Joo, Kim Dae Yong, Chae Heejung, Lee Eun-Gyeong, Han Jai Hong, Jung So Youn, Lee Seeyoun, Kang Han Sung, Lee Eun Sook

机构信息

Center for Proton Therapy, National Cancer Center, Goyang, South Korea.

Center for Breast Cancer, National Cancer Center, Goyang, South Korea.

出版信息

Front Oncol. 2021 Nov 3;11:783327. doi: 10.3389/fonc.2021.783327. eCollection 2021.

DOI:10.3389/fonc.2021.783327
PMID:34804986
原文链接:https://pmc.ncbi.nlm.nih.gov/articles/PMC8595332/
Abstract

BACKGROUND

Few studies of proton beam therapy (PBT) for patients with liver metastasis from breast cancer (LMBC) are available to date. The aim of the present study was to evaluate the clinical effectiveness of PBT for patients with LMBC.

MATERIAL AND METHODS

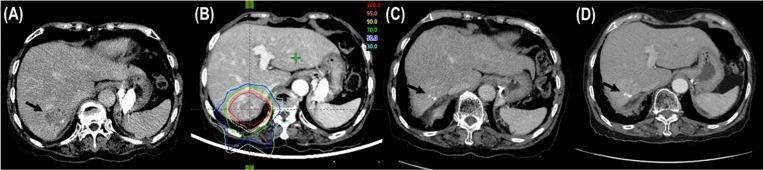
Seventeen patients with LMBC treated with PBT were included in this study. The median prescribed dose of PBT was 66 GyE (range, 60-80) in 10 fractions, 5 times a week. In patients with LMBC receiving PBT, freedom from local progression (FFLP), progression-free survival (PFS), and overall survival (OS) rates were assessed.

RESULTS

The median follow-up time was 34.2 months (range, 11.5-56.1). The median FFLP time was not yet reached, and the 3-year FFLP rates were 94.1% (95% confidence interval [CI], 82.9-105.3). The median times of PFS and OS were 7.9 months (95% CI, 5.3-10.5) and 39.3 months (95% CI, 33.2-51.9), respectively, and the 3-year PFS and OS rates were 19.6% (95% CI, -1.8-41.0) and 71.7% (95% CI, 46.8-96.6), respectively. Grade 3 or higher adverse events were not observed.

CONCLUSION

PBT for patients with LMBC showed promising FFLP and OS with safe toxicity profiles. These findings suggest that PBT can be considered a local treatment option in patients with LMBC.

摘要

背景

迄今为止,关于质子束治疗(PBT)用于乳腺癌肝转移(LMBC)患者的研究较少。本研究的目的是评估PBT对LMBC患者的临床疗效。

材料与方法

本研究纳入了17例接受PBT治疗的LMBC患者。PBT的中位处方剂量为66 GyE(范围60 - 80),分10次给予,每周5次。对接受PBT的LMBC患者评估局部无进展生存期(FFLP)、无进展生存期(PFS)和总生存期(OS)率。

结果

中位随访时间为34.2个月(范围11.5 - 56.1)。FFLP时间中位数尚未达到,3年FFLP率为94.1%(95%置信区间[CI],82.9 - 105.3)。PFS和OS的中位时间分别为7.9个月(95% CI,5.3 - 10.5)和39.3个月(95% CI,33.2 - 51.9),3年PFS和OS率分别为19.6%(95% CI, - 1.8 - 41.0)和71.7%(95% CI,46.8 - 96.6)。未观察到3级或更高等级的不良事件。

结论

PBT治疗LMBC患者显示出有前景的FFLP和OS,且毒性特征安全。这些发现表明PBT可被视为LMBC患者的一种局部治疗选择。

https://cdn.ncbi.nlm.nih.gov/pmc/blobs/48c0/8595332/46e9c3e47713/fonc-11-783327-g003.jpg
https://cdn.ncbi.nlm.nih.gov/pmc/blobs/48c0/8595332/61f7c7abb151/fonc-11-783327-g001.jpg
https://cdn.ncbi.nlm.nih.gov/pmc/blobs/48c0/8595332/e7b7bde91603/fonc-11-783327-g002.jpg
https://cdn.ncbi.nlm.nih.gov/pmc/blobs/48c0/8595332/46e9c3e47713/fonc-11-783327-g003.jpg
https://cdn.ncbi.nlm.nih.gov/pmc/blobs/48c0/8595332/61f7c7abb151/fonc-11-783327-g001.jpg
https://cdn.ncbi.nlm.nih.gov/pmc/blobs/48c0/8595332/e7b7bde91603/fonc-11-783327-g002.jpg
https://cdn.ncbi.nlm.nih.gov/pmc/blobs/48c0/8595332/46e9c3e47713/fonc-11-783327-g003.jpg

相似文献

1
Clinical Effectiveness of Hypofractionated Proton Beam Therapy for Liver Metastasis From Breast Cancer.乳腺癌肝转移的大分割质子束治疗的临床疗效
Front Oncol. 2021 Nov 3;11:783327. doi: 10.3389/fonc.2021.783327. eCollection 2021.
2
Clinical Efficacy of Hypofractionated Proton Beam Therapy for Intrahepatic Cholangiocarcinoma.大分割质子束治疗肝内胆管癌的临床疗效
Cancers (Basel). 2022 Nov 12;14(22):5561. doi: 10.3390/cancers14225561.
3
A phase II trial of hypofractionated high-dose proton beam therapy for unresectable liver metastases.一项针对不可切除肝转移瘤的低分割大剂量质子束调强放疗的 II 期临床试验。
Radiother Oncol. 2022 Nov;176:9-16. doi: 10.1016/j.radonc.2022.09.003. Epub 2022 Sep 14.
4
Follow-up study of liver metastasis from breast cancer treated by proton beam therapy.质子束治疗乳腺癌肝转移的随访研究
Mol Clin Oncol. 2017 Jul;7(1):56-60. doi: 10.3892/mco.2017.1283. Epub 2017 Jun 1.
5
Proton Beam Therapy for Treatment-Naïve Hepatocellular Carcinoma and Prognostic Significance of Albumin-Bilirubin (ALBI) Grade.初治肝细胞癌的质子束治疗及白蛋白-胆红素(ALBI)分级的预后意义
Cancers (Basel). 2022 Sep 13;14(18):4445. doi: 10.3390/cancers14184445.
6
Multi-Institutional Retrospective Study of Radiotherapy for Hepatocellular Carcinoma in the Caudate Lobe.尾状叶肝细胞癌放疗的多机构回顾性研究
Front Oncol. 2021 Feb 26;11:646473. doi: 10.3389/fonc.2021.646473. eCollection 2021.
7
Clinical Outcomes of Proton Beam Therapy for Unresectable Locally Advanced Pancreatic Cancer: A Single-Center Retrospective Study.质子束治疗不可切除局部晚期胰腺癌的临床结局:一项单中心回顾性研究
Adv Radiat Oncol. 2024 Aug 2;9(10):101577. doi: 10.1016/j.adro.2024.101577. eCollection 2024 Oct.
8
Phase II Study of Hypofractionated Proton Beam Therapy for Hepatocellular Carcinoma.肝细胞癌超分割质子束治疗的II期研究
Front Oncol. 2020 Apr 28;10:542. doi: 10.3389/fonc.2020.00542. eCollection 2020.
9
Clinical Outcomes in Patients with Recurrent Glioblastoma Treated with Proton Beam Therapy Reirradiation: Analysis of the Multi-Institutional Proton Collaborative Group Registry.复发性胶质母细胞瘤患者接受质子束治疗再照射的临床结果:多机构质子协作组登记分析
Adv Radiat Oncol. 2020 Apr 22;5(5):978-983. doi: 10.1016/j.adro.2020.03.022. eCollection 2020 Sep-Oct.
10
Hypofractionated proton beam radiotherapy in patients with unresectable liver tumors: multi-institutional prospective results from the Proton Collaborative Group.不可切除肝肿瘤患者的质子束调强放疗:质子协作组多机构前瞻性结果。
Radiat Oncol. 2020 Nov 4;15(1):255. doi: 10.1186/s13014-020-01703-3.

引用本文的文献

1
Role of Proton Beam Therapy in Hepatic Oligometastasis: Review of Evidence.质子束治疗在肝脏寡转移中的作用:证据综述
Acta Med Litu. 2025;32(1):36-51. doi: 10.15388/Amed.2025.32.1.25. Epub 2025 Feb 18.
2
Preliminary Investigation of the Efficacy and Indications of Proton Beam Therapy for Stage IV Pancreatic Adenocarcinoma.质子束治疗IV期胰腺腺癌的疗效和适应症的初步研究。
Cureus. 2024 Apr 7;16(4):e57771. doi: 10.7759/cureus.57771. eCollection 2024 Apr.
3
The Japanese nationwide cohort data of proton beam therapy for liver oligometastasis in breast cancer patients.

本文引用的文献

1
MR-Guided Radiotherapy for Liver Malignancies.磁共振引导下的肝脏恶性肿瘤放射治疗
Front Oncol. 2021 Apr 1;11:616027. doi: 10.3389/fonc.2021.616027. eCollection 2021.
2
Stereotactic Radiofrequency Ablation of Breast Cancer Liver Metastases: Short- and Long-Term Results with Predicting Factors for Survival.立体定向射频消融治疗乳腺癌肝转移:生存预测因素的短期和长期结果。
Cardiovasc Intervent Radiol. 2021 Aug;44(8):1184-1193. doi: 10.1007/s00270-021-02820-6. Epub 2021 Apr 6.
3
Efficacy and feasibility of proton beam radiotherapy using the simultaneous integrated boost technique for locally advanced pancreatic cancer.
日本全国质子束治疗乳腺癌肝寡转移瘤的队列研究数据。
J Radiat Res. 2024 Mar 22;65(2):231-237. doi: 10.1093/jrr/rrad106.
4
Effectiveness of proton beam therapy for liver oligometastatic recurrence in patients with postoperative esophagus cancer.质子束治疗术后食管癌肝寡转移复发的疗效。
J Radiat Res. 2023 May 25;64(3):582-589. doi: 10.1093/jrr/rrad009.
5
Clinical Efficacy of Hypofractionated Proton Beam Therapy for Intrahepatic Cholangiocarcinoma.大分割质子束治疗肝内胆管癌的临床疗效
Cancers (Basel). 2022 Nov 12;14(22):5561. doi: 10.3390/cancers14225561.
采用同步整合升压技术的质子束放疗治疗局部晚期胰腺癌的疗效和可行性。
Sci Rep. 2020 Dec 10;10(1):21712. doi: 10.1038/s41598-020-78875-1.
4
Proton beam radiotherapy vs. radiofrequency ablation for recurrent hepatocellular carcinoma: A randomized phase III trial.质子束放疗与射频消融治疗复发性肝细胞癌的随机 III 期试验。
J Hepatol. 2021 Mar;74(3):603-612. doi: 10.1016/j.jhep.2020.09.026. Epub 2020 Oct 5.
5
5th ESO-ESMO international consensus guidelines for advanced breast cancer (ABC 5).第五届欧洲中学教育阶段(ESO)-欧洲肿瘤内科学会(ESMO)晚期乳腺癌国际共识指南(ABC 5)
Ann Oncol. 2020 Dec;31(12):1623-1649. doi: 10.1016/j.annonc.2020.09.010. Epub 2020 Sep 23.
6
Phase II Study of Hypofractionated Proton Beam Therapy for Hepatocellular Carcinoma.肝细胞癌超分割质子束治疗的II期研究
Front Oncol. 2020 Apr 28;10:542. doi: 10.3389/fonc.2020.00542. eCollection 2020.
7
Does Risk-Adapted Proton Beam Therapy Have a Role as a Complementary or Alternative Therapeutic Option for Hepatocellular Carcinoma?风险适应性质子束治疗能否作为肝细胞癌的辅助或替代治疗选择?
Cancers (Basel). 2019 Feb 15;11(2):230. doi: 10.3390/cancers11020230.
8
Treatment outcomes of breast cancer liver metastasis treated with stereotactic body radiotherapy.立体定向体部放疗治疗乳腺癌肝转移的疗效观察。
Breast. 2018 Dec;42:150-156. doi: 10.1016/j.breast.2018.09.006. Epub 2018 Sep 29.
9
Long-term outcomes and prognostic analysis of percutaneous radiofrequency ablation in liver metastasis from breast cancer.乳腺癌肝转移经皮射频消融治疗的长期疗效及预后分析。
Int J Hyperthermia. 2019 Jan 1;35(1):183-193. doi: 10.1080/02656736.2018.1488279. Epub 2018 Sep 10.
10
Effectiveness and Safety of Simultaneous Integrated Boost-Proton Beam Therapy for Localized Pancreatic Cancer.同步整合加量质子束治疗局部胰腺癌的有效性和安全性
Technol Cancer Res Treat. 2018 Jan 1;17:1533033818783879. doi: 10.1177/1533033818783879.