Suppr超能文献

颗粒大小介导体内异物反应及骨替代物的整合行为。

The Granule Size Mediates the In Vivo Foreign Body Response and the Integration Behavior of Bone Substitutes.

作者信息

Abels Manuel, Alkildani Said, Pröhl Annica, Xiong Xin, Krastev Rumen, Korzinskas Tadas, Stojanovic Sanja, Jung Ole, Najman Stevo, Barbeck Mike

机构信息

BerlinAnalytix GmbH, 12109 Berlin, Germany.

Clinic and Policlinic for Dermatology and Venereology, University Medical Center Rostock, 18057 Rostock, Germany.

出版信息

Materials (Basel). 2021 Dec 1;14(23):7372. doi: 10.3390/ma14237372.

Abstract

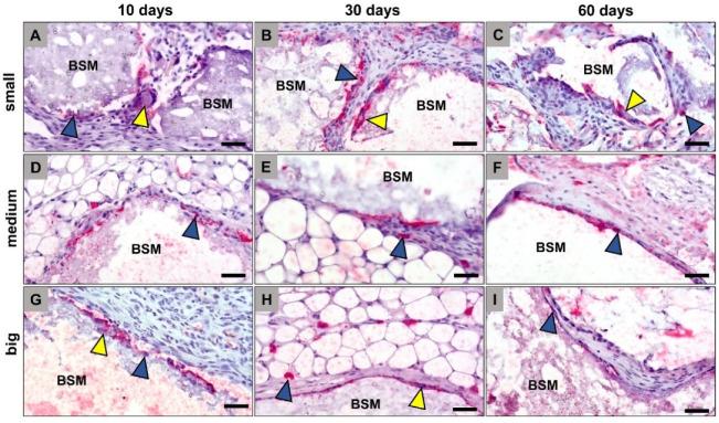
The physicochemical properties of synthetically produced bone substitute materials (BSM) have a major impact on biocompatibility. This affects bony tissue integration, osteoconduction, as well as the degradation pattern and the correlated inflammatory tissue responses including macrophages and multinucleated giant cells (MNGCs). Thus, influencing factors such as size, special surface morphologies, porosity, and interconnectivity have been the subject of extensive research. In the present publication, the influence of the granule size of three identically manufactured bone substitute granules based on the technology of hydroxyapatite (HA)-forming calcium phosphate cements were investigated, which includes the inflammatory response in the surrounding tissue and especially the induction of MNGCs (as a parameter of the material degradation). For the in vivo study, granules of three different size ranges (small = 0.355-0.5 mm; medium = 0.5-1 mm; big = 1-2 mm) were implanted in the subcutaneous connective tissue of 45 male BALB/c mice. At 10, 30, and 60 days , the materials were explanted and histologically processed. The defect areas were initially examined histopathologically. Furthermore, pro- and anti-inflammatory macrophages were quantified histomorphometrically after their immunohistochemical detection. The number of MNGCs was quantified as well using a histomorphometrical approach. The results showed a granule size-dependent integration behavior. The surrounding granulation tissue has passivated in the groups of the two bigger granules at 60 days including a fibrotic encapsulation, while a granulation tissue was still present in the group of the small granules indicating an ongoing cell-based degradation process. The histomorphometrical analysis showed that the number of proinflammatory macrophages was significantly increased in the small granules at 60 days . Similarly, a significant increase of MNGCs was detected in this group at 30 and 60 days Based on these data, it can be concluded that the integration and/or degradation behavior of synthetic bone substitutes can be influenced by granule size.

摘要

合成骨替代材料(BSM)的物理化学性质对生物相容性有重大影响。这会影响骨组织整合、骨传导,以及降解模式和相关的炎症组织反应,包括巨噬细胞和多核巨细胞(MNGC)。因此,诸如尺寸、特殊表面形态、孔隙率和连通性等影响因素一直是广泛研究的主题。在本出版物中,研究了基于羟基磷灰石(HA)形成磷酸钙水泥技术制造的三种相同的骨替代颗粒的颗粒大小的影响,其中包括周围组织中的炎症反应,特别是MNGC的诱导(作为材料降解的一个参数)。对于体内研究,将三种不同尺寸范围(小=0.355 - 0.5毫米;中=0.5 - 1毫米;大=1 - 2毫米)的颗粒植入45只雄性BALB/c小鼠的皮下结缔组织中。在第10、30和60天,取出材料并进行组织学处理。最初对缺损区域进行组织病理学检查。此外,在免疫组织化学检测后,通过组织形态计量学对促炎和抗炎巨噬细胞进行定量。还使用组织形态计量学方法对MNGC的数量进行了定量。结果显示了颗粒大小依赖性的整合行为。在60天时,两个较大颗粒组中的周围肉芽组织已钝化,包括纤维化包封,而小颗粒组中仍存在肉芽组织,表明基于细胞的降解过程仍在进行。组织形态计量学分析表明,在60天时,小颗粒中促炎巨噬细胞的数量显著增加。同样,在该组的30天和60天时检测到MNGC显著增加。基于这些数据,可以得出结论,合成骨替代物的整合和/或降解行为可受颗粒大小影响。

https://cdn.ncbi.nlm.nih.gov/pmc/blobs/beda/8658545/0ee77dba2406/materials-14-07372-g001.jpg

文献AI研究员

20分钟写一篇综述,助力文献阅读效率提升50倍。

立即体验

用中文搜PubMed

大模型驱动的PubMed中文搜索引擎

马上搜索

文档翻译

学术文献翻译模型,支持多种主流文档格式。

立即体验