Suppr超能文献

经颈静脉肝内门体分流术治疗严重门静脉高压伴异位静脉曲张导致的反复痔出血:一例报告

Transjugular intrahepatic portosystemic shunt for repeated bleeding of hemorrhoids caused by severe portal hypertension with ectopic varices: A case report.

作者信息

Shi Qin, Zhou Chen, Liu Jiacheng, Qian Kun, Liu Yiming, Song Songlin, Xiong Bin

机构信息

Department of Radiology, Union Hospital, Tongji Medical College, Huazhong University of Science and Technology, Wuhan, 430022, China.

Hubei Province Key Laboratory of Molecular Imaging, Wuhan, 430022, China.

出版信息

J Interv Med. 2020 Jul 9;3(3):157-160. doi: 10.1016/j.jimed.2020.07.010. eCollection 2020 Sep.

Abstract

BACKGROUND

Severe portal hypertension is life-threatening and can bring adverse complications such as ascites, gastroesophageal varices, and edema. It can, even cause variceal hemorrhage, which may lead to a high risk of death. There is a rare incidence in bleeding of hemorrhoids caused by severe ectopic varices.

CASE PRESENTATION

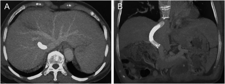
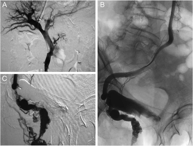
We report the case of a female patient with a 20-year history of hepatitis B virus infection who presented with repeated bleeding of hemorrhoids caused by severe portal hypertension with ectopic varices that is connection between the superior mesenteric vein and rectal venous plexus. Laboratory results revealed a hemoglobin level of 74 g/L. Finally, the patient was successfully treated with transjugular intrahepatic portosystemic shunt (TIPSS) placement without variceal embolization after a multidisciplinary comprehensive opinion. In the two-month follow-up period, the patient had failed to develop hepatic encephalopathy or hematochezia, and computed tomography venography (CTV) indicated that the stent was unobstructed and ascites disappeared.

CONCLUSIONS

TIPSS placement is effective for the case, and we hope this case can help improve clinicians' awareness of hemorrhoidal bleeding with severe portal hypertension. Portal hypertension should also be considered during the diagnosis and treatment, as opposed to hemorrhoidal bleeding alone. Moreover, abdominal CTV is recommended as an effective imaging examination method to determine the stent status after operation.

摘要

背景

严重门静脉高压症危及生命,可引发腹水、胃食管静脉曲张和水肿等不良并发症。它甚至会导致静脉曲张破裂出血,这可能导致高死亡风险。由严重异位静脉曲张引起的痔疮出血发病率罕见。

病例介绍

我们报告了一例有20年乙型肝炎病毒感染史的女性患者,该患者因严重门静脉高压伴异位静脉曲张(即肠系膜上静脉与直肠静脉丛之间的连接)导致反复痔疮出血。实验室检查结果显示血红蛋白水平为74 g/L。最后,经多学科综合评估后,患者成功接受了经颈静脉肝内门体分流术(TIPSS)植入,未进行曲张静脉栓塞。在两个月的随访期内,患者未发生肝性脑病或便血,计算机断层扫描静脉造影(CTV)显示支架通畅,腹水消失。

结论

TIPSS植入对该病例有效,我们希望该病例能提高临床医生对严重门静脉高压症所致痔疮出血的认识。在诊断和治疗过程中,除了单独考虑痔疮出血外,还应考虑门静脉高压症。此外,建议采用腹部CTV作为确定术后支架状态的有效影像学检查方法。

https://cdn.ncbi.nlm.nih.gov/pmc/blobs/a3f1/8562226/6af425bafef2/gr1.jpg

相似文献

3
Potential Pitfalls in Transjugular Portosystemic Shunt Placement for Bleeding Rectal Varices.
Case Rep Gastroenterol. 2015 Aug 21;9(2):296-301. doi: 10.1159/000439164. eCollection 2015 May-Aug.
4
Bleeding ectopic varices in cirrhosis: the role of transjugular intrahepatic portosystemic stent shunts.
Aliment Pharmacol Ther. 2008 Aug 1;28(3):294-303. doi: 10.1111/j.1365-2036.2008.03719.x.
7
Percutaneous transjugular portosystemic shunt.
JAMA. 1991 Jul 17;266(3):390-3.

引用本文的文献

1
Management of ectopic variceal bleeding with transjugular intrahepatic portosystemic shunt: a systematic review of case reports.
Emerg Radiol. 2024 Aug;31(4):581-594. doi: 10.1007/s10140-024-02258-6. Epub 2024 Jun 27.

本文引用的文献

1
Hemorrhoids: what are the options in 2018?
Curr Opin Gastroenterol. 2018 Jan;34(1):46-49. doi: 10.1097/MOG.0000000000000408.
3
EUS-guided portal pressure gradient measurement with a simple novel device: a human pilot study.
Gastrointest Endosc. 2017 May;85(5):996-1001. doi: 10.1016/j.gie.2016.09.026. Epub 2016 Sep 29.
4
Treatment of ectopic varices with portal hypertension.
World J Hepatol. 2015 Jun 28;7(12):1601-5. doi: 10.4254/wjh.v7.i12.1601.
6
Gastric and ectopic varices.
Clin Liver Dis. 2014 May;18(2):371-88. doi: 10.1016/j.cld.2014.01.002. Epub 2014 Feb 26.
7
Liver cirrhosis.
Lancet. 2014 May 17;383(9930):1749-61. doi: 10.1016/S0140-6736(14)60121-5. Epub 2014 Jan 28.
8
Hepatic encephalopathy after transjugular intrahepatic portosystemic shunt.
Clin Liver Dis. 2012 Feb;16(1):133-46. doi: 10.1016/j.cld.2011.12.008. Epub 2012 Jan 4.
9
Ectopic varices.
Gastrointest Endosc. 2011 Aug;74(2):380-8. doi: 10.1016/j.gie.2011.03.1177. Epub 2011 May 25.
10
Updates in the pathogenesis, diagnosis and management of ectopic varices.
Hepatol Int. 2008 Sep;2(3):322-34. doi: 10.1007/s12072-008-9074-1. Epub 2008 May 31.

文献AI研究员

20分钟写一篇综述,助力文献阅读效率提升50倍。

立即体验

用中文搜PubMed

大模型驱动的PubMed中文搜索引擎

马上搜索

文档翻译

学术文献翻译模型,支持多种主流文档格式。

立即体验