Suppr超能文献

β-重型地中海贫血患儿全景放射形态计量指标的改变:分形分析研究。

Alterations of panoramic radiomorphometric indices in children and adolescents with beta-thalassemia major: A fractal analysis study.

机构信息

Department of Oral and Maxillofacial Radiology University of Akdeniz, Antalya, Turkey

出版信息

Med Oral Patol Oral Cir Bucal. 2022 Jan 1;27(1):e10-e17. doi: 10.4317/medoral.24784.

Abstract

BACKGROUND

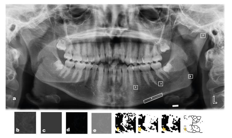
Beta-thalassemia major is an inherited disorder that can cause bone deformity and loss of bone mineral density. The objective of this study is to evaluate the cortical and trabecular mandibular bone morphology of children and adolescents who have beta-thalassemia major (ß-TM) using a fractal dimension (FD) analysis and different panoramic radiomorphometric indices with digital panoramic radiographic images (DPRIs).

MATERIAL AND METHODS

The study included 80 patients (with 40 patients each of ß-TM and control). The mandibular cortical width (MCW), panoramic mandibular index (PMI), mandibular cortical index (MCI), and simple visual estimation (SVE) were evaluated, and an FD analysis of five regions of interest (ROIs) (ROI 1: in basal cortical bone; ROI 2: in premolar region; ROI 3: in molar region; ROI 4: in angulus mandible and ROI 5: in condyle region) was obtained in all DPRIs. Quantitative variables were analyzed using the student's t-test , Kruskal-Wallis and Mann-Whitney U tests.

RESULTS

When the ß-TM groups were compared with controls, there were no statistically significant differences found in the mean FD values, the ROIs of the trabecular bone, or the SVE. There was a significant correlation in the mean MCW, PMI, ROI of cortical bone (ROI 1), and MCI between ß-TM and control groups (p < 0.001, p < 0.001, p = 0.047, and p = 0.046, respectively). The mean MCW values correlated with the SVE in both the ß-TM and control groups (p = 0.031 and p < 0.001, respectively). While the mean MCW values correlated with the MCI (p = 0.04) in the control group, the mean MCW values were not correlated with the MCI (p = 0.493) in ß-TM group.

CONCLUSIONS

The current study revealed lower MCW and PMI values in the ß-TM group. While the mean FD values of trabecular bone is similar to the control groups, the mean FD value is lower in cortical bone in the ß-TM group. MCW, PMI, FD of cortical bone and MCI may be key indicators in individuals with beta-thalassemia major.

摘要

背景

重型β地中海贫血是一种遗传性疾病,可导致骨骼畸形和骨密度丧失。本研究的目的是使用分形维数(FD)分析和不同的全景放射形态测量指数以及数字全景射线照相图像(DPRIs)来评估患有β地中海贫血(ß-TM)的儿童和青少年的下颌骨皮质和小梁骨形态。

材料与方法

该研究纳入了 80 名患者(每组 40 名ß-TM 和对照组)。评估了下颌骨皮质宽度(MCW)、全景下颌指数(PMI)、下颌皮质指数(MCI)和简单视觉估计(SVE),并在所有 DPRIs 中获得了五个感兴趣区域(ROI)的 FD 分析(ROI1:在基底皮质骨中;ROI2:在前磨牙区;ROI3:在磨牙区;ROI4:在下颌角区;ROI5:在髁突区)。使用学生 t 检验、Kruskal-Wallis 和 Mann-Whitney U 检验分析定量变量。

结果

当将ß-TM 组与对照组进行比较时,在 FD 值平均值、小梁骨 ROI 或 SVE 方面均无统计学意义。在 MCW、PMI、皮质骨 ROI(ROI1)和 MCI 的平均值方面,ß-TM 组与对照组之间存在显著相关性(p<0.001、p<0.001、p=0.047 和 p=0.046)。在ß-TM 和对照组中,MCW 值平均值与 SVE 呈正相关(p=0.031 和 p<0.001)。而在对照组中,MCW 值平均值与 MCI 呈正相关(p=0.04),而在ß-TM 组中,MCW 值平均值与 MCI 无相关性(p=0.493)。

结论

本研究显示ß-TM 组的 MCW 和 PMI 值较低。虽然小梁骨的平均 FD 值与对照组相似,但在ß-TM 组中,皮质骨的平均 FD 值较低。MCW、PMI、皮质骨 FD 和 MCI 可能是β地中海贫血个体的关键指标。

https://cdn.ncbi.nlm.nih.gov/pmc/blobs/2db3/8719792/540d1c152d36/medoral-27-e10-g001.jpg

文献检索

告别复杂PubMed语法,用中文像聊天一样搜索,搜遍4000万医学文献。AI智能推荐,让科研检索更轻松。

立即免费搜索

文件翻译

保留排版,准确专业,支持PDF/Word/PPT等文件格式,支持 12+语言互译。

免费翻译文档

深度研究

AI帮你快速写综述,25分钟生成高质量综述,智能提取关键信息,辅助科研写作。

立即免费体验