• 文献检索
  • 文档翻译
  • 深度研究
  • 学术资讯
  • Suppr Zotero 插件Zotero 插件
  • 邀请有礼
  • 套餐&价格
  • 历史记录
应用&插件
Suppr Zotero 插件Zotero 插件浏览器插件Mac 客户端Windows 客户端微信小程序
定价
高级版会员购买积分包购买API积分包
服务
文献检索文档翻译深度研究API 文档MCP 服务
关于我们
关于 Suppr公司介绍联系我们用户协议隐私条款
关注我们

Suppr 超能文献

核心技术专利:CN118964589B侵权必究
粤ICP备2023148730 号-1Suppr @ 2026

文献检索

告别复杂PubMed语法,用中文像聊天一样搜索,搜遍4000万医学文献。AI智能推荐,让科研检索更轻松。

立即免费搜索

文件翻译

保留排版,准确专业,支持PDF/Word/PPT等文件格式,支持 12+语言互译。

免费翻译文档

深度研究

AI帮你快速写综述,25分钟生成高质量综述,智能提取关键信息,辅助科研写作。

立即免费体验

右大脑中动脉霉菌性动脉瘤破裂及中枢神经系统曲霉菌病的外科治疗:临床病例及文献综述

Surgical treatment of ruptured right middle cerebral artery mycotic aneurysm and central nervous system aspergillosis: Clinical case and literature review.

作者信息

Konovalov Anton, Sharipov Oleg, Shekhtman Oleg, Gadzhiagaev Vadim, Kalinin Pavel

机构信息

Department of Vascular, Burdenko Neurosurgical Center, Moscow, Russian Federation.

Department of Neuroedoscopy, Burdenko Neurosurgical Center, Moscow, Russian Federation.

出版信息

Surg Neurol Int. 2021 Nov 8;12:555. doi: 10.25259/SNI_843_2021. eCollection 2021.

DOI:10.25259/SNI_843_2021
PMID:34877041
原文链接:https://pmc.ncbi.nlm.nih.gov/articles/PMC8645462/
Abstract

BACKGROUND

Central nervous system (CNS) aspergillosis is more often met in patients with expressed immune suppression. Still, in 50% of cases of meningitis caused by spp., it is observed in patients without expressed immune suppression. The prognosis of CNS aspergillosis is unfavorable with the general rate of lethality around 70%.

CASE DESCRIPTION

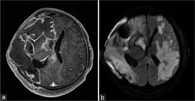
Clinical case of a 58-year-old man who developed an abscess in the chiasmosellar region and an associated mycotic aneurysm of the right middle cerebral artery (MCA) and intracerebral hemorrhage. Microsurgical clipping of the fusiform-ectatic aneurysm of the right MCA in the conditions of rupture was performed. An extra-intracranial micro anastomosis was formed on the right. An open biopsy of the neoplasm in the chiasmosellar region was made. The neoplasm was yellow and destroyed the bone plate of the skull base. Biopsy results: Mycotic lesion (aspergillosis). The analysis of surgical treatment for mycotic aneurysms in the acute period of hemorrhage in patients with aspergillosis revealed a high rate of lethality. The issue of the feasibility and effectiveness of complicated revascularization interventions in the patients with hemorrhage and aspergillosis remains unsolved.

CONCLUSION

The lack of generally accepted tactics of the treatment of this pathology requires further studies and systemic analysis. A high risk of the lethal outcome in patients with invasive mycotic infection and rupture of mycotic aneurysm highlight the importance of timely diagnostics and the beginning of antimycotic therapy. WThe issue of the evaluation of the revascularization methods effectiveness in patients after surgical treatment of a mycotic aneurysm associated with cerebral aspergillosis remains poor.

摘要

背景

中枢神经系统曲霉病在免疫抑制明显的患者中更为常见。然而,在由曲霉属引起的脑膜炎病例中,仍有50%发生在无明显免疫抑制的患者身上。中枢神经系统曲霉病的预后不佳,总体死亡率约为70%。

病例描述

一名58岁男性的临床病例,其在视交叉区域出现脓肿,并伴有右侧大脑中动脉(MCA)霉菌性动脉瘤和脑出血。在动脉瘤破裂的情况下,对右侧MCA的梭形扩张性动脉瘤进行了显微手术夹闭。在右侧进行了颅外-颅内微血管吻合。对视交叉区域的肿瘤进行了开放性活检。肿瘤呈黄色,破坏了颅底骨板。活检结果:霉菌性病变(曲霉病)。对曲霉病患者出血急性期霉菌性动脉瘤的手术治疗分析显示死亡率很高。出血合并曲霉病患者复杂血管重建干预措施的可行性和有效性问题仍未解决。

结论

缺乏针对这种病理状况的普遍接受的治疗策略,需要进一步研究和系统分析。侵袭性霉菌感染和霉菌性动脉瘤破裂患者的高致死风险凸显了及时诊断和开始抗真菌治疗的重要性。与脑曲霉病相关的霉菌性动脉瘤手术治疗后患者血管重建方法有效性的评估问题仍不明确。

https://cdn.ncbi.nlm.nih.gov/pmc/blobs/e4af/8645462/4be517197e7b/SNI-12-555-g006.jpg
https://cdn.ncbi.nlm.nih.gov/pmc/blobs/e4af/8645462/db72c3f176dc/SNI-12-555-g001.jpg
https://cdn.ncbi.nlm.nih.gov/pmc/blobs/e4af/8645462/788ff3aef032/SNI-12-555-g002.jpg
https://cdn.ncbi.nlm.nih.gov/pmc/blobs/e4af/8645462/f6eaddfb37a0/SNI-12-555-g003.jpg
https://cdn.ncbi.nlm.nih.gov/pmc/blobs/e4af/8645462/783ce7552a2c/SNI-12-555-g004.jpg
https://cdn.ncbi.nlm.nih.gov/pmc/blobs/e4af/8645462/bac867f7190b/SNI-12-555-g005.jpg
https://cdn.ncbi.nlm.nih.gov/pmc/blobs/e4af/8645462/4be517197e7b/SNI-12-555-g006.jpg
https://cdn.ncbi.nlm.nih.gov/pmc/blobs/e4af/8645462/db72c3f176dc/SNI-12-555-g001.jpg
https://cdn.ncbi.nlm.nih.gov/pmc/blobs/e4af/8645462/788ff3aef032/SNI-12-555-g002.jpg
https://cdn.ncbi.nlm.nih.gov/pmc/blobs/e4af/8645462/f6eaddfb37a0/SNI-12-555-g003.jpg
https://cdn.ncbi.nlm.nih.gov/pmc/blobs/e4af/8645462/783ce7552a2c/SNI-12-555-g004.jpg
https://cdn.ncbi.nlm.nih.gov/pmc/blobs/e4af/8645462/bac867f7190b/SNI-12-555-g005.jpg
https://cdn.ncbi.nlm.nih.gov/pmc/blobs/e4af/8645462/4be517197e7b/SNI-12-555-g006.jpg

相似文献

1
Surgical treatment of ruptured right middle cerebral artery mycotic aneurysm and central nervous system aspergillosis: Clinical case and literature review.右大脑中动脉霉菌性动脉瘤破裂及中枢神经系统曲霉菌病的外科治疗:临床病例及文献综述
Surg Neurol Int. 2021 Nov 8;12:555. doi: 10.25259/SNI_843_2021. eCollection 2021.
2
Recurrent Stroke and Fatal Ruptured Mycotic Aneurysm Caused by Invasive Infection.复发性中风和致命性感染性真菌性动脉瘤破裂。
WMJ. 2021 Apr;120(1):82-84.
3
Recurrent cerebral aneurysm formation and rupture within a short period due to invasive aspergillosis of the nasal sinus; pathological analysis of the catastrophic clinical course.鼻窦侵袭性曲霉菌病导致短期内复发性脑动脉瘤形成和破裂;灾难性临床病程的病理分析
Int J Clin Exp Pathol. 2015 Oct 1;8(10):13510-22. eCollection 2015.
4
Cerebral Infarction and Subarachnoid Hemorrhage Caused by Central Nervous System Aspergillus Infection.中枢神经系统曲霉菌感染所致脑梗死和蛛网膜下腔出血
World Neurosurg. 2016 Jun;90:705.e9-705.e13. doi: 10.1016/j.wneu.2016.03.021. Epub 2016 Mar 18.
5
Invasive sinus aspergillosis with mycotic aneurysm of the vertebral artery and subarachnoid hemorrhage - Case report.侵袭性鼻窦曲霉菌病伴椎动脉霉菌性动脉瘤及蛛网膜下腔出血——病例报告
Radiol Case Rep. 2021 Jul 16;16(9):2651-2657. doi: 10.1016/j.radcr.2021.06.041. eCollection 2021 Sep.
6
MCA-to-MCA Bypass with Interposition Graft for Ruptured Mycotic Middle Cerebral Artery Aneurysm.采用间置移植物行大脑中动脉至大脑中动脉搭桥术治疗破裂性霉菌性大脑中动脉动脉瘤
World Neurosurg. 2019 Feb;122:195. doi: 10.1016/j.wneu.2018.10.167. Epub 2018 Nov 2.
7
Surgical strategies using cerebral revascularization in complex middle cerebral artery aneurysms.在复杂大脑中动脉瘤中使用脑血运重建的手术策略。
Clin Neurol Neurosurg. 2009 Oct;111(8):670-5. doi: 10.1016/j.clineuro.2009.06.002.
8
Invasive Orbital Apex Aspergillosis with Mycotic Aneurysm Formation and Subarachnoid Hemorrhage in Immunocompetent Patients.免疫功能正常患者发生侵袭性眶尖曲霉病伴霉菌性动脉瘤形成和蛛网膜下腔出血
World Neurosurg. 2017 Jun;102:42-48. doi: 10.1016/j.wneu.2017.02.096. Epub 2017 Feb 27.
9
Aspergillosis of the central nervous system causing subarachnoid hemorrhage from mycotic aneurysm of the basilar artery--case report.中枢神经系统曲霉菌病导致基底动脉霉菌性动脉瘤引起蛛网膜下腔出血——病例报告
Neurol Med Chir (Tokyo). 1990 Aug;30(8):618-23. doi: 10.2176/nmc.30.618.
10
Coil embolization for intracranial aneurysms: an evidence-based analysis.颅内动脉瘤的弹簧圈栓塞术:一项基于证据的分析。
Ont Health Technol Assess Ser. 2006;6(1):1-114. Epub 2006 Jan 1.

引用本文的文献

1
The Potential Diagnostic Trap of Unexpected Intracranial Hyalohyplymycosis-A Case Report and Brief Literature Review.意外性颅内透明质菌病的潜在诊断陷阱——病例报告及文献简要综述
J Clin Med. 2025 Apr 10;14(8):2594. doi: 10.3390/jcm14082594.

本文引用的文献

1
Fungal mycotic aneurysm in a patient with chronic meningoencephalitis.一名患有慢性脑膜脑炎患者的真菌性霉菌性动脉瘤。
Surg Neurol Int. 2020 Jun 6;11:139. doi: 10.25259/SNI_506_2019. eCollection 2020.
2
Fungal aneurism of the right posterior inferior cerebellar artery (PICA).右侧小脑后下动脉(PICA)真菌性动脉瘤。
Med Mycol Case Rep. 2019 Sep 25;26:25-27. doi: 10.1016/j.mmcr.2019.09.004. eCollection 2019 Dec.
3
Fatal Mycotic Aneurysm of the Basilar Artery Caused by in a Patient with Pituitary Adenoma and Meningitis.
垂体腺瘤和脑膜炎患者中由[未提及病因]引起的基底动脉致命性霉菌性动脉瘤
Front Med (Lausanne). 2017 Jul 18;4:113. doi: 10.3389/fmed.2017.00113. eCollection 2017.
4
Invasive Orbital Apex Aspergillosis with Mycotic Aneurysm Formation and Subarachnoid Hemorrhage in Immunocompetent Patients.免疫功能正常患者发生侵袭性眶尖曲霉病伴霉菌性动脉瘤形成和蛛网膜下腔出血
World Neurosurg. 2017 Jun;102:42-48. doi: 10.1016/j.wneu.2017.02.096. Epub 2017 Feb 27.
5
Fungal Internal Carotid Artery Aneurysm Treated by Trapping and High-Flow Bypass: A Case Report and Literature Review.采用血管夹闭和高流量搭桥术治疗真菌性颈内动脉瘤:病例报告及文献综述
Neurol Med Chir (Tokyo). 2016;56(2):89-94. doi: 10.2176/nmc.cr.2015-0206. Epub 2016 Jan 22.
6
True mycotic aneurysm in a patient with gonadotropinoma after trans-sphenoidal surgery.经蝶窦手术后促性腺激素瘤患者发生真性霉菌性动脉瘤。
Surg Neurol Int. 2015 Dec 28;6:193. doi: 10.4103/2152-7806.172697. eCollection 2015.
7
Use and limits of (1-3)-β-d-glucan assay (Fungitell), compared to galactomannan determination (Platelia Aspergillus), for diagnosis of invasive aspergillosis.与半乳甘露聚糖检测(曲霉菌胶体金免疫层析法)相比,(1-3)-β-D-葡聚糖检测(真菌葡聚糖检测试剂盒)在侵袭性曲霉病诊断中的应用及局限性
J Clin Microbiol. 2014 Jul;52(7):2328-33. doi: 10.1128/JCM.03567-13. Epub 2014 Apr 16.
8
Isolated cerebral aspergillosis in immunocompetent patients.免疫功能正常患者的孤立性脑曲霉病。
World Neurosurg. 2014 Jul-Aug;82(1-2):e325-33. doi: 10.1016/j.wneu.2013.09.037. Epub 2013 Sep 25.
9
Aspergillus meningitis: a rare clinical manifestation of central nervous system aspergillosis. Case report and review of 92 cases.曲霉性脑膜炎:中枢神经系统曲霉病的罕见临床表现。病例报告和 92 例病例回顾。
J Infect. 2013 Mar;66(3):218-38. doi: 10.1016/j.jinf.2012.11.003. Epub 2012 Nov 21.
10
EFNS-ENS guidelines for the use of PCR technology for the diagnosis of infections of the nervous system.EFNS-ENS 指南:PCR 技术在神经系统感染诊断中的应用。
Eur J Neurol. 2012 Oct;19(10):1278-91. doi: 10.1111/j.1468-1331.2012.03808.x. Epub 2012 Aug 6.