Suppr超能文献

神经生长抑制因子受体抑制小胶质细胞对纤维状淀粉样β的清除,并加速类似阿尔茨海默病的疾病进展。

Nogo receptor impairs the clearance of fibril amyloid-β by microglia and accelerates Alzheimer's-like disease progression.

机构信息

New drug screening center, Jiangsu Center for Pharmacodynamics Research and Evaluation, China Pharmaceutical University, 24 Tongjiaxiang Street, Nanjing, 210009, China.

出版信息

Aging Cell. 2021 Dec;20(12):e13515. doi: 10.1111/acel.13515. Epub 2021 Nov 24.

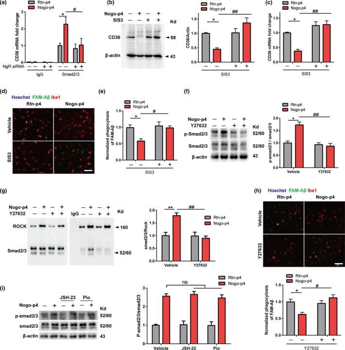
Abstract

Alzheimer's disease (AD) is characterized by the progressive accumulation of β-amyloid (Aβ)-containing amyloid plaques, and microglia play a critical role in mediating Aβ clearance. Mounting evidence has confirmed that the ability of microglia in clearing Aβ decreased with aging and AD progress, but the underlying mechanisms are unclear. Previously, we have demonstrated that Nogo receptor (NgR), a receptor for three axon growth inhibitors associated with myelin, can decrease adhesion and migration of microglia to fibrils Aβ with aging. However, whether NgR expressed on microglia affect microglia phagocytosis of fibrils Aβ with aging remains unclear. Here, we found that aged but not young microglia showed increased NgR expression and decreased Aβ phagocytosis in APP/PS1 transgenic mice. NgR knockdown APP/PS1 mice showed simultaneous reduced amyloid burden and improved spatial learning and memory, which were associated with increased Aβ clearance. Importantly, Nogo-P4, an agonist of NgR, enhanced the protein level of p-Smad2/3, leading to a significant transcriptional inhibition of CD36 gene expression, which in turn decreased the microglial phagocytosis of Aβ. Moreover, ROCK accounted for Nogo-P4-induced activation of Smad2/3 signaling. Finally, the decreasing effect of NgR on microglial Aβ uptake was confirmed in a mouse model of intra-hippocampal fAβ injection. Our findings suggest that NgR may play an important role in the regulation of Aβ homeostasis, and has potential as a therapeutic target for AD.

摘要

阿尔茨海默病(AD)的特征是β-淀粉样蛋白(Aβ)含量的淀粉样斑块的进行性积累,而小胶质细胞在介导 Aβ清除中起着关键作用。越来越多的证据证实,小胶质细胞清除 Aβ的能力随着衰老和 AD 的进展而降低,但潜在机制尚不清楚。以前,我们已经证明,与髓鞘相关的三种轴突生长抑制剂的受体 Nogo 受体(NgR),可以降低与衰老相关的 Aβ原纤维的小胶质细胞的黏附和迁移。然而,小胶质细胞上表达的 NgR 是否会影响小胶质细胞对衰老时 Aβ原纤维的吞噬作用尚不清楚。在这里,我们发现,与年轻的小胶质细胞相比,衰老的小胶质细胞在 APP/PS1 转基因小鼠中表现出 NgR 表达增加和 Aβ吞噬作用降低。NgR 敲低的 APP/PS1 小鼠表现出淀粉样蛋白负荷降低和空间学习记忆改善,这与 Aβ清除增加有关。重要的是,NgR 的激动剂 Nogo-P4 增加了 p-Smad2/3 的蛋白水平,导致 CD36 基因表达的转录抑制显著增加,从而降低了小胶质细胞对 Aβ的吞噬作用。此外,ROCK 解释了 Nogo-P4 诱导的 Smad2/3 信号通路的激活。最后,在海马内 fAβ 注射的小鼠模型中证实了 NgR 对小胶质细胞摄取 Aβ的减少作用。我们的研究结果表明,NgR 可能在调节 Aβ动态平衡中起重要作用,并可能成为 AD 的治疗靶点。

https://cdn.ncbi.nlm.nih.gov/pmc/blobs/7185/8672787/dd18abb29529/ACEL-20-e13515-g004.jpg

文献检索

告别复杂PubMed语法,用中文像聊天一样搜索,搜遍4000万医学文献。AI智能推荐,让科研检索更轻松。

立即免费搜索

文件翻译

保留排版,准确专业,支持PDF/Word/PPT等文件格式,支持 12+语言互译。

免费翻译文档

深度研究

AI帮你快速写综述,25分钟生成高质量综述,智能提取关键信息,辅助科研写作。

立即免费体验