Suppr超能文献

儿童三种主要原发性恶性非肾母细胞瘤的影像学特征及差异。

Imaging features and differences among the three primary malignant non-Wilms tumors in children.

机构信息

Department of Radiology, Beijing Children's Hospital, Capital Medical University, National Center for Children's Health, 56 Nanlishi Road, Xicheng District, Beijing, China, 100045.

Department of Pediatric Urology, Beijing Children's Hospital, Capital Medical University, National Center for Children's Health, 56 Nanlishi Road, Xicheng District, Beijing, China, 100045.

出版信息

BMC Med Imaging. 2021 Dec 1;21(1):181. doi: 10.1186/s12880-021-00715-z.

Abstract

BACKGROUND

The pathology, treatment and prognosis of malignant non-Wilms tumors (NWTs) are different, so it is necessary to differentiate these types of tumors. The purpose of this study was to review the clinical and imaging features of malignant NWTs and features of tumor metastasis.

METHODS

We retrospectively analyzed the CT images of 65 pediatric patients with NWTs from March 2008 to July 2020, mainly including clear cell sarcoma of the kidney (CCSK), malignant rhabdomyoma tumor of the kidney (MRTK) and renal cell carcinoma (RCC). Available pretreatment contrast-enhanced abdominal CT examinations were reviewed. The clinical features of the patients, imaging findings of the primary mass, and locoregional metastasis patterns were evaluated in correlation with pathological and surgical findings.

RESULTS

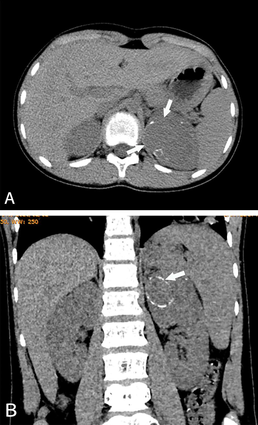
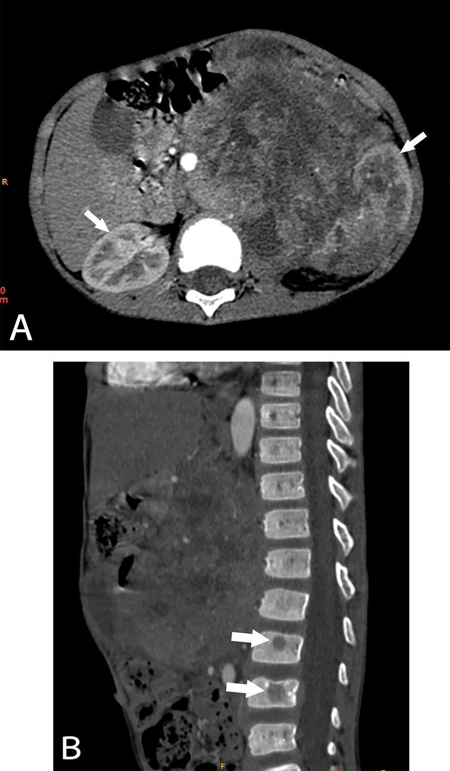
The study included CCSK (22 cases), MRTK (27 cases) and RCC (16 cases). There were no significant differences observed among the sex ratios of CCSK, MRTK and RCC (all P > 0.05). Among the three tumors, the onset age of MRTK patients was the smallest, while that of RCC patients was the largest (all P < 0.05). The tumor diameter of CCSK was larger than that of MRTK and RCC (all P < 0.001). For hemorrhage and necrosis, the proportion of MRTK patients was larger than that of the other two tumors (P = 0.017). For calcification in tumors, the proportion of calcification in RCC was highest (P = 0.009). Only MRTK showed subcapsular fluid (P < 0.001). In the arterial phase, the proportion of slight enhancement in RCC was lower than that in the other two tumors (P = 0.007), and the proportion of marked enhancement was the highest (P = 0.002). In the venous phase, the proportion of slight enhancement in RCC was lower than that in the other two tumors (P < 0.001). Only CCSK had bone metastasis. There was no liver and lung metastasis in RCC.

CONCLUSIONS

NWTs have their own imaging and clinical manifestations. CCSK can cause vertebral metastasis, MRTK can cause subcapsular effusion, and RCC tumor density is usually high and calcification. These diagnostic points can play a role in clinical diagnosis.

摘要

背景

恶性非 Wilms 肿瘤(NWT)的病理学、治疗和预后不同,因此需要对这些类型的肿瘤进行鉴别。本研究的目的是回顾性分析 65 例儿童恶性 NWT 的临床和影像学特征及肿瘤转移特征。

方法

我们回顾性分析了 2008 年 3 月至 2020 年 7 月间 65 例 NWT 患儿的 CT 图像,主要包括肾透明细胞肉瘤(CCSK)、肾恶性横纹肌样瘤(MRTK)和肾细胞癌(RCC)。回顾分析了所有患儿术前增强腹部 CT 检查。将患者的临床特征、原发肿块的影像学表现与病理和手术结果进行了相关性评估。

结果

本研究包括 CCSK(22 例)、MRTK(27 例)和 RCC(16 例)。CCSK、MRTK 和 RCC 患儿的性别比例无显著差异(均 P>0.05)。在这三种肿瘤中,MRTK 患儿的发病年龄最小,而 RCC 患儿的发病年龄最大(均 P<0.05)。CCSK 肿瘤的直径大于 MRTK 和 RCC(均 P<0.001)。在出血和坏死方面,MRTK 患儿的比例大于其他两种肿瘤(P=0.017)。在肿瘤钙化方面,RCC 的钙化比例最高(P=0.009)。只有 MRTK 表现为包膜下积液(P<0.001)。在动脉期,RCC 轻度强化的比例低于其他两种肿瘤(P=0.007),显著强化的比例最高(P=0.002)。在静脉期,RCC 轻度强化的比例低于其他两种肿瘤(P<0.001)。只有 CCSK 发生骨转移。RCC 无肝、肺转移。

结论

NWT 具有其自身的影像学和临床表现。CCSK 可引起椎体转移,MRTK 可引起包膜下积液,RCC 肿瘤密度通常较高且有钙化。这些诊断要点可在临床诊断中发挥作用。

https://cdn.ncbi.nlm.nih.gov/pmc/blobs/fe2e/8638146/8ea683d65b5e/12880_2021_715_Fig1_HTML.jpg

文献检索

告别复杂PubMed语法,用中文像聊天一样搜索,搜遍4000万医学文献。AI智能推荐,让科研检索更轻松。

立即免费搜索

文件翻译

保留排版,准确专业,支持PDF/Word/PPT等文件格式,支持 12+语言互译。

免费翻译文档

深度研究

AI帮你快速写综述,25分钟生成高质量综述,智能提取关键信息,辅助科研写作。

立即免费体验