Suppr超能文献

配对细胞学样本与手术样本中胰腺导管腺癌程序性死亡配体1免疫染色的比较

Comparison of programmed death ligand 1 immunostaining for pancreatic ductal adenocarcinoma between paired cytological and surgical samples.

作者信息

Muggilli Michael, Russell Donna, Zhou Zhongren

机构信息

Department of Pathology and Laboratory Medicne, Oklahoma, United States.

Department of Pathology and Laboratory Medicine, University of Rochester, Rochester, New Jersey, United States.

出版信息

Cytojournal. 2021 Nov 3;18:28. doi: 10.25259/Cytojournal_78_2020. eCollection 2021.

Abstract

OBJECTIVES

Pancreatic ductal adenocarcinoma (PDAC) has a poor prognosis with surgery or chemotherapy. Programmed death ligand 1 expression (PD-L1) immunotherapy has been successful for treating lung and other cancers with PD-L1 expression. However, in many unresectable PDAC cases, cytological samples are the only available tissues for PD-L1 testing. The aim of this study is to retrospectively compare the expression of PD-L1 using cytological and surgical samples.

MATERIAL AND METHODS

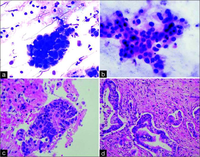
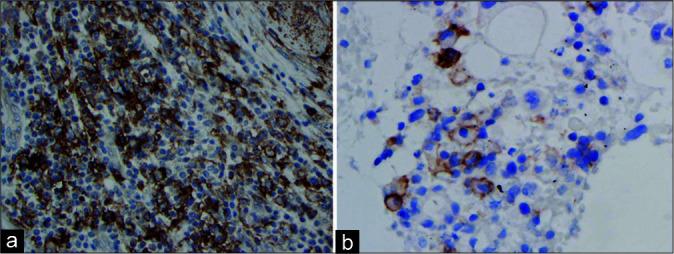
Paired formalin-fixed cell blocks and surgical samples from the same patients with confirmed diagnoses of PDAC ( = 28) were sectioned for PD-L1 immunohistochemistry. Using tumor proportion score (TPS) and combined positive score (CPS) to evaluate paired cell blocks and surgical samples, we counted and analyzed the data.

RESULTS

With TPS, the PD-L1 was expressed in 9/28 (32%) of PDAC surgical samples and in 9/28 (32%) of paired cytological samples. Overall, the PD-L1 expression had a correlation of 26/28 (93%). With CPS, the PD-L1 was expressed in 20/28 (71%) of PDAC surgical samples and in 16/28 (57%) of paired cytological samples. The PD-L1 expression had a correlation of 20/28 (71%) and a discrepancy of 8/28 (29%). The PD-L1 expression was significantly higher in moderately-differentiated PDAC than in well-differentiated with TPS.

CONCLUSION

Cytological samples are useful for evaluating PD-L1 expression with TPS because the concordant rate was 93%. With CPS, cytological samples are limited due to the scant inflammatory cells with the concordant rate of 71%. Extensive sampling of the pancreatic tumor may improve the detection of immune cells expressing PD-L1 in cytological samples. With TPS, PD-L1 expression was significantly higher in moderate-differentiation of PDAC than in poor- and well-differentiation.

摘要

目的

胰腺导管腺癌(PDAC)无论是手术治疗还是化疗,预后都很差。程序性死亡配体1表达(PD-L1)免疫疗法已成功用于治疗有PD-L1表达的肺癌和其他癌症。然而,在许多不可切除的PDAC病例中,细胞学样本是唯一可用于PD-L1检测的组织。本研究的目的是回顾性比较使用细胞学样本和手术样本检测的PD-L1表达情况。

材料与方法

对确诊为PDAC的28例患者的配对福尔马林固定细胞块和手术样本进行切片,用于PD-L1免疫组织化学检测。使用肿瘤比例评分(TPS)和联合阳性评分(CPS)来评估配对的细胞块和手术样本,对数据进行计数和分析。

结果

采用TPS时,PD-L1在28例PDAC手术样本中的9例(32%)中表达,在配对的细胞学样本中的9例(32%)中表达。总体而言,PD-L1表达的相关性为28例中的26例(93%)。采用CPS时,PD-L1在28例PDAC手术样本中的20例(71%)中表达,在配对的细胞学样本中的16例(57%)中表达。PD-L1表达的相关性为28例中的20例(71%),差异为28例中的8例(29%)。采用TPS时,中分化PDAC的PD-L1表达明显高于高分化PDAC。

结论

细胞学样本对于用TPS评估PD-L1表达很有用,因为一致性率为93%。采用CPS时,由于炎症细胞稀少,细胞学样本存在局限性,一致性率为71%。对胰腺肿瘤进行广泛采样可能会提高在细胞学样本中检测表达PD-L1的免疫细胞的能力。采用TPS时,PD-L1在中分化PDAC中的表达明显高于低分化和高分化PDAC。

https://cdn.ncbi.nlm.nih.gov/pmc/blobs/01c3/8645468/3f0a178e1d2e/Cytojournal-18-28-g001.jpg

文献AI研究员

20分钟写一篇综述,助力文献阅读效率提升50倍。

立即体验

用中文搜PubMed

大模型驱动的PubMed中文搜索引擎

马上搜索

文档翻译

学术文献翻译模型,支持多种主流文档格式。

立即体验