Moeen Zunera, Aliuddin Ammar M, Gray Wlazlo Taylor, Majid Hira, Kolli Swapna
Internal Medicine, Texas Tech University Health Sciences Center, Odessa, USA.
Internal Medicine, University of Cincinnati College of Medicine, Cincinnati, USA.
Cureus. 2021 Oct 24;13(10):e19015. doi: 10.7759/cureus.19015. eCollection 2021 Oct.
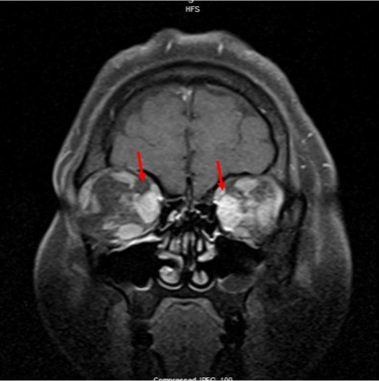
Thyroid eye disease (TED), also known as Graves' orbitopathy or ophthalmopathy (GO) or Graves' eye disease, is an autoimmune condition of the retroocular tissues associated with Graves' disease. In isolated GO, the patient can present without thyroid hormone dysfunction or systemic symptoms of Graves' disease, in which case it is called euthyroid Graves' ophthalmopathy (EGO). It is very rare for this condition to have negative thyroid-stimulating hormone receptor (TSHR) autoantibodies, and we present such a rare case of a young female, who had progressive bilateral vision loss, intermittent left-sided retroocular headache, and severe bilateral proptosis. The patient was diagnosed with EGO based on multidisciplinary consults, diagnostic orbital magnetic resonance imaging (MRI) results, and a good response to treatment with intravenous steroids. Later, the patient was followed as an outpatient and treated with thyroid orbitopathy-specific immunotherapy with teprotumumab. The patient's response to teprotumumab was excellent and caused significant improvement in visual acuity, proptosis, and chemosis. This adds valuable literature to the medical field and gives insight to clinicians to consider the diagnosis of GO even with seronegative TSHR autoantibodies and euthyroid hormone status. It also adds to the understanding of the complex pathophysiology of this rare condition.
甲状腺眼病(TED),也称为格雷夫斯眶病或眼病(GO)或格雷夫斯眼病,是一种与格雷夫斯病相关的眼后组织自身免疫性疾病。在孤立性GO中,患者可能没有甲状腺激素功能障碍或格雷夫斯病的全身症状,在这种情况下称为甲状腺功能正常的格雷夫斯眼病(EGO)。这种疾病出现甲状腺刺激素受体(TSHR)自身抗体阴性的情况非常罕见,我们报告了这样一例罕见的年轻女性病例,她有进行性双侧视力丧失、间歇性左侧眼后头痛和严重双侧眼球突出。基于多学科会诊、眼眶磁共振成像(MRI)诊断结果以及静脉注射类固醇治疗的良好反应,该患者被诊断为EGO。后来,患者作为门诊病人接受随访,并接受了用替普罗单抗进行的甲状腺眼病特异性免疫治疗。患者对替普罗单抗的反应良好,视力、眼球突出和球结膜水肿均有显著改善。这为医学领域增添了有价值的文献,并使临床医生即使在TSHR自身抗体阴性和甲状腺激素水平正常的情况下也能考虑GO的诊断。这也增加了对这种罕见疾病复杂病理生理学的理解。