Suppr超能文献

糖皮质激素受体调节胰腺癌细胞中的 PD-L1 和 MHC-I 以促进免疫逃逸和免疫治疗耐药性。

Glucocorticoid receptor regulates PD-L1 and MHC-I in pancreatic cancer cells to promote immune evasion and immunotherapy resistance.

机构信息

Department of Experimental Radiation Oncology, The University of Texas MD Anderson Cancer Center, Houston, TX, 77030, USA.

Department of Molecular and Cellular Oncology, The University of Texas MD Anderson Cancer Center, Houston, TX, 77030, USA.

出版信息

Nat Commun. 2021 Dec 6;12(1):7041. doi: 10.1038/s41467-021-27349-7.

Abstract

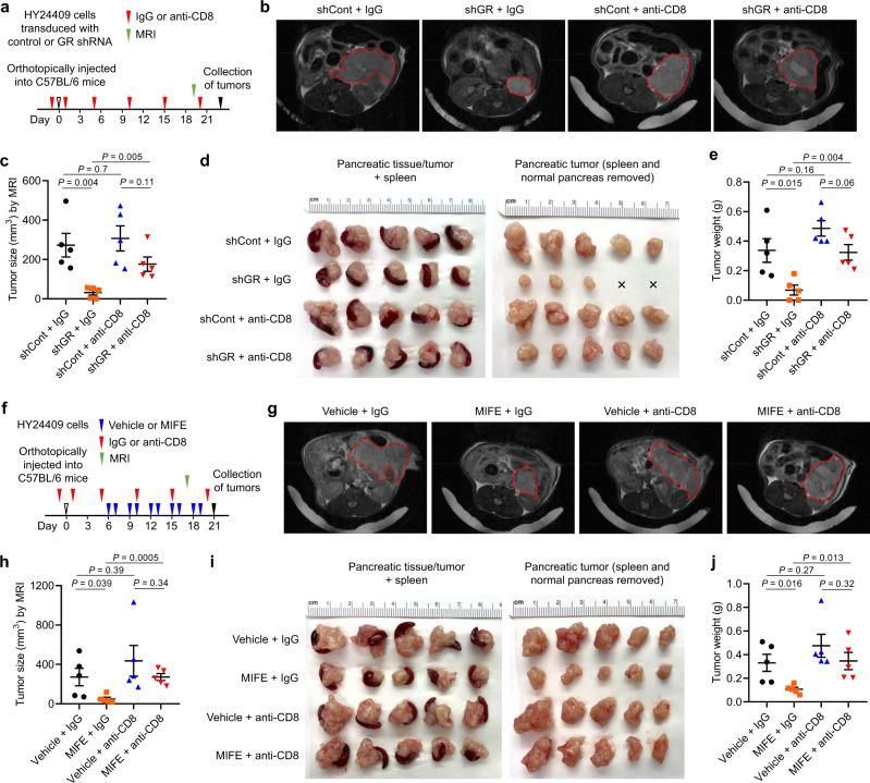
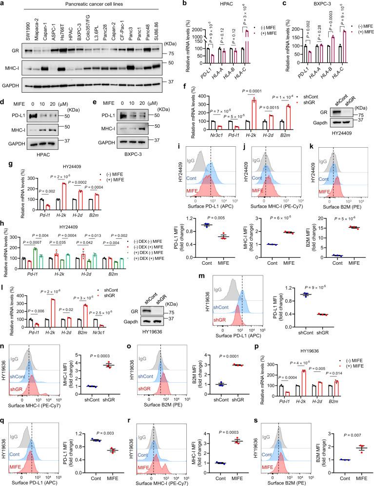
Despite unprecedented responses of some cancers to immune checkpoint blockade (ICB) therapies, the application of checkpoint inhibitors in pancreatic cancer has been unsuccessful. Glucocorticoids and glucocorticoid receptor (GR) signaling are long thought to suppress immunity by acting on immune cells. Here we demonstrate a previously undescribed tumor cell-intrinsic role for GR in activating PD-L1 expression and repressing the major histocompatibility complex class I (MHC-I) expression in pancreatic ductal adenocarcinoma (PDAC) cells through transcriptional regulation. In mouse models of PDAC, either tumor cell-specific depletion or pharmacologic inhibition of GR leads to PD-L1 downregulation and MHC-I upregulation in tumor cells, which in turn promotes the infiltration and activity of cytotoxic T cells, enhances anti-tumor immunity, and overcomes resistance to ICB therapy. In patients with PDAC, GR expression correlates with high PD-L1 expression, low MHC-I expression, and poor survival. Our results reveal GR signaling in cancer cells as a tumor-intrinsic mechanism of immunosuppression and suggest that therapeutic targeting of GR is a promising way to sensitize pancreatic cancer to immunotherapy.

摘要

尽管一些癌症对免疫检查点阻断 (ICB) 治疗有前所未有的反应,但检查点抑制剂在胰腺癌中的应用并不成功。糖皮质激素和糖皮质激素受体 (GR) 信号长期以来被认为通过作用于免疫细胞来抑制免疫。在这里,我们通过转录调控证明了 GR 在胰腺导管腺癌 (PDAC) 细胞中激活 PD-L1 表达和抑制主要组织相容性复合体 I 类 (MHC-I) 表达的以前未描述的肿瘤细胞内在作用。在 PDAC 的小鼠模型中,肿瘤细胞特异性缺失或 GR 的药理学抑制导致肿瘤细胞中 PD-L1 的下调和 MHC-I 的上调,这反过来又促进了细胞毒性 T 细胞的浸润和活性,增强了抗肿瘤免疫,并克服了对 ICB 治疗的耐药性。在 PDAC 患者中,GR 表达与 PD-L1 表达高、MHC-I 表达低和生存不良相关。我们的结果揭示了癌细胞中的 GR 信号是免疫抑制的肿瘤内在机制,并表明靶向 GR 的治疗是使胰腺癌对免疫治疗敏感的一种有前途的方法。

https://cdn.ncbi.nlm.nih.gov/pmc/blobs/98f7/8649069/265f42ee6a37/41467_2021_27349_Fig1_HTML.jpg

文献检索

告别复杂PubMed语法,用中文像聊天一样搜索,搜遍4000万医学文献。AI智能推荐,让科研检索更轻松。

立即免费搜索

文件翻译

保留排版,准确专业,支持PDF/Word/PPT等文件格式,支持 12+语言互译。

免费翻译文档

深度研究

AI帮你快速写综述,25分钟生成高质量综述,智能提取关键信息,辅助科研写作。

立即免费体验