Suppr超能文献

COVID-19 mRNA 疫苗接种后反复心源性栓塞性卒中:一例报告。

Repeated Cardioembolic Stroke after COVID-19 mRNA Vaccination: A Case Report.

机构信息

Department of Neurology, Matsue Red Cross Hospital.

Department of Neurology, Matsue Red Cross Hospital.

出版信息

J Stroke Cerebrovasc Dis. 2022 Feb;31(2):106233. doi: 10.1016/j.jstrokecerebrovasdis.2021.106233. Epub 2021 Nov 22.

Abstract

OBJECTIVE

There have been no reports suggesting a relationship between the COVID-19 mRNA vaccines that encodes the spike glycoprotein of SARS-CoV-2 and cerebrovascular disease. A case of repeated cardioembolic stroke after vaccination with the BNT162b2 (Pfizer) COVID-19 mRNA vaccine is presented.

METHODS

Imaging and laboratory findings, treatment decisions, and the outcome of this case are presented.

RESULTS

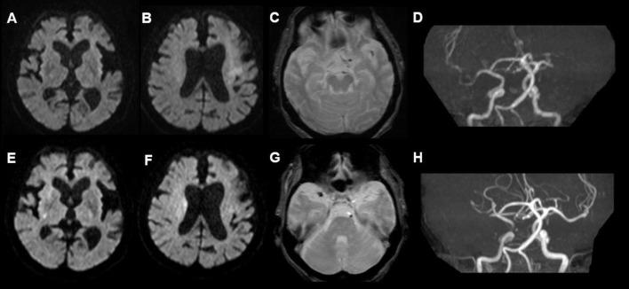
An 83-year-old Japanese woman developed right hemiplegia and motor aphasia three days after receiving her first dose of the BNT162b2 (Pfizer) COVID-19 mRNA vaccine. She had been taking rivaroxaban for persistent atrial fibrillation for 10 years, but had no symptomatic ischemic strokes. On magnetic resonance imaging (MRI) the left middle cerebral artery (MCA) was occluded. Intravenous recombinant tissue-plasminogen activator (rt-PA) therapy and mechanical thrombectomy were performed, and she recovered almost fully. However, three days after the second dose, she developed left hemiplegia and left hemispatial neglect. MRI showed occlusion of the right MCA. Only mechanical thrombectomy was performed again, but it could not be resumed due to the hard thrombus.

DISCUSSION

In this case, it is difficult to exclude a causal relationship between the COVID-19 mRNA vaccine and ischemic stroke. This association needs to be carefully monitored.

摘要

目的

目前尚无报告表明编码 SARS-CoV-2 刺突糖蛋白的 COVID-19 mRNA 疫苗与脑血管疾病之间存在关联。本文报告了一例接种 BNT162b2(辉瑞)COVID-19 mRNA 疫苗后反复心源性脑栓塞的病例。

方法

呈现了该病例的影像学和实验室检查结果、治疗决策及转归。

结果

一名 83 岁日本女性在接种 BNT162b2(辉瑞)COVID-19 mRNA 疫苗第一剂后 3 天出现右侧偏瘫和运动性失语。她因持续性心房颤动已服用利伐沙班 10 年,但无症状性缺血性脑卒中。磁共振成像(MRI)显示左侧大脑中动脉(MCA)闭塞。给予静脉内重组组织型纤溶酶原激活剂(rt-PA)治疗和机械血栓切除术,她几乎完全恢复。然而,在第二剂后 3 天,她出现左侧偏瘫和左侧半空间忽略。MRI 显示右侧 MCA 闭塞。再次仅行机械血栓切除术,但由于血栓过硬,无法恢复。

讨论

在本例中,很难排除 COVID-19 mRNA 疫苗与缺血性脑卒中之间的因果关系。需要仔细监测这种关联。

https://cdn.ncbi.nlm.nih.gov/pmc/blobs/cdbe/8606267/d241aea3292d/gr1_lrg.jpg

相似文献

1
Repeated Cardioembolic Stroke after COVID-19 mRNA Vaccination: A Case Report.
J Stroke Cerebrovasc Dis. 2022 Feb;31(2):106233. doi: 10.1016/j.jstrokecerebrovasdis.2021.106233. Epub 2021 Nov 22.
2
Ischemic stroke shortly after vaccination against SARS-CoV-2: A case-control study.
J Neurol Sci. 2022 May 15;436:120209. doi: 10.1016/j.jns.2022.120209. Epub 2022 Feb 27.
3
Tolerability of COVID-19 Infection and Messenger RNA Vaccination Among Patients With a History of Kawasaki Disease.
JAMA Netw Open. 2022 Aug 1;5(8):e2226236. doi: 10.1001/jamanetworkopen.2022.26236.
4
Myocarditis Following Immunization With mRNA COVID-19 Vaccines in Members of the US Military.
JAMA Cardiol. 2021 Oct 1;6(10):1202-1206. doi: 10.1001/jamacardio.2021.2833.
5
Patients With Acute Myocarditis Following mRNA COVID-19 Vaccination.
JAMA Cardiol. 2021 Oct 1;6(10):1196-1201. doi: 10.1001/jamacardio.2021.2828.
6
Childhood primary angiitis of the central nervous system following COVID-19 vaccination (BNT162b2/Pfizer-BioNtech): A case report.
Hum Vaccin Immunother. 2023 Aug;19(2):2261167. doi: 10.1080/21645515.2023.2261167. Epub 2023 Sep 29.
7
[Cilostazol was effective for capsular warning syndrome during anticoagulant therapy: a case report].
Rinsho Shinkeigaku. 2024 Mar 22;64(3):181-184. doi: 10.5692/clinicalneurol.cn-001927. Epub 2024 Feb 17.
8
Dynamic IgG seropositivity after rollout of CoronaVac and BNT162b2 COVID-19 vaccines in Chile: a sentinel surveillance study.
Lancet Infect Dis. 2022 Jan;22(1):56-63. doi: 10.1016/S1473-3099(21)00479-5. Epub 2021 Sep 9.
9
Carotid free-floating thrombus during COVID-19 vaccine era: causality or not?
Neurol Sci. 2022 Nov;43(11):6179-6183. doi: 10.1007/s10072-022-06307-1. Epub 2022 Aug 3.

引用本文的文献

2
Post-COVID-19 Vaccination CNS Magnetic Resonance Imaging Findings: A Systematic Review.
Can J Infect Dis Med Microbiol. 2023 Jun 29;2023:1570830. doi: 10.1155/2023/1570830. eCollection 2023.
4
Neurological Adverse Reactions to SARS-CoV-2 Vaccines.
Clin Psychopharmacol Neurosci. 2023 May 30;21(2):222-239. doi: 10.9758/cpn.2023.21.2.222.
6
Atrial Fibrillation After mRNA-1273 SARS-CoV-2 Vaccination: Case Report with Literature Review.
Risk Manag Healthc Policy. 2023 Feb 10;16:209-214. doi: 10.2147/RMHP.S402007. eCollection 2023.
7
Transient ischemic attack after mRNA-based COVID-19 vaccination during pregnancy: A case report.
World J Clin Cases. 2022 Sep 26;10(27):9929-9935. doi: 10.12998/wjcc.v10.i27.9929.
8
Safety of COVID-19 Vaccines: Spotlight on Neurological Complications.
Life (Basel). 2022 Aug 29;12(9):1338. doi: 10.3390/life12091338.
9
Acute ischemic stroke and vaccine-induced immune thrombotic thrombocytopenia post COVID-19 vaccination; a systematic review.
J Neurol Sci. 2022 Aug 15;439:120327. doi: 10.1016/j.jns.2022.120327. Epub 2022 Jun 20.
10
Stroke Among SARS-CoV-2 Vaccine Recipients in Mexico: A Nationwide Descriptive Study.
Neurology. 2022 May 10;98(19):e1933-e1941. doi: 10.1212/WNL.0000000000200388. Epub 2022 Mar 11.

本文引用的文献

1
Pathologic Antibodies to Platelet Factor 4 after ChAdOx1 nCoV-19 Vaccination.
N Engl J Med. 2021 Jun 10;384(23):2202-2211. doi: 10.1056/NEJMoa2105385. Epub 2021 Apr 16.
2
Stroke in COVID-19: A systematic review and meta-analysis.
Int J Stroke. 2021 Feb;16(2):137-149. doi: 10.1177/1747493020972922. Epub 2020 Nov 11.
3
COVID-19 and ischemic stroke: a systematic review and meta-summary of the literature.
J Thromb Thrombolysis. 2020 Oct;50(3):587-595. doi: 10.1007/s11239-020-02228-y.
4
Neurological associations of COVID-19.
Lancet Neurol. 2020 Sep;19(9):767-783. doi: 10.1016/S1474-4422(20)30221-0. Epub 2020 Jul 2.

文献AI研究员

20分钟写一篇综述,助力文献阅读效率提升50倍。

立即体验

用中文搜PubMed

大模型驱动的PubMed中文搜索引擎

马上搜索

文档翻译

学术文献翻译模型,支持多种主流文档格式。

立即体验