Chen Yong-Jie, Li Yi, Guo Xian, Huo Bo, Chen Yue, He Yi, Xiao Rui, Zhu Xue-Hai, Jiang Ding-Sheng, Wei Xiang
Division of Cardiothoracic and Vascular Surgery, Sino-Swiss Heart-Lung Transplantation Institute, Tongji Hospital, Tongji Medical College, Huazhong University of Science and Technology, Wuhan, China.
Department of Cardiovascular Surgery, Union Hospital, Fujian Medical University, Fuzhou, China.
Front Pharmacol. 2021 Dec 1;12:773235. doi: 10.3389/fphar.2021.773235. eCollection 2021.
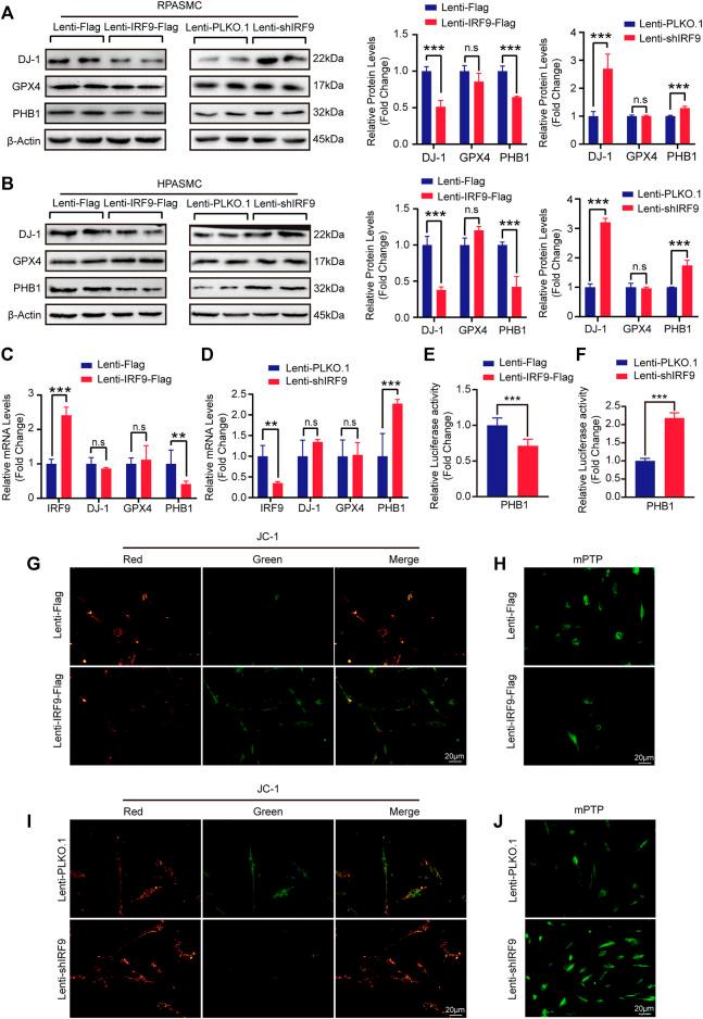
Abnormal proliferation of pulmonary artery smooth muscle cells (PASMCs) is a critical pathological feature in the pathogenesis of pulmonary arterial hypertension (PAH), but the regulatory mechanisms remain largely unknown. Herein, we demonstrated that interferon regulatory factor 9 (IRF9) accelerated PASMCs proliferation by regulating Prohibitin 1 (PHB1) expression and the AKT-GSK3β signaling pathway. Compared with control groups, the rats treated with chronic hypoxia (CH), monocrotaline (MCT) or sugen5416 combined with chronic hypoxia (SuHx), and mice challenged with CH had significantly thickened pulmonary arterioles and hyperproliferative PASMCs. More importantly, the protein level of IRF9 was found to be elevated in the thickened medial wall of the pulmonary arterioles in all of these PAH models. Notably, overexpression of IRF9 significantly promoted the proliferation of rat and human PASMCs, as evidenced by increased cell counts, EdU-positive cells and upregulated biomarkers of cell proliferation. In contrast, knockdown of IRF9 suppressed the proliferation of rat and human PASMCs. Mechanistically, IRF9 directly restrained PHB1 expression and interacted with AKT to inhibit the phosphorylation of AKT at thr308 site, which finally led to mitochondrial dysfunction and PASMC proliferation. Unsurprisingly, MK2206, a specific inhibitor of AKT, partially reversed the PASMC proliferation inhibited by IRF9 knockdown. Thus, our results suggested that elevation of IRF9 facilitates PASMC proliferation by regulating PHB1 expression and AKT signaling pathway to affect mitochondrial function during the development of PAH, which indicated that targeting IRF9 may serve as a novel strategy to delay the pathological progression of PAH.
肺动脉平滑肌细胞(PASMCs)的异常增殖是肺动脉高压(PAH)发病机制中的关键病理特征,但其调控机制仍不清楚。在此,我们证明干扰素调节因子9(IRF9)通过调节抗增殖蛋白1(PHB1)的表达和AKT-糖原合成酶激酶3β(GSK3β)信号通路来加速PASMCs的增殖。与对照组相比,慢性缺氧(CH)、野百合碱(MCT)或苏尼替尼5416联合慢性缺氧(SuHx)处理的大鼠,以及CH攻击的小鼠,其肺小动脉明显增厚,PASMCs过度增殖。更重要的是,在所有这些PAH模型中,肺小动脉增厚的中膜壁中IRF9的蛋白水平升高。值得注意的是,IRF9的过表达显著促进了大鼠和人PASMCs的增殖,细胞计数增加、EdU阳性细胞增多以及细胞增殖生物标志物上调均证明了这一点。相反,敲低IRF9可抑制大鼠和人PASMCs的增殖。机制上,IRF9直接抑制PHB1的表达,并与AKT相互作用,抑制AKT在苏氨酸308位点的磷酸化,最终导致线粒体功能障碍和PASMCs增殖。不出所料,AKT的特异性抑制剂MK2206部分逆转了敲低IRF9所抑制的PASMCs增殖。因此,我们的结果表明,在PAH发展过程中,IRF9的升高通过调节PHB1表达和AKT信号通路来影响线粒体功能,从而促进PASMCs增殖,这表明靶向IRF9可能是延缓PAH病理进展的一种新策略。