• 文献检索
  • 文档翻译
  • 深度研究
  • 学术资讯
  • Suppr Zotero 插件Zotero 插件
  • 邀请有礼
  • 套餐&价格
  • 历史记录
应用&插件
Suppr Zotero 插件Zotero 插件浏览器插件Mac 客户端Windows 客户端微信小程序
定价
高级版会员购买积分包购买API积分包
服务
文献检索文档翻译深度研究API 文档MCP 服务
关于我们
关于 Suppr公司介绍联系我们用户协议隐私条款
关注我们

Suppr 超能文献

核心技术专利:CN118964589B侵权必究
粤ICP备2023148730 号-1Suppr @ 2026

文献检索

告别复杂PubMed语法,用中文像聊天一样搜索,搜遍4000万医学文献。AI智能推荐,让科研检索更轻松。

立即免费搜索

文件翻译

保留排版,准确专业,支持PDF/Word/PPT等文件格式,支持 12+语言互译。

免费翻译文档

深度研究

AI帮你快速写综述,25分钟生成高质量综述,智能提取关键信息,辅助科研写作。

立即免费体验

通过自膨式金属支架置入管腔贴附金属支架进行联合内镜支架套叠置入术治疗同时性恶性胆管和十二指肠梗阻

Combined Endoscopic Stent-In-Stent Placement by Lumen-Apposing Metal Stents Through Self-Expanding Metal Stents for Simultaneous Malignant Biliary and Duodenal Obstruction.

作者信息

Metelli Flavio, Pezzoli Alessandro, Fabbri Carlo, Pizzo Elena, Arena Rosario, Cifalà Viviana, Simone Loredana, Solimando Riccardo, Merighi Alberto

机构信息

Department of Gastroenterology and GI Endoscopy, University Hospital, Ferrara, Italy.

Department of Gastroenterology and GI Endoscopy, Forli-Cesena, Italy.

出版信息

ACG Case Rep J. 2021 Nov 23;8(11):e00704. doi: 10.14309/crj.0000000000000704. eCollection 2021 Nov.

DOI:10.14309/crj.0000000000000704
PMID:34841002
原文链接:https://pmc.ncbi.nlm.nih.gov/articles/PMC8613338/
Abstract

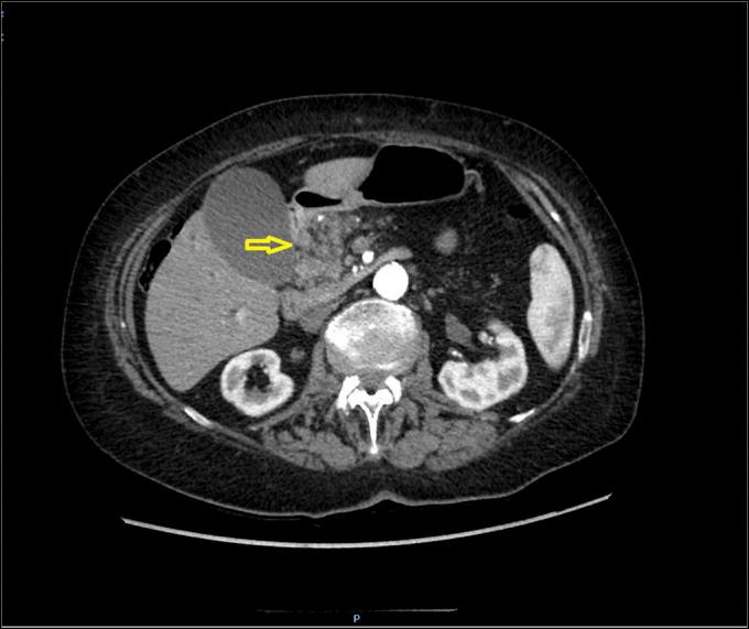
The palliation of simultaneous biliary and duodenal obstruction in patients with advanced pancreatic cancer is a clinically and technically challenging scenario. Endoscopic procedures are a valid alternative to surgical or percutaneous transhepatic biliary drainage. The availability of self-expanding metal stents (SEMSs) and lumen-apposing metal stents (LAMS) have expanded therapeutic options. We describe a case in which biliary and duodenal obstructions were treated successfully with the combined use of SEMS and LAMS devices. Endoscopic ultrasound-guided biliary drainage with the use of new LAMS and a duodenal SEMS can be a valid option in expert hands as a palliative and minimally invasive treatment for gastric outlet and biliary obstruction.

摘要

晚期胰腺癌患者同时出现胆管和十二指肠梗阻的姑息治疗在临床和技术上是一个具有挑战性的情况。内镜手术是手术或经皮经肝胆道引流的有效替代方法。自膨式金属支架(SEMS)和管腔贴附金属支架(LAMS)的应用扩大了治疗选择。我们描述了一例通过联合使用SEMS和LAMS设备成功治疗胆管和十二指肠梗阻的病例。在内镜超声引导下使用新型LAMS和十二指肠SEMS进行胆道引流,对于有经验的医生来说,可作为胃出口和胆管梗阻的一种有效的姑息性微创治疗选择。

https://cdn.ncbi.nlm.nih.gov/pmc/blobs/76fd/8613338/31cf6eca7f8c/ac9-8-e00704-g004.jpg
https://cdn.ncbi.nlm.nih.gov/pmc/blobs/76fd/8613338/d17107e882d8/ac9-8-e00704-g001.jpg
https://cdn.ncbi.nlm.nih.gov/pmc/blobs/76fd/8613338/5e91b032f9fd/ac9-8-e00704-g002.jpg
https://cdn.ncbi.nlm.nih.gov/pmc/blobs/76fd/8613338/c9b9620178a1/ac9-8-e00704-g003.jpg
https://cdn.ncbi.nlm.nih.gov/pmc/blobs/76fd/8613338/31cf6eca7f8c/ac9-8-e00704-g004.jpg
https://cdn.ncbi.nlm.nih.gov/pmc/blobs/76fd/8613338/d17107e882d8/ac9-8-e00704-g001.jpg
https://cdn.ncbi.nlm.nih.gov/pmc/blobs/76fd/8613338/5e91b032f9fd/ac9-8-e00704-g002.jpg
https://cdn.ncbi.nlm.nih.gov/pmc/blobs/76fd/8613338/c9b9620178a1/ac9-8-e00704-g003.jpg
https://cdn.ncbi.nlm.nih.gov/pmc/blobs/76fd/8613338/31cf6eca7f8c/ac9-8-e00704-g004.jpg

相似文献

1
Combined Endoscopic Stent-In-Stent Placement by Lumen-Apposing Metal Stents Through Self-Expanding Metal Stents for Simultaneous Malignant Biliary and Duodenal Obstruction.通过自膨式金属支架置入管腔贴附金属支架进行联合内镜支架套叠置入术治疗同时性恶性胆管和十二指肠梗阻
ACG Case Rep J. 2021 Nov 23;8(11):e00704. doi: 10.14309/crj.0000000000000704. eCollection 2021 Nov.
2
Lumen apposing metal stents versus tubular self-expandable metal stents for endoscopic ultrasound-guided choledochoduodenostomy in malignant biliary obstruction.用于恶性胆管梗阻内镜超声引导下胆总管十二指肠吻合术的管腔贴壁金属支架与管状自膨式金属支架的比较
Surg Endosc. 2021 Dec;35(12):6754-6762. doi: 10.1007/s00464-020-08179-y. Epub 2020 Nov 30.
3
Lumen-apposing metal stent for treatment of malignant biliary obstruction, placed through an uncovered duodenal self-expanding metal stent.通过未覆盖的十二指肠自膨式金属支架置入的管腔贴壁金属支架治疗恶性胆管梗阻
BMJ Case Rep. 2021 Apr 15;14(4):e238599. doi: 10.1136/bcr-2020-238599.
4
Percutaneous transhepatic self-expanding metal stents for palliation of malignant biliary obstruction.经皮经肝自膨式金属支架用于恶性胆道梗阻的姑息治疗。
S Afr J Surg. 2012 Jul 11;50(3):54, 56, 58 passim. doi: 10.7196/sajs.1302.
5
Clinical outcome of simultaneous self-expandable metal stents for palliation of malignant biliary and duodenal obstruction.同时使用自膨式金属支架缓解恶性胆管和十二指肠梗阻的临床结果。
Surg Endosc. 2003 Mar;17(3):457-61. doi: 10.1007/s00464-002-8541-3. Epub 2002 Oct 31.
6
Revolutionizing palliative care: Electrocautery-enhanced lumen-apposing metal stents in endoscopic-ultrasound-guided biliary drainage for malignant obstructions.革新姑息治疗:电灼增强型管腔贴附金属支架在内镜超声引导下胆管引流治疗恶性梗阻中的应用
World J Gastrointest Surg. 2024 Jul 27;16(7):2358-2361. doi: 10.4240/wjgs.v16.i7.2358.
7
Success and safety of endoscopic treatments for concomitant biliary and duodenal malignant stenosis: A review of the literature.内镜治疗同时性胆管和十二指肠恶性狭窄的成功率与安全性:文献综述
World J Gastrointest Surg. 2019 Feb 27;11(2):53-61. doi: 10.4240/wjgs.v11.i2.53.
8
Endoscopic Ultrasound Guided Choledocho-Enterostomy by Using Lumen Apposing Metal Stent in Patients with Failed Endoscopic Retrograde Cholangiopancreatography: A Literature Review.内镜超声引导下使用 lumen 贴合金属支架行胆肠吻合术治疗内镜逆行胰胆管造影术失败患者:文献综述。
Digestion. 2018;98(1):1-10. doi: 10.1159/000487185. Epub 2018 Apr 19.
9
Combined endoscopic stent-in-stent placement for malignant biliary and duodenal obstruction by using a new duodenal metal stent (with videos).使用新型十二指肠金属支架进行内镜下联合支架置入治疗恶性胆管和十二指肠梗阻(附视频)
Gastrointest Endosc. 2009 Oct;70(4):772-7. doi: 10.1016/j.gie.2009.04.013.
10
Endoscopic bilio-duodenal bypass: outcomes of primary and revision efficacy of combined metallic stents in malignant duodenal and biliary obstructions.内镜下胆十二指肠旁路术:联合金属支架治疗恶性十二指肠和胆道梗阻的初次及翻修疗效
Dig Dis Sci. 2014 Nov;59(11):2779-89. doi: 10.1007/s10620-014-3199-y. Epub 2014 May 13.

本文引用的文献

1
EUS-guided gallbladder drainage in high-risk surgical patients with acute cholecystitis-procedure outcomes and evaluation of mortality predictors.超声内镜引导下胆囊引流术在伴有急性胆囊炎的高危手术患者中的应用——手术结果和死亡率预测因子的评估。
Surg Endosc. 2022 Jan;36(1):569-578. doi: 10.1007/s00464-021-08318-z. Epub 2021 Jan 28.
2
EUS biliary drainage with a lumen-apposing metal stent through a pre-existing duodenal metal stent.通过预先存在的十二指肠金属支架进行带腔内置入金属支架的超声内镜胆道引流术。
VideoGIE. 2019 Jan 26;4(3):131-132. doi: 10.1016/j.vgie.2018.11.004. eCollection 2019 Mar.
3
Endoscopic ultrasound-guided choledochoduodenostomy with a lumen-apposing metal stent through an uncovered metal duodenal stent.
经无覆膜金属十二指肠支架行内镜超声引导下带腔金属支架胆总管十二指肠吻合术
Endosc Int Open. 2018 Dec;6(12):E1395-E1397. doi: 10.1055/a-0735-9254. Epub 2018 Nov 23.
4
Biliary Drainage in Patients With Failed ERCP: Percutaneous Versus EUS-guided Drainage.内镜逆行胰胆管造影术(ERCP)失败患者的胆道引流:经皮引流与超声内镜引导下引流
Surg Laparosc Endosc Percutan Tech. 2018 Jun;28(3):183-187. doi: 10.1097/SLE.0000000000000528.
5
Endoscopic Ultrasonography-Guided Techniques for Accessing and Draining the Biliary System and the Pancreatic Duct.内镜超声引导下胆道系统和胰管穿刺引流技术
Gastrointest Endosc Clin N Am. 2017 Oct;27(4):681-705. doi: 10.1016/j.giec.2017.06.006.
6
Endoscopic ultrasound-guided hepaticogastrostomy percutaneous transhepatic drainage for malignant biliary obstruction after failed endoscopic retrograde cholangiopancreatography: a retrospective expertise-based study from two centers.内镜超声引导下肝胃吻合术联合经皮经肝胆道引流术治疗内镜逆行胰胆管造影失败后的恶性胆道梗阻:一项基于两个中心专业经验的回顾性研究
Therap Adv Gastroenterol. 2017 Jun;10(6):483-493. doi: 10.1177/1756283X17702096. Epub 2017 Apr 10.
7
Efficacy and safety of EUS-guided biliary drainage in comparison with percutaneous biliary drainage when ERCP fails: a systematic review and meta-analysis.内镜超声引导下胆道引流术与经皮经肝胆道引流术在ERCP失败时的疗效及安全性比较:一项系统评价和荟萃分析
Gastrointest Endosc. 2017 May;85(5):904-914. doi: 10.1016/j.gie.2016.12.023. Epub 2017 Jan 4.
8
EUS-guided choledochoduodenostomy for malignant distal biliary obstruction using a lumen-apposing fully covered metal stent after failed ERCP.内镜超声引导下使用管腔对合全覆膜金属支架行胆总管十二指肠吻合术治疗ERCP失败后的恶性远端胆管梗阻
Surg Endosc. 2016 Nov;30(11):5002-5008. doi: 10.1007/s00464-016-4845-6. Epub 2016 Mar 11.
9
Endoscopic Ultrasound-Guided Biliary Drainage: A Systematic Review and Meta-Analysis.内镜超声引导下胆道引流:一项系统评价与荟萃分析。
Dig Dis Sci. 2016 Mar;61(3):684-703. doi: 10.1007/s10620-015-3933-0. Epub 2015 Oct 30.
10
EUS-guided drainage of pancreatic fluid collections using a novel lumen-apposing metal stent on an electrocautery-enhanced delivery system: a large retrospective study (with video).使用电灼增强输送系统上的新型管腔贴附金属支架进行超声内镜引导下胰液积聚引流:一项大型回顾性研究(附视频)
Gastrointest Endosc. 2015 Dec;82(6):1039-46. doi: 10.1016/j.gie.2015.04.006. Epub 2015 May 23.