Department of Pathology and Laboratory Medicine, Institute of Biomedical Sciences, Tokushima University Graduate School, Tokushima 770-8503, Japan.
Department of Molecular Pathology, Institute of Biomedical Sciences, Tokushima University Graduate School, Tokushima 770-8503, Japan.
Int J Mol Sci. 2021 Nov 27;22(23):12844. doi: 10.3390/ijms222312844.
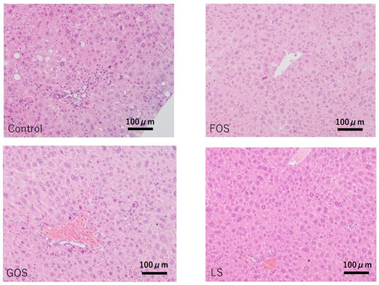
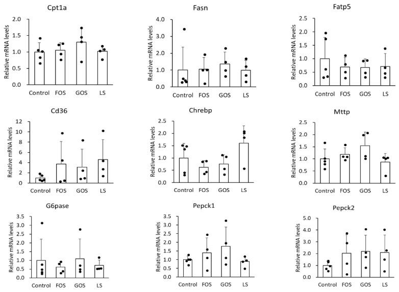
Metabolic syndrome (MS) is a risk factor for type 2 diabetes mellitus, vascular inflammation, atherosclerosis, and renal, liver, and heart diseases. Non-alcoholic steatohepatitis (NASH) is a progressive representative liver disease and may lead to the irreversible calamities of cirrhosis and hepatocellular carcinoma. Metabolic disorders such as hyperglycemia have been broadly reported to be related to hepatocarcinogenesis in NASH; however, direct evidence of a link between hyperglycemia and carcinogenesis is still lacking. Tsumura Suzuki Obese Diabetic (TSOD) mice spontaneously develop metabolic syndrome, including obesity, insulin resistance, and NASH-like liver phenotype, and eventually develop hepatocellular carcinomas. TSOD mice provide a spontaneous human MS-like model, even with significant individual variations. In this study, we monitored mice in terms of their changes in blood glucose levels, body weights, and pancreatic and liver lesions over time. As a result, liver carcinogenesis was delayed in non-hyperglycemic TSOD mice compared to hyperglycemic mice. Moreover, at the termination point of 40 weeks, liver tumors appeared in 18 of 24 (75%) hyperglycemic TSOD mice; in contrast, they only appeared in 5 of 24 (20.8%) non-hyperglycemic mice. Next, we investigated three kinds of oligosaccharide that could lower blood glucose levels in hyperglycemic TSOD mice. We monitored the levels of blood and urinary glucose and assessed pancreatic lesions among the experimental groups. As expected, significantly lower levels of blood and urinary glucose and smaller deletions of Langerhans cells were found in TSOD mice fed with milk-derived oligosaccharides (galactooligosaccharides and lactosucrose). At the age of 24 weeks, mild steatohepatitis was found in the liver but there was no evidence of liver carcinogenesis. Steatosis in the liver was alleviated in the milk-derived oligosaccharide-administered group. Taken together, suppressing the increase in blood glucose level from a young age prevented susceptible individuals from diabetes and the onset of NAFLD/NASH, as well as carcinogenesis. Milk-derived oligosaccharides showed a lowering effect on blood glucose levels, which may be expected to prevent liver carcinogenesis.
代谢综合征(MS)是 2 型糖尿病、血管炎症、动脉粥样硬化以及肾脏、肝脏和心脏疾病的风险因素。非酒精性脂肪性肝炎(NASH)是一种进行性代表性肝病,可能导致肝硬化和肝细胞癌等不可逆转的灾难。高血糖等代谢紊乱已广泛报道与 NASH 中的肝癌发生有关;然而,高血糖与癌变之间直接关联的直接证据仍然缺乏。特松铃木肥胖糖尿病(TSOD)小鼠自发地发展出代谢综合征,包括肥胖、胰岛素抵抗和 NASH 样肝表型,最终发展为肝细胞癌。TSOD 小鼠提供了一种自发性的人类 MS 样模型,即使存在显著的个体差异。在这项研究中,我们监测了随着时间的推移,血糖水平、体重以及胰腺和肝脏病变的变化。结果表明,与高血糖小鼠相比,非高血糖性 TSOD 小鼠的肝致癌作用延迟。此外,在 40 周的终点时,24 只高血糖性 TSOD 小鼠中有 18 只(75%)出现肝肿瘤;相比之下,24 只非高血糖性小鼠中只有 5 只(20.8%)出现肝肿瘤。接下来,我们研究了三种可降低高血糖性 TSOD 小鼠血糖水平的低聚糖。我们监测了实验组的血糖和尿糖水平,并评估了胰腺病变。正如预期的那样,在喂食牛乳来源低聚糖(半乳糖寡糖和乳蔗糖)的 TSOD 小鼠中,发现血糖和尿糖水平显著降低,朗格汉斯细胞缺失较小。在 24 周龄时,发现肝脏有轻度脂肪性肝炎,但没有肝癌发生的证据。在给予牛乳来源低聚糖的组中,肝脏脂肪变性得到缓解。总之,从年轻时开始抑制血糖水平的升高,可以防止易感个体患上糖尿病和非酒精性脂肪性肝病/非酒精性脂肪性肝炎,并防止发生癌变。牛乳来源的低聚糖具有降低血糖水平的作用,有望预防肝癌的发生。