• 文献检索
  • 文档翻译
  • 深度研究
  • 学术资讯
  • Suppr Zotero 插件Zotero 插件
  • 邀请有礼
  • 套餐&价格
  • 历史记录
应用&插件
Suppr Zotero 插件Zotero 插件浏览器插件Mac 客户端Windows 客户端微信小程序
定价
高级版会员购买积分包购买API积分包
服务
文献检索文档翻译深度研究API 文档MCP 服务
关于我们
关于 Suppr公司介绍联系我们用户协议隐私条款
关注我们

Suppr 超能文献

核心技术专利:CN118964589B侵权必究
粤ICP备2023148730 号-1Suppr @ 2026

文献检索

告别复杂PubMed语法,用中文像聊天一样搜索,搜遍4000万医学文献。AI智能推荐,让科研检索更轻松。

立即免费搜索

文件翻译

保留排版,准确专业,支持PDF/Word/PPT等文件格式,支持 12+语言互译。

免费翻译文档

深度研究

AI帮你快速写综述,25分钟生成高质量综述,智能提取关键信息,辅助科研写作。

立即免费体验

良性肋骨肿瘤:来自尼泊尔三级医疗中心的病例系列及文献综述。

Benign rib tumors: a case series from tertiary care Centre of Nepal and review of literature.

作者信息

Jaiswal Lokesh Shekher, Neupane Durga

机构信息

Department of Surgery, B P Koirala Institute of Health Sciences (BPKIHS), Dharan, Nepal.

出版信息

J Surg Case Rep. 2021 Nov 29;2021(11):rjab518. doi: 10.1093/jscr/rjab518. eCollection 2021 Nov.

DOI:10.1093/jscr/rjab518
PMID:34858577
原文链接:https://pmc.ncbi.nlm.nih.gov/articles/PMC8634075/
Abstract

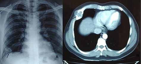
Rib tumors are rare. They can present with wide varieties of symptoms and differentiating benign from malignant lesions is challenging. A careful history and supporting investigations can help to reach the definite diagnosis. Surgical resection is the treatment of choice with excellent prognosis. A total of four patients were operated for the management of rib tumors over a period of 5 years at our institution. All four were benign lesions and included simple bone cyst, fibrous dysplasia with aneurysmal bone cyst, aneurysmal bone cyst and enchondroma. There were three male and one female. None of them is having recurrence till now. Surgical resection is the treatment of choice for benign rib tumors as it provides diagnostic and curative treatment.

摘要

肋骨肿瘤较为罕见。它们可表现出各种各样的症状,区分良性与恶性病变具有挑战性。详细的病史和辅助检查有助于明确诊断。手术切除是首选的治疗方法,预后良好。在我们机构的5年时间里,共有4例患者接受了肋骨肿瘤手术治疗。所有4例均为良性病变,包括单纯骨囊肿、伴有动脉瘤样骨囊肿的纤维发育不良、动脉瘤样骨囊肿和内生软骨瘤。其中男性3例,女性1例。至今无一例复发。手术切除是良性肋骨肿瘤的首选治疗方法,因为它兼具诊断和治疗作用。

https://cdn.ncbi.nlm.nih.gov/pmc/blobs/3709/8634075/98603ddb4271/rjab518f3.jpg
https://cdn.ncbi.nlm.nih.gov/pmc/blobs/3709/8634075/8f71e72f5bc4/rjab518f1.jpg
https://cdn.ncbi.nlm.nih.gov/pmc/blobs/3709/8634075/7a1cb2b7bdf7/rjab518f2.jpg
https://cdn.ncbi.nlm.nih.gov/pmc/blobs/3709/8634075/98603ddb4271/rjab518f3.jpg
https://cdn.ncbi.nlm.nih.gov/pmc/blobs/3709/8634075/8f71e72f5bc4/rjab518f1.jpg
https://cdn.ncbi.nlm.nih.gov/pmc/blobs/3709/8634075/7a1cb2b7bdf7/rjab518f2.jpg
https://cdn.ncbi.nlm.nih.gov/pmc/blobs/3709/8634075/98603ddb4271/rjab518f3.jpg

相似文献

1
Benign rib tumors: a case series from tertiary care Centre of Nepal and review of literature.良性肋骨肿瘤:来自尼泊尔三级医疗中心的病例系列及文献综述。
J Surg Case Rep. 2021 Nov 29;2021(11):rjab518. doi: 10.1093/jscr/rjab518. eCollection 2021 Nov.
2
Rib tumors: a 15-year experience.肋骨肿瘤:15年经验总结
Gen Thorac Cardiovasc Surg. 2014 Jul;62(7):434-40. doi: 10.1007/s11748-014-0387-9. Epub 2014 Mar 11.
3
Aneurysmal bone cyst of the rib: a case report.肋骨动脉瘤样骨囊肿:一例报告
Chir Ital. 2006 May-Jun;58(3):403-6.
4
Locally aggressive fibrous dysplasia mimicking malignancy: a report of four cases and review of the literature.酷似恶性肿瘤的局部侵袭性骨纤维异常增殖症:4例报告并文献复习
Clin Orthop Relat Res. 2015 Feb;473(2):742-50. doi: 10.1007/s11999-014-3926-x. Epub 2014 Sep 12.
5
Bone Tumors: Benign Bone Tumors.骨肿瘤:良性骨肿瘤
FP Essent. 2020 Jun;493:11-21.
6
Aneurysmal bone cyst of the rib: a case report.肋骨动脉瘤样骨囊肿:一例报告
J Med Case Rep. 2009 Sep 9;3:8457. doi: 10.4076/1752-1947-3-8457.
7
[Fibrous dysplasia of the rib. Ten case reports].[肋骨纤维发育不良。十例病例报告]
Rev Chir Orthop Reparatrice Appar Mot. 2008 May;94(3):301-7. doi: 10.1016/j.rco.2007.04.001. Epub 2008 Feb 20.
8
Cytodiagnosis of benign fibrous histiocytoma of rib and diagnostic dilemma: a case report.肋骨良性纤维组织细胞瘤的细胞诊断及诊断困境:一例报告
Diagn Cytopathol. 2010 Jun;38(6):457-60. doi: 10.1002/dc.21245.
9
Aneurysmal rib cyst.动脉瘤样骨囊肿
Monaldi Arch Chest Dis. 2017 Sep 22;87(3):860. doi: 10.4081/monaldi.2017.860.
10
Aneurysmal bone cyst of the rib in a child: report of a case.儿童肋骨动脉瘤样骨囊肿:一例报告
Surg Today. 2005;35(10):886-9. doi: 10.1007/s00595-005-3020-9.

引用本文的文献

1
A Review of Posteromedial Lesions of the Chest Wall: What Should a Chest Radiologist Know?胸壁后内侧病变综述:胸部放射科医生应该了解什么?
Diagnostics (Basel). 2022 Jan 25;12(2):301. doi: 10.3390/diagnostics12020301.

本文引用的文献

1
Rib tumors: a 15-year experience.肋骨肿瘤:15年经验总结
Gen Thorac Cardiovasc Surg. 2014 Jul;62(7):434-40. doi: 10.1007/s11748-014-0387-9. Epub 2014 Mar 11.
2
Outcomes of surgery for chest wall sarcomas.胸壁肉瘤的手术治疗结果。
Thorac Surg Clin. 2010 Nov;20(4):535-42. doi: 10.1016/j.thorsurg.2010.07.005. Epub 2010 Aug 30.
3
Primary chest wall tumors.原发性胸壁肿瘤。
Thorac Surg Clin. 2010 Nov;20(4):495-507. doi: 10.1016/j.thorsurg.2010.07.003.
4
Primary chest wall tumors.原发性胸壁肿瘤
J Am Coll Surg. 2010 Mar;210(3):360-6. doi: 10.1016/j.jamcollsurg.2009.11.012. Epub 2009 Dec 22.
5
Management of primary chest wall tumors: 14 years' clinical experience.原发性胸壁肿瘤的管理:14年临床经验
J Chin Med Assoc. 2006 Aug;69(8):377-82. doi: 10.1016/s1726-4901(09)70276-x.
6
Benign primary tumours of the ribs.肋骨原发性良性肿瘤
Clin Radiol. 2006 Apr;61(4):314-22. doi: 10.1016/j.crad.2005.12.005.
7
Chest wall tumors: radiologic findings and pathologic correlation: part 2. Malignant tumors.胸壁肿瘤:影像学表现与病理对照:第2部分。恶性肿瘤。
Radiographics. 2003 Nov-Dec;23(6):1491-508. doi: 10.1148/rg.236015527.
8
Chest wall tumors: radiologic findings and pathologic correlation: part 1. Benign tumors.胸壁肿瘤:影像学表现与病理对照:第1部分。良性肿瘤。
Radiographics. 2003 Nov-Dec;23(6):1477-90. doi: 10.1148/rg.236015526.
9
Surgical treatment of primary malignant chest wall tumours.原发性恶性胸壁肿瘤的外科治疗
Eur J Cardiothorac Surg. 1997 Jun;11(6):1011-6. doi: 10.1016/s1010-7940(97)00090-0.
10
Chest wall tumors.
Curr Probl Surg. 1995 Aug;32(8):661-747. doi: 10.1016/s0011-3840(05)80007-3.